牙齿矫正期间牙龈增生是正畸治疗中较为常见的并发症之一,主要表现为牙龈组织异常肿胀、肥大,严重时可能覆盖部分牙面,伴随出血、疼痛或口臭等问题,不仅影响美观,还可能干扰矫正进程,本文将从原因、临床表现、处理方法及预防措施等方面详细解析这一问题,帮助患者更好地应对矫正期间的牙龈困扰。
牙齿矫正期间牙龈增生的原因分析
牙龈增生的发生并非单一因素导致,而是矫正治疗中多种因素共同作用的结果,具体可归纳为以下几类:

局部刺激因素(主要诱因)
- 矫正器机械刺激:固定矫正器中的托槽、弓丝、结扎丝等附件会占据牙齿表面部分区域,形成清洁死角,食物残渣和菌斑易在此堆积,长期刺激牙龈组织,引发慢性炎症,导致胶原纤维增生和血管扩张,进而出现牙龈肥大,矫正器边缘若打磨不光滑,或弓丝末端过长刺激牙龈,也会直接损伤黏膜,诱发局部增生。
- 口腔卫生维护困难:矫正期间,牙齿上附着的矫正器使刷牙难度显著增加,普通牙刷难以彻底清洁牙面和牙龈边缘,若患者清洁不到位,菌斑大量堆积,会形成牙结石,进一步加重牙龈炎症,表现为牙龈红肿、探诊出血,长期炎症刺激下可导致纤维组织增生,形成“增生性牙龈炎”。
全身及个体因素(潜在风险)
- 激素水平变化:青少年、孕妇或女性月经期等人群,体内雌激素、孕激素水平升高,会增强牙龈对局部刺激的反应性,使牙龈更容易发生炎症和增生,研究显示,青春期患者矫正期间牙龈增生发生率是成年人的2-3倍。
- 原有牙周疾病:若矫正前患者已存在慢性牙龈炎、牙周炎,或未彻底治疗的牙周问题,矫正过程中菌斑堆积会加速病情进展,导致牙龈增生风险显著增加。
- 药物影响:部分患者若长期服用降压药(如硝苯地平)、免疫抑制剂(如环孢素)等药物,可能引起药物性牙龈增生,这类增生与矫正刺激叠加时,症状更为严重。
- 不良习惯:部分患者有咬唇、吐舌、用牙齿咬硬物等习惯,长期反复摩擦牙龈,会机械性损伤牙龈组织,引发增生性反应。
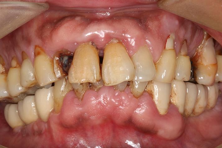
牙齿矫正期间牙龈增生的临床表现
根据增生程度和炎症状态,牙龈增生可分为轻、中、重三度,具体表现如下:
| 分度 | 临床表现 | 影响范围 |
|---|---|---|
| 轻度 | 牙龈边缘轻微肿胀,呈鲜红色,探诊易出血,无疼痛,增生组织未超过牙面1/3 | 主要局限于牙龈乳头和游离龈 |
| 中度 | 牙龈明显肿胀肥大,颜色暗红,探诊出血明显,可能伴有口臭,增生覆盖牙面1/3-2/3 | 可涉及附着龈,部分患者感觉牙齿“发胀” |
| 重度 | 牙龈显著增生,呈桑葚样或分叶状,覆盖部分牙冠甚至托槽,疼痛明显,易自发出血,可能影响矫正器调整和牙齿移动 | 广泛涉及牙龈及前庭沟,严重时导致矫正中断 |
长期未控制的牙龈增生还可能引发牙周袋加深、牙槽骨吸收等继发问题,甚至影响矫正效果(如牙齿移动缓慢、托槽脱落等)。
牙齿矫正期间牙龈增生的处理方法
针对牙龈增生,需根据严重程度和病因采取综合治疗,原则为“消除刺激+控制炎症+必要时手术干预”。
基础治疗(轻度增生及预防)
- 加强口腔卫生维护:
- 工具选择:使用正畸专用牙刷(如小头软毛牙刷)、牙缝刷、冲牙器,配合含氟牙膏,采用“巴氏刷牙法”清洁牙齿和牙龈边缘,每日至少2次,每次3分钟;
- 辅助清洁:每周使用1次含氯己定的漱口水(如复方氯己定含漱液),抑制菌斑生长,但需注意长期使用可能导致牙齿着色,需遵医嘱。
- 矫正器调整:医生需检查并打磨矫正器尖锐边缘,调整弓丝末端位置,避免直接刺激牙龈;对于托槽脱落等情况需及时粘接,防止食物嵌塞。
专业牙周治疗(中重度增生)
- 龈上洁治+龈下刮治:清除牙结石和菌斑,消除局部刺激因素,缓解牙龈炎症,矫正期间建议每3-6个月进行一次专业牙周维护。
- 药物治疗:若炎症明显,可在医生指导下局部使用抗生素凝胶(如米诺环素凝胶),或口服抗生素(如阿莫西林)控制感染。
- 手术干预:对于增生严重、基础治疗无效的患者,需进行“牙龈切除术”或“牙龈成形术”,切除部分增生组织,恢复牙龈正常形态,手术通常在炎症控制后进行,术后需加强口腔卫生维护,防止复发。
全身因素管理
若患者存在激素波动或药物影响,需与相关科室医生协作调整方案:如青春期患者加强口腔卫生监控,孕妇选择矫正时机时避开孕中期以后,服用药物性增生风险药物的患者可咨询医生是否更换替代药物。

牙齿矫正期间牙龈增生的预防措施
预防牙龈增生的关键在于“控制局部刺激”和“维护口腔健康”,具体措施包括:
- 矫正前全面牙周评估:开始矫正前需进行牙周检查,治疗 existing 牙龈炎、牙周炎,确保牙周健康(如牙龈无红肿、出血,牙周袋深度<3mm)后再开始矫正。
- 掌握正确清洁方法:矫正前接受口腔卫生指导,学习使用正畸清洁工具,养成饭后漱口、定期清洁矫正器的习惯。
- 定期复查与维护:矫正期间每3-6个月复查一次,既检查牙齿移动情况,也评估牙周健康,及时处理菌斑堆积和牙龈炎症。
- 避免不良习惯:纠正咬唇、吐舌等习惯,避免用牙齿咬硬物(如笔、指甲),减少牙龈机械损伤。
- 饮食调整:减少高糖、黏性食物摄入(如糖果、口香糖),防止食物黏附在矫正器上;多食用富含维生素C的食物(如橙子、猕猴桃),增强牙龈抵抗力。
相关问答FAQs
Q1:矫正期间牙龈增生会自己好吗?需要停止矫正吗?
A:轻度牙龈增生若能及时加强口腔卫生、去除局部刺激(如调整矫正器),部分患者可逐渐缓解;但中重度增生通常无法自愈,需专业治疗(如洁治、手术),一般情况下,无需停止矫正,医生会根据增生程度调整治疗方案,通过控制炎症和切除增生组织后,可继续矫正进程,但若增生严重导致矫正器无法调整或牙齿移动受阻,可能需暂停矫正,待牙周稳定后再恢复。
Q2:矫正结束后牙龈增生会消退吗?需要处理吗?
A:矫正结束后,若牙龈增生由矫正器刺激引起,且无牙周基础疾病,去除矫正器后加强口腔卫生,轻度增生可能逐渐消退;但中重度增生(尤其是已形成纤维化组织)通常不会自行消退,需进行牙周手术(如牙龈成形术)修整牙龈形态,若增生与原有牙周炎或药物因素相关,即使拆除矫正器,仍需继续进行牙周治疗,防止复发,矫正结束后建议进行牙周评估,根据情况决定是否需要进一步处理。

