牙齿出现龋洞(俗称“蛀牙洞”)后,不仅影响美观和咀嚼功能,还可能引发牙髓炎、根尖周炎等严重问题,及时补牙是终止龋坏、恢复牙齿健康的关键,目前临床常用的补牙方法根据材料、修复方式及适应症的不同,主要分为传统充填修复和嵌体修复两大类,其中又包含多种具体材料和技术选择。
传统充填修复
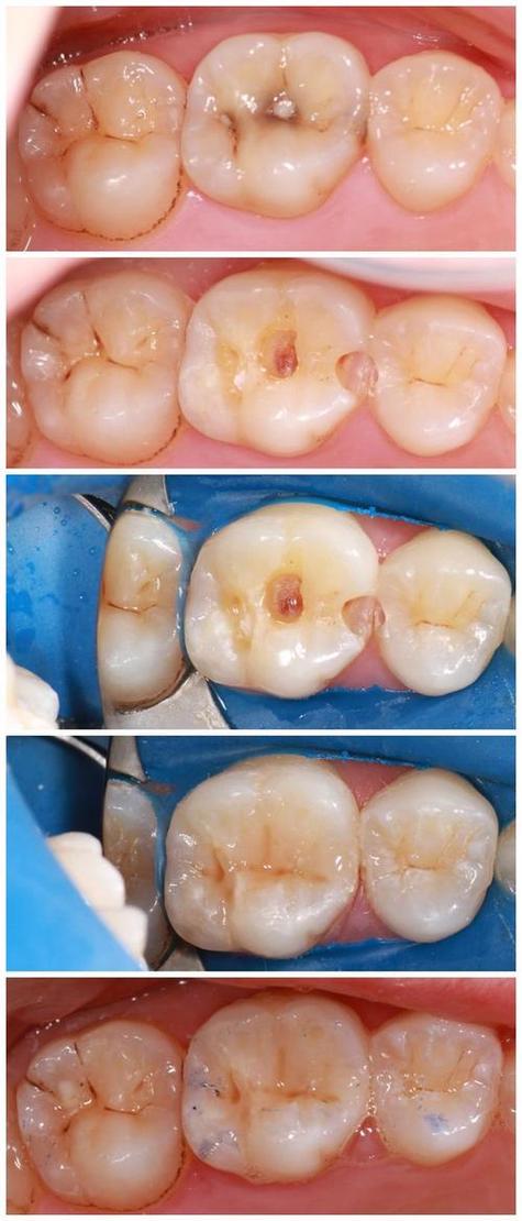
传统充填修复是直接在口腔内操作,通过去除龋坏组织后,将材料填入窝洞并塑形,恢复牙齿外形和功能,这种方法操作简便、一次就诊完成,适用于中小型龋洞,常用材料包括银汞合金、复合树脂和玻璃离子水门汀。

银汞合金充填
银汞合金是历史悠久的充填材料,由银、锡、铜等金属粉末混合汞剂制成,固化后强度高、耐磨耐腐蚀,价格低廉,其优点在于抗压性强,适用于后牙(如磨牙、前磨牙)的咬合面和邻面洞,尤其适合对美观要求不高的患者,但缺点也较明显:材料呈银灰色,影响前牙美观;对牙体组织切割较多(需制备特定洞形保证固位);部分患者担心汞释放问题(目前研究认为规范使用下安全性良好,但孕妇和儿童需谨慎)。
复合树脂充填
复合树脂是目前应用最广泛的充填材料,由树脂基质、无机填料和引发剂组成,可通过光照固化,其最大优势是美观性强,颜色、透明度接近天然牙,可模仿牙齿纹理,适用于前牙和后牙中小型缺损,树脂粘接性强,可保留更多健康牙体组织,操作灵活,缺点是耐磨性略低于银汞合金,长期使用可能出现边缘微渗漏或染色(如饮用咖啡、茶后),对医生操作技术要求高(需严格隔湿、分层充填以避免聚合收缩)。
玻璃离子水门汀充填
玻璃离子水门汀由聚丙烯酸和玻璃粉构成,固化后能释放氟离子,抑制继发龋,对牙髓刺激性小,且粘接性较好,但其强度和耐磨性较差,易脆裂,美观性一般,多用于乳牙充填、根面龋修复,或作为窝沟封闭剂、垫底材料(与复合树脂联用,增强固位和封闭性)。
嵌体修复
嵌体修复是一种间接修复法,适用于龋坏较大或传统充填固位不佳的情况,医生需先去除龋坏组织,制备洞形后取模,在技工室制作嵌体(修复体),再粘接到牙体上,根据材料可分为树脂嵌体、陶瓷嵌体和金属嵌体。

树脂嵌体
树脂嵌体由高强度复合树脂制成,通过CAD/CAM技术或传统蜡型铸造而成,边缘密合度高,不易产生继发龋,同时保留树脂的美观性,适用于后牙中小至大型缺损,或牙体组织薄弱(如大面积龋坏)的情况。
陶瓷嵌体
陶瓷嵌体(如玻璃陶瓷、氧化锆陶瓷)具有极佳的生物相容性和美观性,硬度高、耐磨性强,色泽稳定,不易染色,尤其适合对美观和功能要求高的患者,但价格较高,且脆性较大(需精确设计避免受力过大)。
金属嵌体
金属嵌体(如金合金、镍铬合金)强度最高,耐磨性极佳,适合后牙大面积缺损或咬合力量大的患者,但金属颜色影响美观,多用于后牙且对美观无要求者。
不同补牙材料优缺点对比
| 材料名称 | 优点 | 缺点 | 适用情况 |
|---|---|---|---|
| 银汞合金 | 强度高、耐磨、价格低 | 美观差、需多磨牙体、汞释放争议 | 后牙中小型洞、对美观要求低者 |
| 复合树脂 | 美观、粘接性强、保留牙体多 | 耐磨性一般、易染色、技术要求高 | 前牙、后牙中小型洞、美观要求高者 |
| 玻璃离子水门汀 | 含氟防龋、粘接性好、刺激小 | 强度低、易脆裂、美观性一般 | 乳牙、根面龋、垫底材料 |
| 树脂嵌体 | 边缘密合、美观、不易继发龋 | 需多次就诊、费用较高 | 后牙缺损较大、固位不佳者 |
| 陶瓷嵌体 | 美观极佳、强度高、耐磨、稳定 | 价格高、脆性大、需精确预备 | 对美观和功能要求高的后牙缺损 |
| 金属嵌体 | 强度最高、耐磨性极佳 | 美观差、金属过敏风险 | 后牙大面积缺损、咬合力量大者 |
补牙基本步骤
无论选择哪种方法,补牙的核心步骤一致:首先通过口腔检查(如探诊、X光片)判断龋坏范围和深度;然后局部麻醉(深龋或敏感者),彻底去除腐质(防止继发龋);接着制备窝洞(建立固位形和抗力形);根据材料选择充填或嵌体修复;最后调合咬合、抛光表面,确保舒适和美观。

相关问答FAQs
问题1:补牙材料如何选择?哪种更好?
解答:补牙材料的选择需综合龋坏位置、缺损大小、美观需求、经济条件及口腔健康状况,前牙首选复合树脂(美观);后牙中小缺损可选复合树脂或银汞合金(后者更耐磨);大面积后牙缺损建议嵌体(树脂/陶瓷,固位好);乳牙常用玻璃离子或树脂嵌体(含氟防龋);根面龋或敏感者适合玻璃离子,没有“最好”的材料,只有“最适合”的,建议结合医生建议和个人需求选择。
问题2:补牙后需要注意什么?能马上吃东西吗?
解答:补牙后24小时内避免用补牙侧咀嚼,以免材料脱落;树脂充填后避免食用咖啡、茶、红酒等染色食物,以防变色;银汞合金充填后24小时内避免咀嚼过硬食物(如坚果、牛肉干),待材料完全固化,若出现冷热敏感、咬合疼痛或材料松动,需及时复诊,补牙后仍需认真刷牙、使用牙线,定期口腔检查(每6个月),防止继发龋发生。
