“RCT” 这个缩写在不同领域有完全不同的含义,修复方法”也完全不同,你需要明确你指的是哪个领域的 RCT。
以下是几种最常见的可能性及其对应的修复方法:

RCT 指的是 根管治疗 (Root Canal Therapy) - 牙科领域
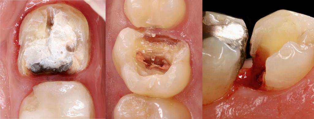
这是最常见的 RCT 含义之一,尤其是在牙科语境中,当根管治疗失败或需要重新处理时,就需要“修复”。
根管治疗失败或需要修复的常见原因
- 遗漏根管: 治疗时未发现所有需要处理的根管(如下颌磨牙的额外根管)。
- 遗漏感染物质: 根管系统内(如峡部、侧支根管)仍有细菌或感染组织未被彻底清除。
- 根管清理和成形不彻底: 根管内壁未清洁光滑,存在台阶、台阶、根尖孔敞开过大或过小。
- 根管消毒不彻底: 根管内仍有存活的细菌。
- 根管充填不完善: 存在空隙、气泡、超填(超出根尖孔)或欠填(未达根尖孔),导致微渗漏。
- 冠部渗漏: 牙冠修复体(牙冠)边缘不密合,导致口腔细菌再次进入根管系统。
- 根管内器械分离: 治疗过程中器械折断在根管内。
- 根尖周病变持续或复发: 根尖骨质破坏未愈合或出现新的破坏。
- 根折: 根管治疗后的牙齿发生根折。
根管治疗修复的方法(根管再治疗 - Retreatment)
-
拆除原有充填物:
- 目的: 重新进入根管系统,评估失败原因。
- 方法:
- 机械法: 使用专用器械(如Gates-Gl钻、超声工作尖)小心去除牙胶和根管封闭剂。
- 化学溶剂: 使用氯仿、柑橘油等溶剂软化牙胶(需谨慎使用,注意安全)。
- 热牙胶去除: 使用热设备软化牙胶。
- 超声法: 利用超声能量高效去除充填物,尤其适用于复杂情况。
- 关键点: 最大限度保留健康牙体组织,避免器械分离或根管壁穿孔。
-
根管探查和清理:
- 目的: 彻底清理根管系统,去除所有感染物质(生物膜、碎屑)。
- 方法:
- 显微镜下操作(强烈推荐):提供放大和照明,能发现遗漏根管、峡部、裂隙、器械分离等。
- 使用更细、更柔韧的镍钛锉进行更彻底的成形和清理。
- 加强化学冲洗:使用多种冲洗液(如次氯酸钠、EDTA、氯己定等)交替冲洗,溶解有机物、去除玷污层、杀灭细菌。
- 超声冲洗:增强冲洗液的冲洗效果和杀菌能力。
-
处理并发症:
(图片来源网络,侵删)- 遗漏根管: 在显微镜下仔细寻找并处理遗漏的根管。
- 器械分离: 显微镜下尝试使用专用器械取出,或尝试通过根尖手术取出,或作为桩核的一部分(如果位置不影响后续治疗)。
- 根管穿孔: 显微镜下尝试MTA等生物材料修补。
- 根尖孔敞开: 使用MTA等生物材料进行根尖屏障。
-
根管消毒:
- 目的: 杀灭残存的细菌。
- 方法:
- 药物消毒:使用氢氧化钙糊剂等药物进行根管内封药。
- 激光消毒:利用激光的杀菌能力辅助消毒。
-
根管充填:
- 目的: 严密封闭根管系统,防止再感染。
- 方法:
- 热牙胶垂直加压充填: 目前最主流、效果最好的方法,能获得更致密的充填。
- 单尖法/连续波充填: 也常用,效率较高。
- 生物陶瓷类封闭剂: 如MTA, iRoot SP等,具有良好的生物相容性和封闭性。
- 关键点: 达到工作长度,严密充填至根尖孔,避免超填或欠填。
-
冠部修复:
- 目的: 恢复牙齿外形和功能,防止冠部渗漏(再次感染的关键!)。
- 方法:
- 通常需要制作全冠(牙冠),如烤瓷冠、全瓷冠、金属冠等。
- 确保牙冠边缘与牙体组织密合,无微渗漏。
- 对于严重缺损的牙齿,可能需要在根管内打入桩核,作为牙冠的支撑。
其他可能的修复方案(根据情况选择)
- 根尖手术(Apicoectomy):
- 当根管再治疗困难或失败,且根尖周病变持续存在时,选择此方法。
- 手术翻开牙龈,切除根尖病变组织,切除根尖端约3mm,然后用MTA等生物材料倒充填封闭根尖孔。
- 拔牙:
如果牙齿破坏过大、无法进行有效的再治疗或手术、无保留价值,或患者拒绝复杂治疗,则需拔除。
(图片来源网络,侵删)
根管治疗修复): 核心是在显微镜辅助下,彻底清理消毒根管系统,严密充填,并确保完美的冠部封闭,再治疗通常比初次治疗更复杂,耗时更长,费用也更高。
RCT 指的是 随机对照试验 (Randomized Controlled Trial) - 研究方法学领域
这里的“修复”指的是解决RCT在设计和执行过程中出现的问题,以提高研究的科学性、可靠性和有效性。
RCT 常见的问题及修复方法
-
随机化失败:
- 问题: 分组序列可预测、未真正随机、随机隐藏不当导致选择偏倚。
- 修复:
- 严格使用计算机生成的随机序列。
- 确保正确的随机隐藏方法(如密封不透信封、中心电话/网络随机化)。
- 在分析阶段进行敏感性分析,评估可能的偏倚影响。
-
分配隐藏失败:
- 问题: 研究者或受试者在分组前可能知道分组情况,影响入组或干预实施。
- 修复: 同上,严格执行分配隐藏,在报告中详细描述随机化和分配隐藏方法。
-
盲法失败:
- 问题: 研究者、受试者或结局评估者知道分组情况,导致测量偏倚或实施偏倚。
- 修复:
- 尽可能实施双盲或三盲设计。
- 使用安慰剂、模拟干预措施。
- 对结局评估者进行盲法培训。
- 在分析阶段评估盲法是否成功(如询问猜测分组情况)。
- 使用客观的结局指标。
-
失访/退出率高:
- 问题: 样本量减少,可能引入偏倚(如失访者与完成者在关键特征上不同)。
- 修复:
- 预防为主: 设计阶段充分预估失访率,增加样本量;加强受试者依从性管理;提供充分激励。
- 分析时处理:
- 意向性分析: 无论后续如何,将所有随机分配的受试者纳入其原始分配组进行分析,这是评估干预效果的金标准。
- 完成病例分析: 仅分析完成研究的受试者(需谨慎解释,可能高估效果)。
- 多重插补: 对缺失数据进行合理的统计推断。
- 敏感性分析: 比较不同分析方法(如ITT vs. 完成病例)的结果差异,评估失访对结论的影响。
-
样本量不足:
- 问题: 统计功效不足,无法检测出实际存在的效应(假阴性),或效应估计不准确。
- 修复:
- 设计阶段: 基于预试验数据或文献进行严谨的样本量计算。
- 分析阶段: 明确报告功效或置信区间,谨慎解读阴性结果,报告效应值及其置信区间。
-
基线不平衡:
- 问题: 随机化后,组间在重要预后因素上出现不平衡(尽管随机化理论上可平衡)。
- 修复:
- 报告: 详细报告基线数据,展示组间比较。
- 分析: 在统计模型中调整重要的基线不平衡因素(如使用协方差分析Cox回归等)。
- 敏感性分析: 比较调整前后的结果。
-
依从性差:
- 问题: 受试者未按方案接受干预或接受其他干扰治疗。
- 修复:
- 设计阶段: 选择依从性好的干预措施;简化方案;加强教育和监督。
- 分析阶段:
- ITT分析: 评估分配策略的效果(包含依从性差的情况)。
- 遵循方案分析: 仅分析严格遵循方案的受试者(需谨慎解释)。
- 使用工具变量法或边际结构模型等高级统计方法(需专业统计支持)。
- 测量依从性: 使用客观方法(如药片计数、生物标志物)评估依从性。
-
结局定义或测量不准确/不一致:
- 问题: 结局指标模糊、测量方法不统一、评估者间差异大。
- 修复:
- 明确、标准化结局定义: 使用公认的标准(如RECIST, ADAS-Cog)。
- 标准化测量流程: 使用校准过的仪器、统一的操作手册。
- 培训评估者: 确保评估者间一致性良好(计算Kappa值等)。
- 使用盲法评估结局。
- 在方案和报告中详细描述结局测量方法。
-
数据错误或缺失:
- 问题: 记录错误、数据录入错误、关键数据缺失。
- 修复:
- 数据核查: 进行双录入、逻辑核查、范围核查。
- 制定缺失数据处理计划: 如前述的多重插补等。
- 报告缺失数据模式和处理方法。
-
分析计划不当或P-hacking:
- 问题: 分析方法选择不当、过度进行亚组分析或事后分析、选择性报告显著结果。
- 修复:
- 预先注册方案: 在研究开始前在公开平台注册研究方案,包括主要和次要结局、分析方法。
- 坚持预先指定的分析计划。
- 对探索性分析(如亚组分析)进行校正(如Bonferroni校正)并明确其假设生成性质。
- 完整报告所有分析结果,包括阴性结果。
- 使用敏感性分析评估分析结果的稳健性。
RCT修复): 修复RCT的核心在于提高透明度、减少偏倚、确保结果可靠和可重复,这需要在研究设计阶段就严谨规划,在执行阶段严格质量控制,在分析阶段使用恰当的方法,并在报告阶段完整、透明地呈现所有信息(遵循CONSORT声明等报告规范)。
RCT 指的是其他技术领域(如计算机、工程等)
这种情况相对少见,但“RCT”在特定技术领域可能有特定含义(例如某种文件格式、协议、组件名称等)。你需要提供更具体的上下文或领域信息,才能给出有针对性的修复方法。
可能的通用思路(如果指技术组件)
- 诊断问题: 确定RCT组件具体是什么,它的功能是什么,出现了什么故障现象(错误、崩溃、性能下降、不兼容等)。
- 查阅文档: 查找该组件的技术文档、手册、已知问题列表。
- 更新/打补丁: 是否有该组件的最新版本或修复补丁?
- 配置检查: 配置参数是否正确?
- 依赖项检查: 是否有依赖的库、服务或组件版本不兼容或缺失?
- 日志分析: 查看系统日志、错误日志,定位具体错误原因。
- 代码级修复: 如果是开源项目或你有源码权限,尝试定位并修复代码中的Bug(需要编程知识)。
- 替换组件: 如果无法修复,考虑替换为功能类似的其他组件或解决方案。
- 寻求社区/厂商支持: 在相关论坛、社区或向技术支持人员求助。
如何确定你指的是哪种 RCT?
请根据你的具体情况,提供更多线索:
- 你在什么情境下看到或听到“RCT”这个词? (牙医提到、研究报告、软件错误信息、技术文档?)
- 你遇到了什么具体问题? (牙疼、研究数据有疑问、软件报错、某个设备不工作?)
- 这个“RCT”指的是什么? (如果你知道的话,比如是牙齿的问题、一个研究项目、还是一个软件组件?)
一旦你明确了具体领域,我就能提供更精确、更有用的“修复方法”。
