种牙和整牙同时进行,是近年来口腔医学中针对特定患者群体提出的联合治疗方案,旨在解决牙齿缺失与排列不齐并存的问题,缩短治疗周期,提升功能与美学效果,这一方案并非适用于所有人,需严格评估口腔条件,但合理实施下能实现“1+1>2”的治疗效益。
适用情况:并非人人可“同时进行”
种牙(种植义齿修复)的核心是植入人工牙根,依赖牙槽骨的骨结合;整牙(正畸治疗)通过施加外力移动牙齿,调整咬合与排列,两者同时进行的前提是口腔条件满足“兼容性”,具体包括:

- 缺牙位置与骨条件:若缺牙区牙槽骨骨量充足(高度≥10mm、宽度≥5mm),无需植骨,且缺牙位于牙弓后段(如磨牙区),正畸移动邻牙时对种植体的影响较小;若缺牙在牙弓前段,需评估正畸是否需要调整缺牙间隙(如过宽需关闭,过窄需开拓),避免种植体位置与未来牙冠不协调。
- 牙周健康状况:无活动性牙周炎、牙周袋深度≤3mm,牙槽骨吸收不超过根长1/3,因正畸过程中牙齿移动可能加重牙周负担,而种植体周围更需要稳定骨支持。
- 年龄与颌骨发育:青少年患者需确认颌骨发育完成(女性14-16岁,男性16-18岁),避免正畸移动与颌骨生长冲突;中老年患者需排除严重骨质疏松(未规范治疗者)、糖尿病(血糖控制不佳者)等影响骨结合的全身性疾病。
- 正畸目标明确:正畸方案需包含“为种牙做准备”的设计,如集中间隙、纠正倾斜牙、调整咬合平面等,而非单纯排齐牙齿。
治疗流程:分阶段协同,动态调整
种牙与整牙同时并非“同时开刀”,而是通过方案设计与时间协同,实现治疗效率最大化,典型流程如下:
术前多学科评估(1-2周)
需正畸医生、种植医生、牙周医生共同会诊:
- 正畸检查:取模、拍摄X线片(全景片、头颅侧位片),分析牙齿排列、咬合关系、缺牙间隙大小,设计是否需要拔牙、扩弓、推磨牙后退等。
- 种植检查:通过CBCT评估牙槽骨骨量、密度、神经血管位置,确定种植体直径、长度及植入位点。
- 牙周治疗:若存在牙龈炎、牙周炎,需先进行基础治疗(洁治、刮治),待牙周指标稳定后再启动正畸与种植。
正畸初期:排齐整平,为种牙“铺路”(6-12个月)
先进行正畸治疗,解决牙齿排列问题:
- 若缺牙间隙过小(如后牙缺失后邻牙倾斜),需通过正畸拓展间隙,使间隙与种植体所需宽度(≥5mm)匹配;
- 若缺牙间隙过大,可通过邻牙向缺牙区移动,关闭部分间隙,减少种植体跨度;
- 纠正扭转、低位牙等,为后续种植体周围清洁创造条件。
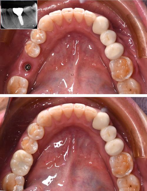
种植体植入(正畸中期,1-2小时)
当缺牙间隙、骨条件满足后,在局部麻醉下植入种植体:

- 时机选择:通常在正畸排齐后、关闭间隙前进行,此时牙齿移动已趋于稳定,种植体植入后不易受正畸力量干扰;
- 植入位置:需与正医生沟通,确保种植体位于理想位置(如牙长轴方向、与邻牙距离≥1.5mm),避免正畸移动后种植体与邻牙接触或咬合干扰。
正畸后期:精细调整与修复(12-18个月)
种植体植入后需等待3-6个月骨结合,期间继续完成剩余正畸治疗(如关闭间隙、调整咬合):
- 骨结合期间,正畸力量需轻柔(避免使用强支抗),定期复查种植体稳定性;
- 骨结合完成后,取模制作种植基台与牙冠,同时完成正畸保持器制作,确保治疗效果长期稳定。
优势:缩短周期,提升综合疗效
相较于传统“先整牙再种牙”(总周期3-5年)或“先种牙再整牙”(可能因种植体阻挡正畸移动),同时进行的核心优势在于:
- 时间效率:正畸与种植治疗部分重叠,总周期缩短1-2年,尤其适合工作繁忙、希望快速恢复功能的患者;
- 功能与美学协同:正畸过程中可动态调整种植体位置,使牙冠与邻牙排列更协调;种植体早期植入可防止缺牙区牙槽骨进一步萎缩,避免后期正畸后“黑三角”或牙龈凹陷;
- 减少拔牙风险:若缺牙区邻牙倾斜严重,传统种牙可能需先正畸竖直邻牙,同时进行可利用种植体作为支抗,部分患者可避免额外拔牙。
风险与注意事项:规避潜在问题
尽管优势显著,但联合治疗对医生技术与患者配合度要求更高,需警惕以下风险:
- 种植体松动:若正畸力量过大(如关闭缺牙间隙时直接牵拉种植体),可能导致种植体周围骨吸收、松动,需医生严格控制正畸力,采用“轻力间歇加力”原则;
- 牙周问题:正畸戴矫治器与种植体周围均易堆积食物残渣,若口腔卫生不佳,可能引发种植体周围炎或牙周炎,需患者加强清洁(使用正畸牙刷、冲牙器、牙线),每3个月复查牙周;
- 方案偏差:正畸过程中可能出现牙齿移动方向与预期不符,需医生及时调整方案,必要时暂停正畸或调整种植体修复时机。
关键步骤与注意事项总结
| 项目 | |
|---|---|
| 适用条件 | 缺牙区骨量充足、牙周健康、颌骨发育完成、正畸目标明确 |
| 禁忌症 | 严重骨缺损(需植骨)、未控制的糖尿病/骨质疏松、青少年颌骨发育未完成、吸烟>10支/日 |
| 关键步骤 | 多学科评估→正畸排齐/调整间隙→种植体植入→正畸完成→种植修复 |
| 患者配合 | 加强口腔卫生、定期复查(正畸4-6周/次,种植3个月/次)、避免咬硬物 |
相关问答FAQs
Q1:种牙和整牙同时进行,会比单独做更疼吗?
A1:疼痛感受因人而异,但通常不会叠加增加,正畸初期(戴矫治器后1周)和种植术后(24-48小时)可能有轻微酸胀或疼痛,可通过止痛药缓解;正畸中后期力量调整时疼痛较轻,种植体骨结合期间无不适,关键在于医生控制正畸力度(如使用镍钛轻力弓丝)和微创种植技术,整体疼痛可耐受。
Q2:同时治疗后,种牙的使用寿命会比单独种牙短吗?
A2:不会,只要满足以下条件,使用寿命与单独种牙无差异:①骨结合良好(种植体与牙槽骨紧密结合);②口腔卫生维护到位(无种植体周围炎);③正畸力量合理(未对种植体造成慢性创伤);④定期复查(每年检查种植体稳定性与牙周健康),临床研究显示,规范维护的种植体使用寿命可达10-20年,甚至更长。
