矫正牙齿过程中,牙龈增生是较为常见的并发症之一,主要表现为牙龈组织异常肿大、充血,甚至覆盖部分牙面,不仅影响美观,还可能增加牙周疾病风险,了解其成因、临床表现及处理方法,对正畸患者和口腔医生都至关重要,本文将详细解析矫正牙齿牙龈增生的相关问题,并结合“图片”特征帮助读者直观识别。
矫正牙齿牙龈增生的成因
牙龈增生的发生是多因素共同作用的结果,正畸治疗中的特殊环境和口腔状态是其主要诱因:

- 局部刺激因素:正畸装置(如托槽、弓丝、带环、结扎丝)的边缘、凸起或末端可能直接压迫或摩擦牙龈,尤其是装置未打磨光滑时,易导致局部机械性损伤和炎症反应,托槽周围易堆积食物残渣和菌斑,若清洁不到位,会形成牙菌斑生物膜,刺激牙龈增生。
- 口腔卫生维护困难:佩戴矫治器后,牙齿表面和邻间隙的清洁难度增加,普通牙刷难以彻底清除菌斑,长期易引发牙龈炎,进而发展为增生性龈炎。
- 激素水平变化:青少年、孕期或服用某些药物(如免疫抑制剂、抗癫痫药)的患者,牙龈对局部刺激的敏感性增加,更容易发生增生。
- 牙齿移动的生物力学影响:正畸治疗中牙齿的移动(尤其是压低、倾斜或扭转)可能牵拉牙周组织,导致牙龈乳头和牙龈缘的适应性改变,部分患者可能出现代偿性增生。
- 牙周基础疾病未控制:若正畸前存在慢性牙周炎、牙龈炎未彻底治疗,正畸过程中炎症可能加重,表现为牙龈增生。
牙龈增生的临床表现与图片特征
牙龈增生的严重程度和形态因人而异,通过典型图片可直观识别其类型和特点:
轻度增生
- 临床表现:牙龈边缘轻微圆钝,呈淡红色或鲜红色,探诊易出血,但未超过牙面1/3,无明显疼痛,对口腔清洁和美观影响较小。
- 图片特征:牙龈缘略增厚,与牙齿之间可见清晰的龈沟,表面光滑,无颗粒感,刷牙或使用牙线时少量出血(图片中可见牙龈缘轻微泛红,局部有点状出血痕迹)。
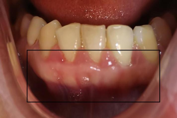
中度增生
- 临床表现:牙龈乳头和牙龈缘明显肿大,呈鲜红色或暗红色,质地松软,易出血,增生组织覆盖牙面1/3-1/2,可能形成“假性牙周袋”,食物嵌塞风险增加,部分患者有胀痛感。
- 图片特征:牙龈乳头呈球形膨出,与邻牙之间形成“V”形或“U”形凹陷,表面光滑或呈分叶状,探诊深度增加(图片中可见牙龈组织明显突出,覆盖部分牙面,牙龈乳头肿大如“小球”,颜色鲜红)。
重度增生
- 临床表现:牙龈显著增生,覆盖牙面超过1/2甚至全部牙冠,质地坚韧或纤维化,呈暗红色或苍白色,易出血,伴发明显口臭、疼痛,严重影响咬合和口腔清洁,可能阻碍牙齿移动,延长正畸时间。
- 图片特征:牙龈组织弥漫性肿大,表面呈结节状或分叶状,与牙齿粘连紧密,部分区域可见溃疡或坏死(图片中可见牙龈增生明显,牙齿几乎被“包裹”,牙龈边缘肥厚,质地粗糙,颜色暗红)。
不同类型牙龈增生的图片对比(简化表格)
| 类型 | 主要图片特征 | 严重程度 |
|---|---|---|
| 轻度 | 牙龈缘轻微圆钝,淡红色,点状出血,未超过牙面1/3 | 轻微,可逆 |
| 中度 | 牙龈乳头球形膨出,鲜红色,覆盖牙面1/3-1/2,形成假性牙周袋 | 中度,需干预 |
| 重度 | 牙龈弥漫性肿大,覆盖牙面超1/2,暗红色或苍白色,表面结节状 | 重度,需手术 |
牙龈增生的处理方法
根据增生程度和病因,需采取个体化治疗方案,原则是“去除刺激因素+控制炎症+必要时手术修整”。
非手术治疗(轻度及中度增生首选)
- 加强口腔卫生指导:教会患者使用“巴氏刷牙法”(牙刷与牙面呈45°角,水平震颤拂刷),配合正畸专用牙刷(如U型刷、凹槽牙刷)、牙线、冲牙器等,彻底清除托槽周围菌斑,建议每日使用含氯己定的漱口水(如0.12%氯己定含漱液),但连续使用不超过2周,避免口腔菌群失调。
- 局部药物治疗:若牙龈充血明显,可在医生指导下局部涂抹碘甘油、盐酸米诺环素凝胶,或使用复方氯己定含漱液,减轻炎症和出血。
- 调整正畸装置:检查托槽、弓丝等是否有尖锐边缘,对刺激牙龈的装置进行打磨或更换(如使用更光滑的树脂托槽、调整弓丝末端长度),减少机械刺激。
手术治疗(中重度增生或非手术治疗无效时)
- 牙龈切除术:适用于局限性增生,在局部麻醉下切除多余牙龈组织,恢复牙龈正常形态,术后需严格口腔卫生维护,避免复发。
- 牙龈成形术:不仅切除增生组织,还对牙龈缘进行修整,使其与牙齿形态协调,兼顾功能与美观,尤其适用于前牙区增生患者。
- 牙周联合治疗:若合并牙周炎,需先进行龈下刮治、根面平整等基础治疗,控制牙周炎症后再处理增生牙龈。
暂停或调整正畸治疗
对于重度增生且经保守治疗无效者,医生可能建议暂停正畸治疗,待牙龈炎症控制、增生消退后再继续,避免加重牙周损伤。
牙龈增生的预防措施
预防是关键,正畸患者需从治疗前、治疗中、治疗后三个阶段加强管理:

- 正畸前全面评估:治疗前进行牙周检查,治疗 existing 牙周炎(如洁治、刮治),确保口腔健康;激素水平异常或服用特定药物的患者,需与医生沟通,调整治疗方案。
- 治疗中强化口腔卫生:每3-6个月复查牙周情况,及时清除菌斑和牙结石;使用正畸专用清洁工具,如牙缝刷、正畸水牙线,保持托槽周围清洁。
- 调整饮食和习惯:避免过硬、黏性食物,减少托槽脱落和装置对牙龈的刺激;戒烟(吸烟会降低牙周组织抵抗力,加重增生)。
- 定期复查:正畸医生需定期检查牙龈状态,发现增生迹象早期干预,避免进展为重度。
相关问答FAQs
Q1:矫正牙齿牙龈增生一定会复发吗?
A1:不一定,复发主要与是否去除病因有关,若增生是由局部刺激(如菌斑堆积、装置摩擦)导致,通过加强口腔卫生、调整正畸装置,增生通常可控制且不易复发;若与激素水平、药物或全身性疾病相关,需同时治疗原发病,否则可能反复发作,术后口腔卫生维护不佳是复发的高危因素,需患者长期坚持规范清洁。
Q2:正畸期间牙龈增生能自行恢复吗?
A2:轻度增生且去除刺激因素后(如加强清洁、调整装置),部分患者可自行恢复;但中重度增生通常无法自行消退,需通过药物治疗或手术干预,因菌斑导致的牙龈炎伴增生,仅靠刷牙可能无法彻底清除菌斑,需配合专业洁治和局部药物治疗,否则增生会持续加重,甚至影响正畸进程,发现牙龈增生后应及时就医,避免拖延。

