龅牙在医学上常被称为上颌前突或双颌前突,是一种常见的牙齿颌面畸形,表现为上前牙过度前突、嘴唇无法自然闭合,或上下牙弓及颌骨在矢状方向上关系异常,这种畸形不仅影响面部美观,还可能引发口腔功能问题(如咬合紊乱、发音不清)及心理负担,因此矫正龅牙是许多人的需求,龅牙矫正需结合个体情况选择方案,通过科学治疗可实现牙齿排列、咬合功能及面部美观的协同改善。
龅牙的类型与成因
龅牙主要分为牙性龅牙和骨性龅牙两类,部分患者可能存在混合型,牙性龅牙指牙齿排列异常导致的前突,通常与不良习惯(如吮指、咬唇、口呼吸)或替牙期障碍(如乳牙早失、恒牙萌出顺序异常)有关;骨性龅牙则与颌骨发育异常相关,表现为上颌骨过度前突或下颌骨发育不足,可能受遗传因素或儿童期慢性疾病(如腺样体肥大导致长期口呼吸)影响,不良生活习惯(如长期咬硬物、托腮)及口腔肌肉功能失衡也可能加剧龅牙程度。

龅牙矫正的必要性
龅牙的危害不仅限于外观:从口腔健康角度看,前突牙齿易受外力撞击导致松动或断裂,且牙缝间易嵌塞食物,增加龋齿和牙周病风险;从功能角度看,严重龅牙可能导致咬合创伤、颞下颌关节紊乱(如张口弹响、疼痛),甚至影响咀嚼效率和发音;从心理角度看,青少年可能因嘲笑产生自卑情绪,影响社交行为,龅牙矫正不仅是“变美”需求,更是健康管理的必要措施。
龅牙矫正的常见方法
龅牙矫正需通过正畸治疗调整牙齿位置、颌骨关系及肌肉功能,具体方法需根据患者年龄、畸形类型、严重程度及个人需求制定,目前主流方法包括以下几种:
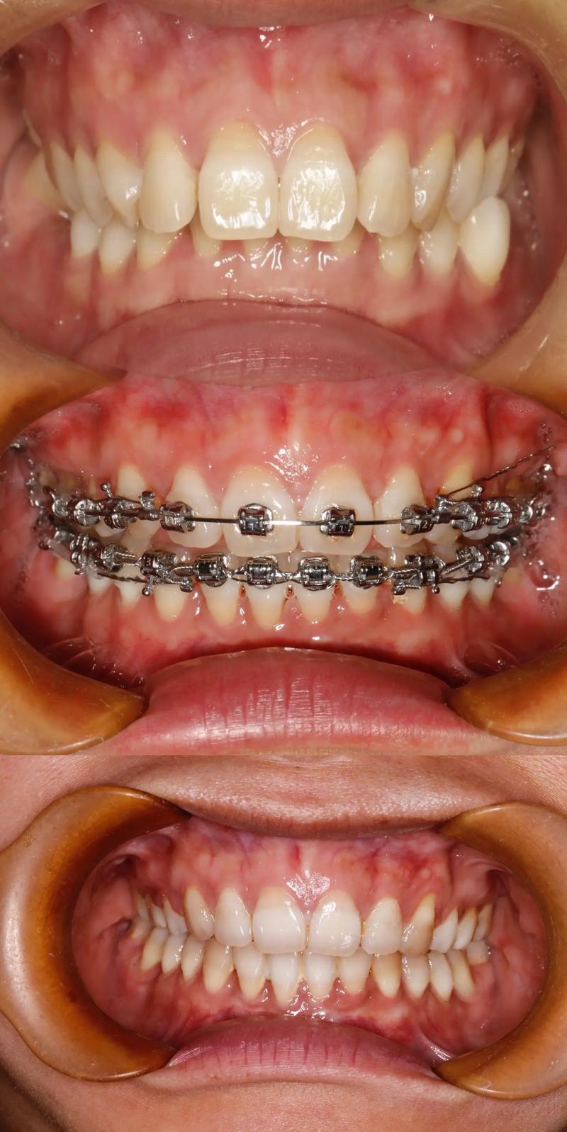
传统金属托槽矫正
通过金属托槽、弓丝及橡皮筋施加力量,将牙齿逐步移动至目标位置,优点是性价比高、适用范围广(尤其适合复杂病例);缺点是美观性差、口腔异物感明显,且佩戴期间需严格注意口腔卫生,避免托槽周围食物残留。
陶瓷托槽矫正
托槽材料为透明陶瓷,与牙齿颜色相近,美观性优于金属托槽,强度和矫正效果与金属托槽相当,但陶瓷材质脆性较高,需避免咬硬物,且价格略高于传统矫正。
自锁托槽矫正
托槽自带闭锁装置,无需结扎丝或橡皮筋固定弓丝,摩擦力较小,可减少牙齿移动阻力,缩短矫正周期(约缩短3-6个月),口腔清洁更方便,适合对口腔卫生要求较高或对疼痛敏感的患者,但费用较高。
隐形矫正
采用透明高分子材料制作牙套,可自行摘戴,每副牙套佩戴1-2周后更换下一副,通过逐渐施加力量移动牙齿,优点是美观、舒适、不影响饮食和口腔清洁;缺点是对患者依从性要求高(需每日佩戴20-22小时),且严重骨性龅牙或复杂病例可能无法完全适用。
舌侧矫正
将托槽粘贴在牙齿舌侧面,完全隐藏于口腔内,美观性最佳,但技术难度大、费用高,且初期对发音、咀嚼影响较大,适应时间较长,适合对美观有极致要求且预算充足的患者。
正畸正颌联合治疗(针对骨性龅牙)
对于成年严重骨性龅牙(上颌前突超过5mm或伴有下颌后缩),单纯正畸效果有限,需通过正畸治疗调整牙齿位置后,结合正颌手术(如上颌骨Le Fort I型截骨术、下颌骨矢状劈开术)重塑颌骨关系,才能实现功能与外观的根本改善。
不同矫正方法对比
| 矫正方法 | 美观性 | 舒适度 | 适用人群 | 矫正周期(平均) | 费用范围(元) |
|----------------|--------|--------|------------------------------|------------------|----------------|
| 传统金属托槽 | 低 | 一般 | 各类牙性畸形、复杂病例 | 1.5-3年 | 8000-15000 |
| 陶瓷托槽 | 中 | 一般 | 对美观有要求、非复杂病例 | 1.5-3年 | 12000-20000 |
| 自锁托槽 | 中 | 较好 | 疼痛敏感、口腔卫生要求高者 | 1-2.5年 | 15000-25000 |
| 隐形矫正 | 高 | 好 | 轻中度牙性畸形、依从性良好者 | 1-2年 | 20000-50000 |
| 舌侧矫正 | 极高 | 一般 | 对美观有极致要求、预算充足者 | 2-3年 | 40000-80000 |
| 正畸正颌联合 | 高 | 手术创伤 | 严重骨性龅牙、成年患者 | 正畸1-2年+手术恢复6-12个月 | 50000-100000+ |
龅牙矫正的完整流程
- 初诊检查:包括口腔检查、拍摄X线片(全景片、头颅侧位片)、取模(或口扫),分析牙齿排列、颌骨关系、面部比例及生长发育情况(青少年需判断是否处于生长发育高峰期)。
- 方案设计:医生结合检查结果与患者需求制定矫正计划,明确矫正目标(如排齐牙齿、关闭间隙、改善咬合)、选择矫正方法及预估周期。
- 治疗前准备:若有牙周炎、龋齿等需先控制炎症或补牙;骨性龅牙需评估是否需手术;青少年可能需拔除前磨牙为牙齿移动提供空间。
- 戴入矫治器:根据方案粘托槽或佩戴首副隐形牙套,医生调整弓丝力量并交代注意事项。
- 定期复诊:传统矫正每4-6周复诊一次,隐形矫正每6-8周复诊,通过调整弓丝或更换牙套施加持续力,牙齿移动阶段通常需1-2年。
- 保持阶段:拆除矫治器后需佩戴保持器(如透明压膜保持器、 Hawley保持器),防止牙齿复发,前6个月需全天佩戴,之后逐渐过渡至夜间佩戴,建议长期坚持(至少2年)。
矫正过程中的注意事项
- 口腔卫生维护:佩戴托槽需使用正畸专用牙刷、牙缝刷、冲牙器,避免食物残渣堆积引发龋齿或牙周炎;隐形矫正需摘下牙套后刷牙,避免色素沉着。
- 饮食调整:避免啃硬物(如坚果、螃蟹壳)、黏性食物(如口香糖、年糕),防止托槽脱落;隐形矫正可正常饮食,但需避免有色食物(如咖啡、奶茶)长时间佩戴导致牙套变色。
- 疼痛管理:初戴矫治器或每次复诊调整后3-5天可能出现牙齿酸胀,可遵医嘱服用非处方止痛药(如布洛芬),避免咀嚼过硬食物。
- 避免不良习惯:矫正期间需戒除吮指、咬唇、吐舌等习惯,否则可能影响矫正效果。
- 及时处理突发问题:若托槽脱落、弓丝刺嘴,可用正畸蜡临时保护,尽快复诊处理。
矫正后的效果与维护
龅牙矫正后,牙齿排列整齐、咬合功能改善,面部轮廓通常更协调(如嘴唇丰满度适中、鼻唇角更自然),但矫正效果具有长期性,需注意:
- 保持器佩戴:牙齿移动后牙槽骨改建需1-2年,保持器是防止复发的关键,务必遵医嘱佩戴。
- 口腔习惯保持:避免长期用单侧咀嚼、咬硬物,维持肌肉平衡。
- 定期复查:即使保持器阶段,建议每年复查1次,监测牙齿稳定性。
相关问答FAQs
Q1:龅牙矫正的最佳年龄是什么时候?
A:矫正时机需结合畸形类型和生长发育阶段:牙性龅牙替牙期(7-10岁)可进行早期干预(如破除不良习惯、引导颌骨发育);青少年恒牙早期(11-14岁)是矫正黄金期,颌骨仍有一定生长潜力,矫正效果较好;成年患者(18岁以上)颌骨已停止发育,牙性龅牙可通过正畸改善,严重骨性龅牙需结合正颌手术,矫正周期可能更长。
Q2:矫正过程中牙齿疼痛是正常的吗?如何缓解?
A:初戴矫治器或每次复诊调整后3-5天,牙齿受力移动可能出现轻微疼痛或酸胀感,属于正常现象,通常1周内逐渐缓解,可尝试以下方法:① 避免咀嚼过硬食物,选择温凉、软质饮食(如粥、面条);② 用冰袋冷敷面部缓解肿胀;③ 遵医嘱服用布洛芬等非甾体抗炎药;④ 若疼痛剧烈或持续超过1周,需及时复诊检查弓丝或托槽是否刺激牙齿。
