正畸治疗(戴牙套)确实可能导致牙龈增生,这是正畸治疗中一个比较常见的并发症,下面详细解释一下原因、表现、处理和预防:
🦷 一、为什么正畸会导致牙龈增生?
正畸治疗中牙龈增生的发生是多因素共同作用的结果,主要原因包括:

-
口腔卫生维护困难:
- 核心原因: 这是最主要的原因,固定矫治器(托槽、弓丝、结扎丝等)的存在,使得牙齿表面、托槽周围、弓丝下方等区域难以彻底清洁。
- 后果: 食残渣、牙菌斑容易堆积,形成牙结石,持续的菌斑和牙结石刺激是引发牙龈炎症(牙龈炎)和增生的直接诱因。
-
正畸装置的局部刺激:
- 物理刺激: 矫治器本身(尤其是边缘不光滑的托槽、弓丝末端、结扎丝)可能直接压迫或摩擦牙龈组织,引发局部炎症反应和增生。
- 清洁死角: 矫治器创造了更多难以清洁的“死角”,这些区域更容易藏匿菌斑。
-
药物因素:
某些药物(如抗癫痫药苯妥英钠、钙通道阻滞剂硝苯地平、免疫抑制剂环孢素等)本身就有引起牙龈增生的副作用,如果患者正在服用这类药物,正畸治疗会大大增加牙龈增生的风险和严重程度。
(图片来源网络,侵删) -
激素水平变化:
青春期、怀孕期间体内激素水平(如雌激素、孕激素)的变化,会使牙龈对局部刺激(如菌斑)的反应更加敏感和剧烈,更容易发生炎症和增生。
-
个体易感性:
- 有些患者天生牙龈组织较厚或对炎症反应更强烈(牙龈纤维瘤病史等),在正畸刺激下更容易增生。
- 正畸前存在未控制的牙周炎或牙龈炎,正畸治疗会加重炎症,导致增生。
-
牙齿移动方式:
(图片来源网络,侵删)过快、过大的牙齿移动,尤其是在牙齿倾斜移动或压入移动时,可能对牙周组织(包括牙龈)产生过度的生物力学刺激,引发适应性增生。
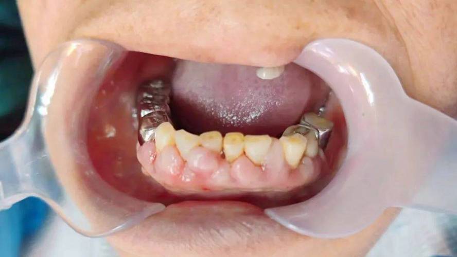
🔍 二、牙龈增生的表现
- 牙龈肿胀、肥大: 牙龈组织体积明显增大,可能覆盖部分牙面(尤其是牙齿颈部)。
- 质地改变: 早期可能松软、易出血;慢性或纤维化增生时质地变韧、变硬。
- 颜色改变: 呈鲜红色或暗红色,牙龈乳头(牙缝处的牙龈)呈球状增生。
- 易出血: 刷牙、进食甚至触碰时容易出血。
- 影响美观: 增生的牙龈可能影响笑容美观。
- 影响口腔功能: 严重时可能影响发音或清洁。
- 可能影响正畸效果: 增生的牙龈可能包裹托槽,影响弓丝入槽,或阻碍牙齿移动到理想位置。
🩺 三、如何处理正畸导致的牙龈增生?
处理原则是多学科合作(正畸医生 + 牙周医生),并强调患者口腔卫生的配合。
-
基础治疗(核心):
- 加强口腔卫生宣教和监督: 这是最根本、最重要的措施,正畸医生和牙周医生必须反复、耐心地指导患者:
- 使用正畸专用牙刷(小头、刷毛V形或波浪形)。
- 使用牙缝刷清洁托槽邻面和牙龈缘下方。
- 使用冲牙器(水牙线) 冲洗牙缝和托槽周围。
- 使用含氟牙膏和牙线(注意在弓丝下方使用牙线穿引器)。
- 坚持每天至少刷牙两次(每次不少于3分钟),饭后漱口。
- 专业的牙周维护:
- 定期洁治(洗牙): 每3-6个月进行一次,彻底清除牙菌斑和牙结石,特别是托槽周围区域,可能需要更频繁的复诊。
- 龈下刮治和根面平整: 如果存在牙周袋(牙龈与牙齿分离形成的缝隙),需要进行更深层次的清洁。
- 加强口腔卫生宣教和监督: 这是最根本、最重要的措施,正畸医生和牙周医生必须反复、耐心地指导患者:
-
药物治疗(辅助):
- 抗菌漱口水: 如0.12%氯己定漱口水,短期使用(通常不超过2周)可以辅助控制炎症,但长期使用可能导致牙齿染色和口腔菌群失调,需在医生指导下使用。
- 局部抗炎药物: 如含抗菌成分的牙龈凝胶或药膏。
-
正畸装置调整:
- 正畸医生会检查矫治器,打磨尖锐或压迫牙龈的边缘,调整弓丝末端,更换更光滑的结扎丝(如自锁托槽或弹性结扎圈),减少对牙龈的物理刺激。
- 在可能的情况下,调整牙齿移动的力度和速度。
-
手术治疗(针对严重增生):
- 牙龈切除术: 对于局限性的、纤维化的增生牙龈,手术切除增生的组织,恢复牙龈外形和便于清洁。
- 牙龈成形术: 修整牙龈形态,使其更美观、更易于自洁。
- 翻瓣术: 对于伴有深牙周袋的严重增生,可能需要翻开牙龈进行彻底的清创和根面平整。
- 激光治疗: 激光可用于切除增生牙龈、辅助清洁、减轻炎症和出血,具有创伤小、恢复快的优点。
-
药物相关增生的处理:
- 如果药物是主要诱因,必须在医生评估下权衡利弊,通常不能擅自停药,需要:
- 严格控制口腔卫生。
- 更频繁的牙周维护。
- 必要时牙周医生进行专业的清创和药物干预。
- 在病情允许且得到相关专科医生(如神经内科、心内科)同意的情况下,考虑更换药物种类(但这通常很困难)。
- 如果药物是主要诱因,必须在医生评估下权衡利弊,通常不能擅自停药,需要:
🛡 四、如何预防正畸导致的牙龈增生?
预防胜于治疗!在正畸治疗开始前和过程中,以下措施至关重要:
-
正畸前的全面牙周评估:
- 必须进行牙周检查! 确保没有活动性的牙周炎或牙龈炎,如有,必须在正畸开始前彻底治疗并控制牙周炎症。
- 拍摄X光片评估牙槽骨状况。
-
加强口腔卫生宣教:
- 在治疗开始前就详细告知患者正畸期间口腔卫生维护的重要性、难度和具体方法。
- 提供必要的清洁工具(正畸牙刷、牙缝刷、冲牙器等)。
-
治疗中的密切监控:
- 正畸医生每次复诊时都要仔细检查牙龈状况,询问患者口腔卫生感受。
- 牙周医生定期(如每3-6个月)进行牙周评估和维护。
- 早期发现牙龈红肿、出血迹象,及时干预,防止发展成增生。
-
良好的医患沟通与配合:
- 患者必须理解并严格执行口腔卫生维护计划。
- 出现牙龈不适、出血等情况及时告知医生。
-
个体化治疗计划:
对于高风险患者(如服药者、激素变化期、牙周病史、牙龈肥厚体质),制定更保守的矫治计划,更频繁的牙周维护,甚至考虑使用对牙周组织刺激更小的矫治器(如隐形矫治器,但也要注意清洁)。
正畸治疗导致的牙龈增生是一个需要重视的问题,其核心在于口腔卫生维护的挑战,虽然发生率不低,但通过正畸医生、牙周医生和患者三方的紧密合作,特别是患者严格的口腔卫生维护和专业的牙周支持治疗,绝大多数增生是可以得到有效控制、治疗甚至预防的。
关键点:
- 口腔卫生是王道! 没有良好的卫生,其他治疗都是治标不治本。
- 早发现、早处理! 不要等到增生严重了才就医。
- 多学科合作! 正畸医生和牙周医生需要共同管理。
- 患者配合是关键! 患者的依从性决定了治疗效果。
如果你正在正畸过程中或计划开始正畸,并且对牙龈健康有顾虑,务必与你的正畸医生和牙周医生充分沟通,制定个性化的预防和治疗方案。🦷✨
