正畸治疗是通过施加外力引导牙齿移动,从而达到排列整齐、改善咬合的目的,但这一过程中,由于口腔环境发生变化,若护理不当,牙周炎的发生风险会显著增加,牙周炎是牙周组织的慢性炎症性疾病,正畸期间若出现牙龈红肿、出血、牙周袋形成、牙槽骨吸收等问题,往往提示牙周炎的发生,需及时干预以避免影响治疗效果和口腔健康。
正畸期间牙周炎的发生并非偶然,其与多方面因素密切相关,矫治器的存在增加了口腔清洁难度,传统托槽矫治器中的托槽、弓丝、结扎丝等附件会形成大量清洁死角,食物残渣和牙菌斑容易堆积;即使是无托槽隐形矫治器,虽然摘戴方便,但若患者未严格按医嘱佩戴或清洁不彻底,同样会导致菌斑滞留,牙菌斑是牙周炎的始动因子,其内的细菌及其代谢产物会刺激牙龈,引发牙龈炎,若进一步发展,则会破坏牙周膜、牙槽骨等深层组织,形成牙周炎,牙齿移动过程中的炎症反应也可能诱发牙周问题,正畸治疗中牙齿需要在牙槽骨中移动,牙槽骨会发生改建,这一过程可能伴随轻微的炎症反应,若患者本身口腔卫生较差,或存在易感因素(如吸烟、糖尿病、激素水平变化等),局部炎症可能失控,加重牙周组织破坏,部分患者对矫治器的异物感较强,可能因不适而减少口腔清洁频率,或清洁方法不当(如用力过猛损伤牙龈),也为牙周炎的发生创造了条件。

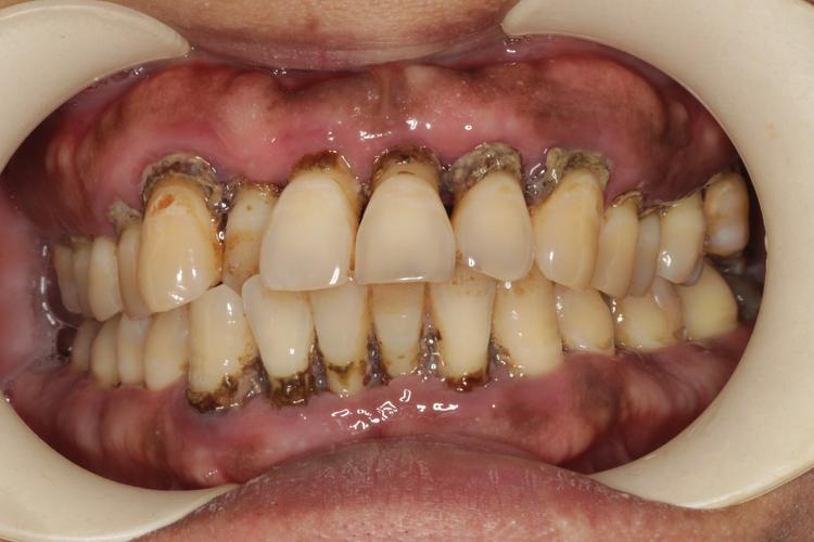
正畸期间牙周炎的临床表现与普通牙周炎既有相似之处,也有其特殊性,早期多表现为牙龈炎症状:刷牙或咬硬物时牙龈出血,牙龈颜色鲜红或暗红,质地松软、光亮,龈缘变厚,龈乳头圆钝,随着病情进展,会出现牙周袋形成,探诊深度超过3mm,探诊时出血甚至溢脓;牙槽骨吸收可通过X线片观察到,表现为牙槽嵴高度降低、骨密度减低;严重时可能出现牙龈退缩、牙根暴露,牙齿松动甚至移位,影响正畸牙移动的稳定性和效果,值得注意的是,正畸患者可能因牙齿移动导致牙龈形态暂时改变,出现“假性牙周袋”,需与真性牙周炎鉴别,这需要专业医生通过临床检查和影像学综合判断。
处理正畸期间的牙周炎,需遵循“先控制炎症,再继续矫正”的原则,多学科协作是关键,急性炎症期(如牙龈广泛出血、牙周袋溢脓、明显疼痛)应暂停正畸加力,优先进行牙周基础治疗:包括龈上洁治(洗牙)清除菌斑和牙石,龈下刮治和根面平整清除牙周袋内的牙结石和感染牙根表面,必要时配合局部药物治疗(如龈下冲洗、上药),对于炎症较重、伴有牙龈增生或牙周脓肿的患者,可能需进行牙周手术(如牙龈切除术、翻瓣术等)彻底清创,待牙周炎症得到控制(牙龈颜色恢复正常、探诊出血明显减少、牙周袋深度变浅)后,再与正畸医生沟通,调整治疗方案,如更换更易清洁的矫治器、减小矫治力、延长复诊间隔等,并在后续治疗中加强牙周维护,治疗过程中需定期监测牙周状况,一般每1-2个月复查一次牙周情况,根据复查结果动态调整正畸力度和牙周治疗措施。
预防正畸期间牙周炎,需医患双方共同努力,患者需强化口腔卫生意识:采用巴氏刷牙法每天至少刷牙两次,每次不少于3分钟,配合牙线、牙缝刷、冲牙器等工具彻底清洁矫治器周围;饮食上减少高糖、黏性食物摄入,避免食物残渣滞留;戒烟,因为吸烟会降低局部抵抗力,延缓牙周组织愈合,医生则需在治疗前进行全面牙周评估,对已有牙周炎的患者先完成牙周治疗再开始正畸;治疗中加强口腔卫生指导,个性化推荐清洁工具和方法;定期进行牙周检查,及时发现并处理早期炎症信号。
以下是相关问答FAQs:

Q1:正畸期间得了牙周炎,还能继续矫正牙齿吗?
A1:能否继续矫正需根据牙周炎的严重程度和炎症控制情况决定,若处于急性炎症期(如广泛出血、深牙周袋、明显松动),需暂停正畸,先进行牙周治疗控制炎症;待炎症缓解、牙周状况稳定后(通常需1-3个月),可在医生严密监测下调整矫正方案(如减小矫治力、暂停加力)继续治疗,若牙周炎较轻且早期发现,通过加强清洁和局部治疗,可能无需暂停矫正,但需缩短复诊间隔,密切监控牙周变化,擅自继续矫正可能加重牙周破坏,导致牙齿松动甚至脱落。
Q2:正畸结束后,牙周炎会自己恢复吗?
A2:不会,正畸结束后,若牙周炎未得到系统治疗,牙周组织的破坏(如牙槽骨吸收、牙龈退缩)是不可逆的,不会自行恢复,正畸拆除矫治器后,需进行全面的牙周评估和维护治疗,包括再次牙周洁治、刮治,必要时进行牙周手术修复缺损,并坚持长期口腔卫生维护(如定期洗牙、正确使用牙线),正畸后牙齿排列整齐,有利于清洁,但仍需保持良好习惯,否则牙周炎仍可能复发或加重。

