磨牙(医学上称为“磨牙症”)是一种常见的口腔问题,表现为无意识地在夜间或白天紧咬牙关或研磨牙齿,长期下来可能导致牙齿过度磨损、牙本质敏感、颞下颌关节紊乱,甚至影响面部肌肉和咀嚼功能,南京作为医疗资源丰富的城市,针对磨牙症的矫正方案已形成成熟体系,通过科学干预可有效缓解症状、保护牙齿健康。
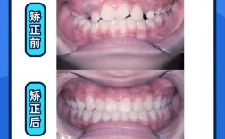
磨牙矫正的核心在于调整咬合关系、缓解肌肉紧张,常见方法包括咬合板治疗、正畸矫正(针对咬合异常导致的继发性磨牙)等,咬合板是首选非手术方式,通过佩戴特制的塑料或树脂垫,分离上下牙列,减少牙齿直接接触,同时引导咬合肌放松;若磨牙伴随明显的牙齿排列不齐、咬合过深等问题,则需结合正畸矫正,通过托槽或隐形牙套调整牙齿位置,重建平衡咬合。
南京市民在选择磨牙矫正服务时,需重点关注机构资质与医生经验,公立医院如南京医科大学附属口腔医院、江苏省口腔医院拥有完善的口腔正畸科,医生团队经验丰富,擅长复杂病例;私立口腔诊所(如南京雅美口腔、瑞尔齿科等)则提供更便捷的预约服务和个性化方案,但需确认其是否具备正规医疗资质,建议优先选择有中华口腔医学会正畸专业委员会(COS)认证的医生,这类医生需通过严格的培训和考核,在咬合分析、方案设计上更专业。
矫正流程通常分为几个阶段:初诊阶段,医生会通过口腔检查、X光片(全景片、头颅侧位片)、咬合模型等评估磨牙原因及牙齿磨损程度;方案设计阶段,若采用咬合板,需根据患者牙齿形态定制,厚度通常为2-3mm,覆盖后牙区;若需正畸,则会制定个性化矫正计划,包括托槽类型、矫正周期(一般1-2年);治疗期间需每月复诊调整,矫正结束后需佩戴保持器巩固效果,同时配合咬合板夜间佩戴,预防复发。
费用方面,南京磨牙矫正费用因方法不同差异较大,单纯咬合板治疗约2000-5000元(含设计、制作及调整);若结合正畸矫正,传统金属托槽约1.5-3万元,陶瓷托槽约2-4万元,隐形矫正(如隐适美)约3.5-6万元,具体取决于牙齿畸形程度和医生资历,矫正期间需保持口腔卫生,饭后及时清洁矫正器或咬合板;避免过硬、过黏食物,防止矫正器脱落或牙齿磨损;同时注意调节生活压力,因焦虑、压力大是夜磨牙的重要诱因,可通过冥想、运动等方式缓解。
| 矫正方式 | 优点 | 缺点 | 适用情况 | 价格范围(南京参考) |
|---|---|---|---|---|
| 咬合板治疗 | 无创、可逆、见效快 | 需长期佩戴(夜间)、可能需调整 | 原发性磨牙、咬合肌紧张为主 | 2000-5000元 |
| 传统金属托槽 | 价格较低、力度稳定 | 美观性差、口腔异物感强 | 伴随牙齿排列不齐、咬合异常的磨牙 | 5-3万元 |
| 陶瓷托槽 | 美观(接近牙齿颜色) | 硬度较高、可能磨损牙釉质 | 对美观有要求、轻中度咬合异常 | 2-4万元 |
| 隐形矫正 | 隐形、舒适、可自行摘戴 | 价格高、需严格佩戴(每天22h+) | 轻中度牙齿畸形、对美观要求高 | 5-6万元 |
相关问答FAQs
问:磨牙矫正需要多长时间?
答:矫正时间取决于磨牙原因和矫正方式,单纯咬合板治疗通常需佩戴3-6个月,待症状缓解后可逐渐减少佩戴时间;若结合正畸矫正,一般需1-2年,具体时间与牙齿移动难度、患者配合度相关,矫正结束后需佩戴保持器至少2年,以防复发。
问:成年后磨牙矫正效果好吗?
答:成年后磨牙矫正效果同样理想,但与儿童相比,牙齿移动速度较慢,骨改建能力稍弱,因此矫正周期可能略长,只要咬合关系异常得到纠正、肌肉紧张状态缓解,牙齿磨损和关节症状均可显著改善,建议成年患者选择经验丰富的医生,制定个性化方案,以确保效果。
