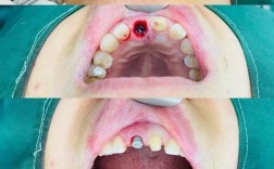
种植牙骨吸收指植入体周围的牙槽骨逐渐流失,多因感染、咬合过载或慢性炎症引发,严重可致植体松动脱落,需通过影像
种植牙是一种通过外科手术将人工牙根(通常为钛合金材料)植入颌骨内,替代缺失牙齿的技术,其成功的核心在于骨结合——即种植体与周围骨组织形成直接且稳定的机械-生物连接,在临床实践中,部分患者可能出现“种植牙骨吸收”现象,这一情况直接影响种植体的长期稳定性和使用寿命,以下从定义、成因、表现、危害、诊断及应对措施等方面展开详细说明。

什么是种植牙骨吸收?
种植牙骨吸收指种植体周围原本健康的牙槽骨逐渐流失的现象,正常情况下,种植体植入后应与骨组织紧密贴合并维持动态平衡(轻微改建属正常范围),若骨量持续减少,可能导致种植体暴露、松动甚至脱落,需注意区分两种类型:
| 类型 | 特点 |
|----------------|--------------------------------------------------------------------------|
| 生理性吸收 | 术后初期(约3个月内)因创伤修复产生的短暂吸收,幅度较小(<1mm),属正常反应 |
| 病理性吸收 | 超出正常范围的持续性吸收,多由疾病或外力因素引发,需及时干预 |
常见病因解析
✅ 局部感染(最主要诱因)
- 牙龈炎/种植体周围黏膜炎:菌斑堆积刺激软组织发炎,炎症因子激活破骨细胞,加速骨破坏。
- 种植体周围炎:感染深入至骨组织,形成深牙周袋,伴随脓液渗出和骨缺损。
- 典型特征:红肿出血、口臭、咀嚼疼痛。
✅ 力学负荷异常
- 咬合过载:夜磨牙、紧咬牙习惯或修复体设计不当(如冠桥跨度大),导致种植体承受压力超过骨耐受阈值。
- 应力屏蔽效应:种植体表面处理不佳或角度偏差,使局部区域受力集中,引发适应性骨重塑失衡。
✅ 全身性疾病影响
| 疾病 | 作用机制 | 关联性 |
|---|---|---|
| 糖尿病 | 高血糖损害微循环,延缓伤口愈合 | 骨吸收风险↑2倍 |
| 骨质疏松症 | 骨密度降低,骨代谢紊乱 | 种植失败率↑30%-50% |
| 吸烟 | 尼古丁收缩血管,抑制成骨细胞活性 | 骨整合失败率↑40% |
✅ 医源性因素
- 手术操作失误:备洞产热过高灼伤骨细胞、冷却不足导致热损伤。
- 即刻负重时机不当:未待骨充分愈合即加载咬合力,干扰骨整合进程。
- 邻牙问题波及:天然牙严重龋坏或牙周病未控制,间接破坏种植区骨环境。
临床表现与检测方法
🔍 早期信号
- 影像学改变:X线/CBCT显示种植体颈部出现透射影(低密度区),垂直向骨丧失>1.5mm/年需警惕。
- 临床体征:探诊深度>4mm、可见溢脓、叩诊浊音。
- 主观感受:咬物不适、异物感增强、牙龈反复肿胀。
🔬 辅助检查
| 检查项目 | 用途 | 结果解读 |
|---|---|---|
| 数字化咬合分析 | 评估咬合力分布 | 红色高压区提示需调磨咬合面 |
| Periotest仪器测试 | 量化种植体动度 | 数值>7级表明存在松动风险 |
| 微生物培养+药敏 | 鉴定致病菌种类 | 针对性选择抗生素(如阿莫西林+甲硝唑) |
危害分级与处理原则
⚠️ 轻度吸收(骨丧失≤1.5mm)
- 保守治疗:龈下刮治清除感染源→氯己定含漱液控制菌群→定期复查(每3个月)。
- 案例参考:某患者因刷牙方式错误导致菌斑滞留,经口腔卫生指导后6个月复查骨高度稳定。
⛏️ 中重度吸收(骨丧失>1.5mm伴种植体暴露)
- 再生手术:翻开黏骨瓣彻底清创→植入Bio-Oss胶原屏障膜+富血小板纤维蛋白(PRF)促进骨再生。
- 数据支持:研究表明联合应用GBR技术可使骨增量达82%,成功率提升至91%。
☠️ 不可逆阶段(Ⅲ度松动)
- 移除种植体:彻底清除肉芽组织→自体骨移植重建骨量→延期6个月后重新种植。
- 注意事项:二次手术需严格筛选适应症,排除系统性疾病活动期。
预防策略体系
📌 术前准备
- 三维规划:利用DICOM数据模拟种植位置,避开神经管和上颌窦底壁。
- 临时义齿过渡:拔牙后佩戴树脂基托维持间隙,防止对侧牙伸长导致的咬合紊乱。
🦷 术中要点
| 关键环节 | 操作规范 | 目的 |
|---|---|---|
| 逐级扩孔 | 转速<20rpm配合生理盐水降温 | 避免高温坏死 |
| 初期稳定性控制 | ISQ值≥35Ncm² | 确保无微动 |
| 封闭螺丝扭矩管理 | 分段拧入至35N·cm最终就位 | 防止过度挤压骨壁 |
📅 术后维护
- 复诊时间表:术后1周拆线→1个月拍片查骨结合→3个月永久修复→之后每年洁牙+全景片。
- 家庭护理:冲牙器每日清洁邻间隙→单束毛刷按摩牙龈→戒烟限酒控制全身状态。
相关问答FAQs
Q1: 发现种植牙周围牙龈发红但不疼,需要立即就医吗?
A: 建议尽快就诊!这是早期感染的典型表现,此时通过简单刮治即可逆转,拖延可能导致骨吸收加重,后期治疗成本更高,数据显示,早期干预的患者保存率比晚期高67%。
Q2: 糖尿病患者能否做种植牙?需要注意什么?
A: 可以,但需满足条件:①糖化血红蛋白<7%;②无活动性感染灶;③术前进行系统性牙周治疗,术后需加强监测,因糖尿病患者骨吸收发生率是非患者的2.3倍,建议缩短复查间隔至2个月一次。
