牙齿拥挤是正畸治疗中最常见的问题之一,其治疗过程是一个系统性的、分阶段的过程,通常需要1-3年甚至更长时间,以下是牙齿拥挤正畸的详细过程:
📍 第一阶段:正畸前准备与诊断(1-2次复诊)
-
初诊咨询:
(图片来源网络,侵删)- 与正畸医生进行详细沟通,说明你的主诉(如牙齿不齐、咬合问题、美观需求等)。
- 医生进行初步的口腔检查,了解牙齿拥挤程度、咬合关系、面部比例等。
- 讨论治疗目标、预期效果、可能的方案(是否拔牙、矫治器类型等)、治疗时间、费用等。
-
全面检查与数据收集:
- 口腔检查: 详细检查牙齿、牙龈、牙周健康状况、关节情况等。
- 取模: 用专用材料取上下颌牙齿的模型(石膏模型或数字扫描),用于分析牙齿排列、咬合关系、制作保持器、以及治疗过程中的对比。
- 拍摄X光片:
- 全景片(曲面断层片): 观察全口牙齿、牙根、牙槽骨、颌骨情况,判断是否有埋伏牙、多生牙、牙根吸收等问题。
- 头颅侧位片: 进行头影测量分析,评估骨骼关系(如上下颌骨位置、大小、角度)、牙齿位置、软组织(唇部)形态,是制定矫治方案的关键依据。
- 根尖片(必要时): 单个牙齿的详细检查。
- 拍摄面部及口内照片: 记录治疗前的面部微笑、侧面轮廓以及牙齿排列情况,用于治疗前后对比和方案设计。
-
诊断与方案制定:
- 医生综合所有检查数据(模型、X光片、照片、检查结果),做出明确诊断(如安氏I类/II类/III类错颌,牙列拥挤度,骨性关系等)。
- 根据诊断结果、你的诉求、生长发育情况(如果是青少年)、口腔健康状况等,制定个性化的正畸治疗方案,方案会明确:
- 是否需要拔牙?拔哪几颗牙?(拔牙是解决严重拥挤的常用方法,为排齐牙齿创造空间)
- 是否需要其他辅助手段?如扩弓(扩大牙弓)、种植钉(支抗钉)等。
- 选择哪种矫治器?金属托槽、陶瓷托槽、自锁托槽、隐形牙套(如隐适美、时代天使)等。
- 预估治疗周期。
- 治疗过程中的关键步骤和注意事项。
- 与你详细沟通方案,解答疑问,达成共识后确定治疗方案并签署知情同意书。
📍 第二阶段:矫治器粘接与主动治疗(复诊频率通常4-8周一次,持续1-3年)
-
分牙(非必须):
在粘接托槽前1-2周,医生会在需要粘接托槽的牙齿之间放置分牙圈(细小的金属环或橡皮圈),使牙齿之间产生微小间隙,方便后续托槽的准确粘接,分牙过程通常有轻微酸胀感。
(图片来源网络,侵删) -
粘接矫治器:
- 这是治疗正式开始的标志,医生会在牙齿表面(唇颊面或舌面)用特殊的粘接剂将托槽(金属的、陶瓷的)或附件(用于隐形牙套)精确粘接到设计好的位置上。
- 对于隐形牙套,则是在粘接附件后,开始佩戴第一副牙套。
- 初次粘接后,牙齿会有明显的异物感、酸痛感(通常持续3-5天),这是牙齿在受力移动的正常反应,医生会告知如何缓解不适(如软食、止痛药)。
-
复诊加力与调整:
- 核心步骤: 每隔4-8周复诊一次(具体时间因矫治器类型和牙齿移动速度而定)。
- 传统/自锁托槽: 医生会更换或调整弓丝(从细软的圆丝到粗硬的方丝),更换橡皮圈(牵引圈)或结扎丝,施加新的力量,引导牙齿向目标位置移动,每次复诊后牙齿通常会有2-3天的酸痛感。
- 隐形牙套: 医生会检查牙齿移动情况,更换下一副牙套(通常每1-2周自行更换一副),并可能使用橡皮筋(牵引圈)进行精细调整,复诊频率可能稍低(6-12周一次)。
- 支抗钉(种植钉)的使用: 如果方案中需要,医生会在复诊时植入或调整支抗钉,为某些牙齿的移动提供稳定的“支点”。
- 治疗中的调整: 根据牙齿移动的实际情况,医生可能会在复诊时微调方案,如更换不同尺寸的弓丝、调整托槽位置、增加附件等。
-
治疗中的注意事项:
- 口腔卫生维护: 极其重要! 必须更仔细地刷牙(巴氏刷牙法)、使用牙线(水牙线/牙线穿引器更方便)、牙间刷,避免食物残渣堆积,预防龋齿和牙龈炎/牙周炎,医生会指导具体方法。
- 饮食注意: 避免吃过硬、过粘、过大的食物(如坚果、硬糖、口香糖、整块苹果/胡萝卜、排骨、螃蟹壳等),防止托槽或附件脱落,隐形牙套需在进食和刷牙时摘下。
- 疼痛管理: 复诊后酸痛是正常现象,可遵医嘱服用止痛药(如布洛芬),吃软食,避免患侧咀嚼。
- 托槽/附件脱落: 如果发现托槽或附件松动、脱落,应及时联系医生预约处理时间,避免影响治疗进程,脱落期间,如果是隐形牙套,可继续佩戴当前副牙套;如果是托槽,通常需尽快粘回。
- 保持佩戴时间: 对于隐形牙套,必须保证每天佩戴22小时以上(吃饭、刷牙时摘下),否则效果会大打折扣。
📍 第三阶段:结束治疗与保持(矫治器拆除后)
-
拆除矫治器:
(图片来源网络,侵删)- 当医生确认牙齿排列整齐、咬合关系稳定、达到预期目标后,会安排拆除矫治器(托槽或隐形牙套)。
- 拆除过程通常比较顺利,会有轻微酸胀感。
-
去除粘接剂与抛光:
拆除矫治器后,牙齿表面会残留粘接剂,医生会用专业器械去除残留物,并进行牙齿抛光,使牙齿表面光滑。
-
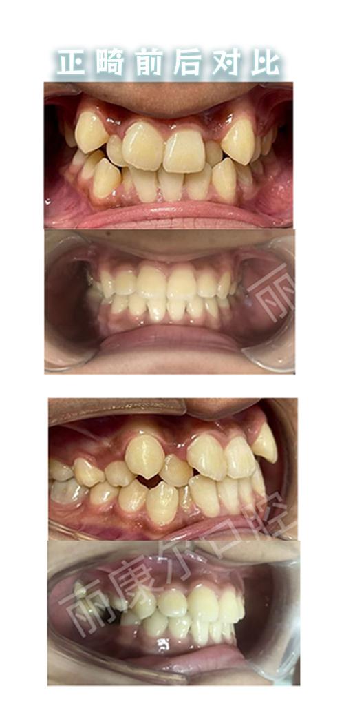
取最终模型与拍摄照片:
取下颌牙齿模型,拍摄治疗结束后的面部及口内照片,与治疗前进行对比,展示矫治效果。
-
佩戴保持器:
- 这是防止复发、维持治疗效果最关键的一步! 牙齿在新的位置上需要时间稳定(牙周组织改建),且存在复发的趋势。
- 医生会根据你的情况制作保持器,常见的有:
- Hawley保持器: 最传统的一种,由塑料基托和金属丝组成,包裹住所有牙齿。
- 透明压膜保持器: 类似隐形牙套,透明美观,包裹在牙齿外侧。
- 固定舌侧丝保持器: 粘接在下前牙舌侧的金属丝,通常与透明压膜保持器联合使用。
- 佩戴要求:
- 严格遵医嘱佩戴! 通常要求全天佩戴(吃饭、刷牙时摘下Hawley或透明压膜),至少持续6个月到1年。
- 之后医生会根据牙齿稳定情况,逐渐过渡到仅夜间佩戴,并可能需要终身夜间佩戴(尤其是在成年后)。
- 保持器也需要定期清洁(用牙膏刷洗Hawley,透明压膜用冷水冲洗或专用清洁片),并定期复查(医生会告知复查频率)。
📍 关键点总结
- 个体化: 每个人的治疗方案、时间、效果都不同,取决于拥挤程度、骨性关系、年龄、口腔健康、配合度等。
- 耐心与配合: 正畸治疗是“医患合作”的过程,患者的配合度(尤其是口腔卫生、饮食、按时复诊、正确佩戴保持器)对最终效果至关重要。
- 专业团队: 选择有资质、经验丰富的正畸医生进行诊断和治疗是成功的基础。
- 全程维护: 从开始前的检查到治疗中的护理,再到结束后的保持,每个阶段都不可忽视。
- 长期性: 治疗本身可能需要1-3年,但佩戴保持器是长期甚至终身的任务,才能确保效果的稳定。
如果你或家人正面临牙齿拥挤的问题,建议尽早咨询专业的正畸医生,进行全面的评估,了解最适合你的治疗方案和预期效果。🦷✨
