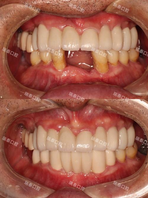
镶牙是牙齿缺失后常见的修复方式,无论是活动假牙、固定桥还是烤牙冠,都能在一定程度上恢复咀嚼功能和美观,随着使用时间的延长、口腔环境的变化或修复体本身的局限性,部分镶牙患者可能会面临需要更换为种植牙的情况,种植牙被誉为“人类的第三副牙齿”,因其独特的优势成为越来越多镶牙患者的首选修复方案,本文将详细解析镶牙后换种牙的原因、流程、优势及注意事项,帮助读者全面了解这一修复选择。
镶牙的局限性:为何需要更换为种植牙?
镶牙虽能解决缺牙问题,但不同类型的镶牙方式存在固有缺陷,长期使用后可能出现各种问题,进而促使患者考虑更换为种植牙。
活动假牙是依靠黏膜和剩余牙齿的卡环、基托固位,其异物感较强,可能影响发音和进食体验;长期佩戴易导致黏膜压痛、溃疡,且基牙(用于支撑假牙的天然牙)因承受额外负担,可能出现松动、龋坏甚至脱落;活动假牙的清洁死角多,易滋生细菌,引发牙周炎或口臭。
固定桥则需要将缺牙间隙两侧的健康牙齿磨小,作为桥基牙,再套上牙冠连接人工牙,这种“牺牲”健康牙的方式会削弱牙齿自身的强度,增加基牙劈裂、龋坏的风险;若基牙出现问题,整个固定桥需拆除重做,造成连锁损失;固定桥通过“搭桥”受力,无法模拟天然牙的独立咀嚼功能,长期可能导致牙槽骨因缺乏生理刺激而吸收,影响周围牙齿的稳定。
全口或半口活动义齿对于牙槽骨严重萎缩的患者,固位力差,易松动脱落,咀嚼效率低下,甚至可能加速牙槽骨的进一步吸收。

当镶牙出现基牙损伤、修复体损坏、牙周问题、骨量不足或功能美学需求提升时,更换为种植牙便成为更优选择,种植牙通过外科手术将纯钛种植体植入牙槽骨,作为人工牙根,再连接牙冠,其原理接近天然牙,能有效避免镶牙的诸多弊端。
镶牙后换种牙的完整流程
从镶牙到更换为种植牙,需经过系统化的评估和规范的流程,以确保修复效果和长期稳定性。
术前全面检查与评估
首先需进行口腔检查,包括口腔内剩余牙齿、牙龈状况、咬合关系等;通过CBCT(锥形束CT)三维成像,精确测量牙槽骨的厚度、高度及密度,判断骨量是否满足种植需求;同时需排查全身性疾病(如糖尿病、高血压、骨质疏松等)是否影响种植手术安全性,若患者曾有镶牙史,需检查原修复体与牙体的密合度,是否有继发龋或牙周炎症,必要时先拆除旧修复体并进行牙周治疗。
拔除残留牙根或修复体
若镶牙的基牙已松动、龋坏或无法保留,需先拔除残根;若为活动假牙,需拆除旧义齿;固定桥则需拆除牙冠,评估基牙是否可保留(若基牙健康,可暂不拔除,作为种植辅助;若已损坏,则需拔除),拔牙后需等待拔牙窝愈合(通常3-4个月),避免即刻种植时感染或骨量不足。

骨增量技术(若骨量不足)
长期缺牙或镶牙压迫会导致牙槽骨吸收,若骨量不足,需先进行骨增量手术,常见方式包括:
- 植骨术:在牙槽骨内植入自体骨(如髂骨)、异体骨或人工骨粉,引导骨组织再生;
- 上颌窦提升术:针对上颌后牙区骨量不足,通过上颌窦底黏膜提升,增加骨高度;
- 骨劈开术:对于牙槽骨宽度不足但高度尚可的情况,将牙槽骨纵向劈开,植入骨块并撑开骨间隙。
骨增量后需等待4-6个月,待新骨形成并稳定后再进行种植。
种植体植入手术
在局部麻醉下,切开牙龈,暴露牙槽骨,使用专用钻逐级备洞,将纯钛种植体(如Straumann、Nobel Biocare等品牌)植入预定位置,手术方式可分为:
- 即刻种植:适用于拔牙后无明显感染、骨量充足的情况,拔牙后立即植入种植体,缩短治疗周期;
- 延期种植:拔牙后等待骨愈合再种植,适用于骨量不足或感染风险较高的患者;
- 微创种植:利用数字化导板精准定位种植位置,减小手术切口,降低创伤。
种植体植入后需缝合牙龈,进入愈合期(通常3-6个月),期间种植体与牙槽骨发生“骨结合”,形成稳定的支撑结构。
基台连接与牙冠修复
骨结合完成后,通过二次手术切开牙龈,安装愈合基台,暴露种植体上端,约2周后牙龈成形,再更换最终基台,并取模制作牙冠,牙冠材料可选择全瓷(如氧化锆、玻璃陶瓷)、烤瓷或金属,全瓷冠因美观、生物相容性好,成为首选,牙冠试戴调整咬合后,用粘接剂固定或螺丝固位,完成最终修复。
镶牙与种植牙的核心优势对比
为更直观展示种植牙相较于传统镶牙的优势,可通过以下表格对比:

| 对比维度 | 传统镶牙(活动假牙/固定桥) | 种植牙 |
|---|---|---|
| 对邻牙影响 | 活动假牙:可能卡压邻牙;固定桥:需磨小健康邻牙 | 独立植入,不损伤邻牙,保留天然牙完整性 |
| 咀嚼功能 | 咀嚼效率约为天然牙的40%-60%,受力不均 | 咀嚼效率接近天然牙(90%以上),可承受正常咬合力 |
| 牙槽骨保护 | 缺乏生理刺激,易导致牙槽骨吸收(每年0.5-1mm) | 模拟天然牙根,刺激牙槽骨代谢,防止骨吸收 |
| 使用寿命 | 活动假牙:5-8年需更换;固定桥:10年左右可能损坏 | 维护得当可使用20年以上,部分终身使用 |
| 舒适度与美观 | 活动假牙:异物感强,可能影响发音;固定桥:美观度一般 | 无异物感,牙冠形态、色泽接近天然牙,美观自然 |
| 维护难度 | 活动假牙:需每日摘取清洁,易藏匿食物残渣;固定桥:清洁死角多 | 日常刷牙、使用牙线即可,维护方式与天然牙一致 |
换种牙的注意事项
- 选择正规医疗机构与专业医生:种植牙手术对技术和设备要求高,需选择有口腔种植资质的医院及经验丰富的医生,降低手术风险。
- 术后护理与复查:种植术后24小时内避免刷牙漱口,进食温凉软食;遵医嘱服用抗生素,保持口腔卫生;定期复查(术后1个月、3个月、6个月,之后每年1次),监测种植体周围骨结合情况及牙周健康。
- 避免不良习惯:戒烟(吸烟影响骨结合),避免用种植牙咬硬物(如坚果、螃蟹壳),防止种植体松动或牙冠损坏。
- 费用与心理准备:种植牙费用较高(单颗约1万-3万元),需提前了解医保报销政策(部分地区的植骨、种植体费用可部分报销);种植治疗周期长(3-6个月),需耐心配合各阶段治疗。
相关问答FAQs
Q1:镶牙后换种牙,一定要拔掉原来的牙齿吗?
A1:不一定,若镶牙的“固定桥”基牙健康且位置合适,部分情况下可保留基牙,将其作为种植体的辅助支持(如种植桥);若基牙已松动、龋坏或牙周炎严重,则需先拔除,待拔牙窝愈合后再种植,活动假牙可直接拆除,无需拔牙(除非有残留残根),具体方案需医生根据口腔检查结果制定。
Q2:种植牙能用多久?会比镶牙更容易出问题吗?
A2:种植牙的寿命与个人口腔卫生、维护习惯及医生技术密切相关,维护良好的情况下,种植体存活率可达95%以上,使用20年以上很常见,部分患者甚至终身使用,相较于镶牙,种植牙因不损伤邻牙、独立受力,长期出现基牙松动、修复体损坏的概率更低,但需注意预防种植体周围炎(类似牙周炎,由细菌感染引起),因此定期洁牙和复查至关重要。
