拜博口腔网

  • 如何进行RCT修复?有哪些常用方法?

    如何进行RCT修复?有哪些常用方法?

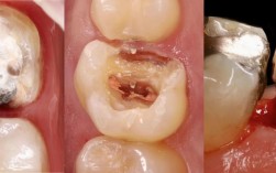
    “RCT”这个缩写在不同领域有完全不同的含义,修复方法”也完全不同,你需要明确你指的是哪个领域的RCT,以下是几种最常见的可能性及其对应的修复方法:RCT指的是根管治疗(RootCanalTherapy)-牙科领域这是最常...

    2025-12-12
    62 0 0
  • 1 / 1
  • 1