大牙齿错位是指牙齿因体积过大、萌出空间不足或位置异常导致的排列不齐问题,常见于上颌侧切牙、下颌第一磨牙等,不仅影响美观,还可能造成咬合紊乱、牙周清洁困难甚至颞下颌关节问题,临床数据显示,约12%的错颌畸形患者存在牙齿过大导致的错位,需通过科学矫正改善。
大牙齿错位的常见类型及表现
大牙齿错位可分为三类,不同类型对口腔功能的影响差异显著,需针对性设计矫正方案。
| 类型 | 具体表现 | 主要影响 |
|---|---|---|
| 物理性占位错位 | 牙冠宽度大于正常值(如上颌侧切牙牙冠宽度>8.5mm),导致邻牙倾斜、牙列拥挤或散隙。 | 咬合接触点异常,食物嵌塞风险高;长期可能引发牙周炎。 |
| 萌出位置异常 | 过大牙因牙弓空间不足,萌出时偏向唇侧、舌侧或低位(未达咬合平面)。 | 咬合干扰,导致单侧咀嚼习惯;可能压迫邻牙牙根。 |
| 牙弓形态不匹配 | 牙弓长度或宽度与过大牙不协调,如牙弓尖牙宽度不足,无法容纳第一磨牙正常排列。 | 上下牙咬合关系紊乱,颞下颌关节负荷增加。 |
大牙齿错位的矫正方法选择
矫正需结合错位类型、患者年龄、口腔状况综合评估,核心原则是“排齐牙齿+恢复功能+美学协调”。
正畸治疗(主要方法)
通过外力移动过大牙及邻牙,调整至理想位置。
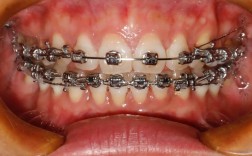
- 传统托槽矫正:适用于拥挤较轻者,通过弓丝施加持续轻力,推动过大牙向远中移动或调整倾斜度,优势是控制精准,可处理复杂错位,但美观度较差。
- 隐形矫正:利用3D打印定制透明牙套,通过每副牙套的微量移动(每副0.25-0.3mm)逐步调整牙齿位置,适合成年轻度错位患者,可自行摘戴,便于清洁,但需严格佩戴(每天20小时以上)。
- 舌侧矫正:将托槽粘在牙齿舌侧面,完全隐形,适合对美观要求极高者,但技术难度大,费用较高(约10-15万元),且初期对发音影响明显。
正畸-修复联合治疗
针对过大牙牙体形态异常(如牙冠过大、牙尖过突),需先通过正畸排齐,再配合修复治疗:
- 牙体预备+全冠/贴面修复:对过大牙进行适量磨改(磨改量控制在0.5-1.0mm,避免露髓),后制作全瓷冠或树脂贴面,调整牙冠宽度与邻牙协调。
- 邻面去釉(IPR):对于牙冠轻微过大者,通过磨改牙邻面接触区,减少牙齿总宽度(每颗牙去釉量约0.25mm),为拥挤牙齿创造空间。
拔牙矫正(必要时)
若牙弓空间严重不足(如拥挤度>5mm),需拔除非关键牙(如第一前磨牙),为过大牙及邻牙移动提供间隙,拔牙后需通过正畸关闭拔牙间隙,避免影响面部轮廓。
矫正流程及注意事项
矫正流程
- 初诊检查:拍摄全景片、头颅侧位片,取研究模型,进行口内扫描,评估牙齿大小、牙弓长度、骨量及咬合关系。
- 方案设计:结合检查数据,模拟牙齿移动路径,确定是否拔牙、选择矫治器类型及修复方案。
- 治疗阶段:粘接托槽/佩戴隐形牙套,每4-6周复诊调整;若需修复,待正畸结束后进行牙体预备及修复体制作。
- 保持阶段:拆除矫治器后,佩戴保持器(透明保持器或 Hawley 保持器)至少2年,防止复发。
注意事项
- 口腔卫生:正畸期间使用正畸专用牙刷、牙缝刷,避免托槽周围食物残留,预防龋齿和牙周炎。
- 饮食调整:避免啃咬硬物(如坚果、骨头)、粘性食物(如口香糖),防止托槽脱落或弓丝变形。
- 定期复诊:严格按照医生时间复诊,若出现托槽松动、疼痛等异常,需及时处理。
相关问答FAQs
Q1:大牙齿错位矫正一定要拔牙吗?
A1:不一定,是否拔牙取决于牙弓空间与牙齿大小的匹配度:若拥挤度≤3mm,可通过邻面去釉、扩大牙弓(非骨性)等非拔牙方式解决;若拥挤度>5mm或存在严重骨性不调,则需拔牙为牙齿移动提供间隙,医生会通过模型测量和X光片综合判断,优先选择能最大限度保留健康牙的方案。
Q2:矫正后牙齿会复发吗?如何预防?
A2:存在复发风险,主要原因包括:牙齿周围组织改建未完成(需1-2年)、保持器佩戴不当、不良习惯(如咬唇、吐舌)等,预防措施:①严格佩戴保持器(至少夜间2年,之后可逐渐减少频率);②避免用牙齿啃咬硬物;③定期复查(每6个月1次),及时发现牙齿移位倾向并干预。
