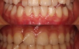
牙齿矫正期间牙龈增生是一个比较常见的问题,主要是指牙龈组织在矫正过程中出现异常、过度的肿胀、增生或肥大,这通常不是矫正本身的目标,而是一种需要关注的并发症或副作用。

🦷 牙龈增生的主要原因
-
口腔卫生维护困难:
- 主要原因: 这是导致牙龈增生最常见的原因,矫正器(托槽、带环、弓丝、结扎丝等)在牙齿表面和牙龈附近形成了许多“死角”和“障碍物”,使得牙刷、牙线等清洁工具难以有效清洁到位。
- 后果: 食物残渣、软垢和牙菌斑容易在这些区域堆积,引发牙龈炎症(牙龈炎),长期的炎症刺激会导致牙龈组织红肿、松软、易出血,并可能刺激牙龈组织过度增生。
-
矫正器部件的机械刺激:
矫正器本身(特别是托槽边缘、带环边缘、弓丝末端)如果打磨不光滑、位置不当(过于靠近牙龈)或者有尖锐点,会直接摩擦或压迫牙龈,导致局部创伤性炎症,也可能诱发或加重牙龈增生。
-
牙齿移动过程中的生物刺激:
矫正过程中牙齿需要移动,移动的牙齿和其周围的牙龈组织需要适应新的位置和受力状态,有时,牙齿移动的方向、速度或力量可能对牙龈组织产生过度的生物刺激,导致牙龈反应性增生。
-
患者自身因素:
- 牙龈炎/牙周炎基础: 如果患者在矫正前就存在牙龈炎、牙周炎,或者牙结石、菌斑堆积较多,在矫正期间由于清洁难度增加,这些基础问题会更容易复发和加重,从而显著增加牙龈增生的风险。
- 激素水平变化: 青春期、怀孕期间等激素水平波动较大的时期,牙龈组织对局部刺激(如菌斑)的反应性会增强,更容易发生炎症和增生。
- 药物影响: 某些药物(如抗癫痫药苯妥英钠、免疫抑制剂环孢素、钙通道阻滞剂如硝苯地平等)可能引起药物性牙龈增生,虽然矫正患者使用这些药物的情况相对较少,但需要考虑。
- 个体易感性: 有些人天生牙龈组织就比较厚实或对炎症刺激反应强烈。
🚨 牙龈增生的表现
- 牙龈边缘红肿、发亮、松软。
- 牙龈乳头(牙齿之间的牙龈尖)呈球状或瘤样增生。
- 牙龈容易出血,刷牙或吃东西时尤其明显。
- 可能伴有口臭。
- 严重时,增生的牙龈可能覆盖部分牙面,影响美观和清洁,甚至影响矫正器的调整和牙齿的移动。
🛠 牙龈增生的应对和处理
-
加强口腔卫生维护(最重要!):
- 正确刷牙: 使用小头软毛牙刷(如正畸专用牙刷),采用巴氏刷牙法,每次刷牙时间不少于2分钟,确保每个牙面、托槽周围、牙龈边缘都清洁到位,电动牙刷也是很好的选择。
- 使用牙线/牙缝刷: 每天至少使用一次牙线或牙缝刷,仔细清洁牙齿邻面和托槽之间的区域,这是清除邻面菌斑的关键步骤,正畸专用牙线穿线器或水牙线(冲牙器)可以帮助更有效地清洁。
- 使用漱口水: 在医生指导下,可以使用含氯己定(洗必泰)的漱口水(短期使用,如1-2周,长期使用可能导致牙齿染色)或含抗菌成分(如西吡氯铵)的漱口水作为辅助清洁手段,但不能替代刷牙和牙线。
- 定期专业洁治: 即使在矫正期间,也必须每3-6个月进行一次专业的口腔洁治(洗牙),彻底清除牙菌斑、牙结石,控制炎症。
-
与正畸医生沟通:
- 及时反馈: 一旦发现牙龈红肿、出血或增生迹象,立即告知你的正畸医生。
- 调整矫正器: 医生会检查矫正器是否有尖锐点、边缘是否光滑、位置是否合适,必要时会对托槽、带环、弓丝末端进行打磨抛光或调整位置,减少对牙龈的机械刺激。
- 调整矫正方案: 在炎症控制前,医生可能会暂时减缓牙齿移动速度或调整施力方式,以减少对牙龈的生物刺激。
- 评估牙齿移动: 检查牙齿移动的方向和速度是否合适,必要时进行调整。
-
牙周科治疗(必要时):
- 如果牙龈增生严重,或者患者本身存在牙周炎基础,正畸医生可能会建议你同时就诊于牙周科医生。
- 龈上洁治和龈下刮治: 彻底清除牙结石和深层的菌斑。
- 根面平整: 使牙根表面光滑,利于牙龈附着。
- 药物治疗: 局部使用抗菌药物(如米诺环素凝胶)辅助控制炎症。
- 牙龈切除术/成形术: 对于药物和洁治无法控制的、明显影响美观或清洁的增生牙龈,可能需要在炎症控制稳定后,由牙周科医生进行手术切除或修整多余的牙龈组织。
-
暂停或调整矫正(极少数情况):
- 在极少数情况下,如果牙龈增生非常严重且难以控制,影响到牙周健康或矫正进程,医生可能会建议暂时停止矫正活动,待牙龈炎症和增生得到有效控制后再继续。
📌 关键点总结
- 预防胜于治疗: 矫正期间严格、细致的口腔卫生维护是预防牙龈增生的基石。
- 及时沟通: 发现问题不要拖延,立即联系你的正畸医生。
- 专业处理: 医生会根据增生的原因和严重程度,采取相应的处理措施(调整器械、加强清洁、牙周治疗等)。
- 定期复查: 遵医嘱定期复诊,让医生监控牙龈状况和矫正进展。
- 不要自行处理: 不要用尖锐工具自己刮牙龈,以免损伤或加重问题。
牙龈增生虽然常见,但通过积极的口腔卫生维护和专业的正畸/牙周治疗,通常是可以有效控制甚至消除的,与你的正畸医生保持密切沟通和合作至关重要!💪🏻
