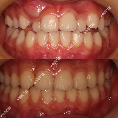
正畸后出现牙龈暴露增多的情况,在临床上并不少见,通常表现为微笑或自然状态下牙龈组织过度显露,影响美观和口腔健康,这一现象可能与正畸治疗过程中的牙齿移动、牙龈组织变化、个体解剖结构差异等多重因素相关,需要结合具体原因分析并采取针对性处理措施。
从发生机制来看,正畸后露牙龈的原因可归纳为几类,其一,牙齿移动导致的牙龈位置改变,正畸治疗中,牙齿通过牙槽骨改建实现位置调整,若前牙压入量不足或牙根移动方向不当,可能使牙齿萌出过多(实际是牙龈相对退缩),或牙槽骨改建滞后于牙齿移动,导致牙龈附着高度降低,上颌前牙在关闭拔牙间隙时,若过度唇向移动或垂直向控制不佳,可能引发牙龈退缩,使牙根部分暴露;其二,牙龈组织本身的变化,正畸过程中,牙菌斑堆积、口腔卫生维护不当可能引发牙龈炎,长期炎症会导致牙龈纤维破坏和退缩;正畸加力若超出牙龈组织的耐受范围,也可能造成牙龈机械性损伤,表现为牙龈变薄、乳头萎缩;其三,个体解剖因素,部分患者本身存在牙龈生物型异常(如薄龈生物型)、牙槽骨厚度不足或上唇提肌功能过强(露龈笑的常见原因),正畸前未充分评估或治疗中未针对性调整,可能加重露牙龈表现;其四,不良习惯影响,部分患者存在张口呼吸、刷牙力度过大(如使用硬毛牙刷横向刷牙)等习惯,长期刺激牙龈,导致牙龈退缩或增生(增生性牙龈炎也可能表现为牙龈“假性”隆起,露龈更明显)。

根据露牙龈的表现特点和发生部位,可分为不同类型,具体如下表所示:
| 类型 | 主要表现 | 常见原因 | 正畸关联因素 |
|---|---|---|---|
| 上颌前牙区露龈笑 | 微笑时上唇上提过度,上前牙牙龈暴露超过1/3,甚至达牙冠1/2以上 | 上唇提肌(如上唇方肌)功能亢进、上颌骨垂直向发育过度(长面型) | 正畸中前牙压入不足、托槽位置过高导致牙齿代偿性萌出、垂直向控制未达预期 |
| 下颌前牙区牙龈暴露 | 下唇放松或微笑时,下前牙牙龈暴露,常伴随下前牙唇倾或牙槽骨凹陷 | 下颌前牙唇倾、下唇松弛、下颌牙槽骨垂直向发育不足(短面型) | 下颌前牙内收过快、牙根移动导致牙龈退缩、下颌平面角未矫正 |
| 全牙列牙龈退缩 | 多个牙位牙龈同时退缩,牙根部分暴露,牙龈乳头变平 | 薄龈生物型、牙周炎病史、刷牙创伤 | 正畸加力过大、牙齿移动速度过快、牙槽骨改建过程中吸收不均 |
| 局限性牙龈增生 | 个别牙位牙龈异常隆起,覆盖部分牙冠,看似“露龈”,实为牙龈组织增生 | 局部刺激(如托槽边缘刺激)、药物因素(如服用苯妥英钠) | 正畸装置(如带环、弓丝)压迫牙龈、口腔卫生维护不良导致局部菌斑堆积 |
露牙龈对患者的影响不仅限于美观层面,还可能涉及口腔功能和健康,美观上,过度暴露牙龈会打破“牙冠-牙龈-唇部”的协调比例,尤其是上颌前牙区露龈笑,可能影响面部微笑曲线,导致患者产生自卑心理,不敢大笑或露齿;功能上,牙龈退缩后,牙根暴露,牙齿对冷热酸甜刺激敏感,咀嚼舒适度下降,严重时可能因牙根吸收影响牙齿寿命;健康层面,牙龈退缩后,牙根表面牙骨质较薄,易受细菌侵蚀,引发根面龋,同时牙龈沟加深,菌斑堆积风险增加,可能诱发或加重牙周炎。
针对正畸后露牙龈的问题,需根据具体原因采取分级处理策略,预防是关键,正畸前应进行全面评估:通过牙周检查判断牙龈生物型(使用探针测量牙龈厚度,薄龈生物型需谨慎加力)、拍摄曲面断层片和根尖片观察牙槽骨厚度、检查唇肌功能(如让患者自然微笑,观察上唇上提幅度);正畸中需精细化控制牙齿移动:前牙压入时应使用轻力(如0.5-1N的持续力),配合摇椅形弓丝或种植体支抗压低前牙,避免牙齿快速移动导致牙槽骨吸收;托槽粘贴位置准确,通常上前牙托槽高度距离牙龈缘约4-5mm,避免过高刺激牙龈;患者需加强口腔卫生,使用软毛牙刷、巴氏刷牙法,配合牙线和水线清洁牙面,定期进行牙周洁治(每3-6个月一次)。
若正畸后已出现露牙龈,需根据严重程度选择治疗方案:轻度牙龈退缩(退缩量<2mm),可通过牙龈成形术调整牙龈形态,去除多余牙龈组织,恢复牙龈缘位置;中度退缩(2mm≤退缩量<4mm),可结合游离龈瓣移植,增加牙龈厚度和附着高度;对于露龈笑患者,若为唇肌功能亢进,可进行唇肌功能训练(如每天练习上唇向下牵拉,每次5分钟,每日3次),或配合正畸-联合治疗(如在前牙区使用微种植体压低前牙,同时进行唇肌修整术);严重露龈笑(上牙龈暴露>4mm)且骨骼因素明显者,可能需要正颌手术(如上颌前部节段性骨切开术,降低上颌骨垂直高度)配合正畸治疗;因牙龈增生导致的假性露龈,需先进行牙周基础治疗(洁治、刮治),切除增生牙龈组织,并纠正不良习惯(如更换软毛牙刷、调整刷牙方式)。

值得注意的是,正畸后露牙龈的改善是一个长期过程,治疗后需保持良好的口腔卫生习惯,避免再次刺激牙龈;同时定期复查(每6个月一次),监测牙龈状况和牙周健康,防止复发。
相关问答FAQs
Q:正畸后露牙龈一定会持续存在吗?
A:不一定,正畸后露牙龈是否持续存在,取决于原因、严重程度及是否及时干预,轻度牙龈退缩(如因牙齿轻微压入不足),通过正畸后期精细调整(如继续压低前牙)可能改善;若为牙龈生物型较薄或牙槽骨吸收导致的退缩,需通过牙周手术修复,多数患者经治疗后牙龈暴露程度可显著减轻;但若骨骼因素明显(如上颌骨垂直过度发育),则需联合正颌手术才能从根本上解决,关键在于早发现、早干预,正畸过程中定期与医生沟通牙龈变化,避免问题加重。
Q:正畸中如何提前发现露牙龈风险?
A:正畸中可通过以下方式提前发现风险:一是定期临床检查(每1-2个月一次),医生会测量牙龈缘位置、牙龈厚度,观察牙龈有无红肿、退缩或增生;二是拍摄X光片(如根尖片、曲面断层片),观察牙槽骨密度和高度变化,若牙槽骨出现“角吸收”或骨密度降低,提示牙龈退缩风险;三是患者自我观察,若发现刷牙时牙龈出血、牙齿敏感,或微笑时牙龈比之前暴露更多,需及时告知医生,以便调整治疗方案(如减小加力力度、加强口腔卫生指导)。

