牙周炎是口腔科常见疾病,主要表现为牙龈炎症、牙周袋形成、牙槽骨吸收及牙齿松动,其核心病因是牙菌斑和牙结石长期堆积导致的牙周组织感染,而牙齿错颌畸形(如拥挤、排列不齐、深覆合等)会加剧口腔清洁难度,形成菌斑滞留区,进一步诱发或加重牙周炎,近年来,随着正畸技术的发展,矫正牙齿在改善牙周炎方面的作用逐渐被认可,二者通过协同作用可显著提升口腔健康水平。
牙齿错颌畸形与牙周炎的恶性循环
牙齿错颌畸形是牙周炎的重要危险因素之一,当牙齿排列拥挤、扭转或重叠时,牙邻面、牙龈沟等区域易成为清洁盲区,食物残渣和菌斑无法被牙刷、牙线有效清除,长期堆积会刺激牙龈,引发牙龈炎(牙周炎的早期阶段),若未及时干预,炎症会向深层牙周组织扩散,破坏牙周韧带和牙槽骨,导致牙周袋加深、牙齿松动甚至脱落。

牙周炎引起的牙槽骨吸收会使牙齿支持组织减少,进一步加剧牙齿移位和错颌畸形,形成“错颌畸形→菌斑堆积→牙周炎→牙槽骨吸收→牙齿移位→加重错颌”的恶性循环,临床数据显示,中度以上错颌畸形患者牙周炎的患病率是正常排列牙齿的2-3倍,且病情进展更快。
矫正牙齿改善牙周炎的核心机制
矫正牙齿(正畸治疗)通过移动牙齿位置、调整咬合关系,从根本上打破上述恶性循环,其改善牙周炎的机制可归纳为以下四方面:
消除清洁死角,减少菌斑堆积
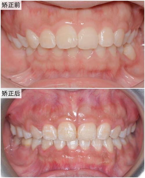
正畸治疗的核心目标之一是排齐牙齿,解除拥挤和重叠,当牙齿排列整齐后,牙面与牙面之间的间隙恢复正常,牙刷、牙线、牙缝刷等清洁工具可轻松进入所有区域,彻底清除菌斑和食物残渣,研究显示,正畸治疗后6个月,患者的菌斑指数(PLI)和牙龈指数(GI)较治疗前显著降低(PLI平均下降1.2-1.5,GI平均下降0.8-1.2),牙龈出血、红肿等炎症症状明显缓解。
调整咬合力,减轻牙周创伤
错颌畸形常伴随咬合异常(如深覆合、个别牙齿早接触、咬合创伤等),导致局部牙周组织长期承受过大或异常咬合力,加速牙槽骨吸收,正畸治疗可通过移动牙齿,建立均匀、稳定的咬合关系,使咬合力沿牙齿长轴均匀分布,避免局部牙周组织受到创伤性损伤,对于“深覆合”患者,通过压低上前牙或伸长后牙,可改善前牙区咬合过紧的状况,减少前牙牙周组织的压力。

促进牙周组织改建与修复
正畸过程中,牙齿在牙槽骨中缓慢移动(通常每月移动1mm左右),会刺激牙槽骨发生生理性改建:受压侧骨组织吸收,牵引侧骨组织新生,这种改建过程不仅有利于牙齿排齐,还能促进受损的牙周组织修复,对于轻度牙槽骨吸收的患者,正畸治疗可引导牙槽骨再生,恢复牙周支持能力;对于中度吸收患者,通过调整牙齿位置,可改善牙周袋深度,减少炎症滞留区。
改善牙龈形态,增强牙龈抵抗力
牙齿错颌畸形常导致牙龈形态异常(如牙龈增生、退缩等),降低牙龈对细菌的抵抗力,正畸治疗通过排齐牙齿,使牙龈组织恢复正常生理形态,牙龈沟深度趋于正常(3mm),牙龈上皮的附着能力增强,从而有效抵御细菌侵袭,临床观察发现,正畸治疗后,患者的牙周袋深度(PD)平均减少1.5-2.5mm,牙龈退缩比例降低30%以上。
正畸治疗中牙周炎的管理要点
虽然矫正牙齿能改善牙周炎,但需严格把握适应症和治疗时机,否则可能加重病情,以下是关键管理要点:
正畸前牙周准备:炎症控制是前提
并非所有牙周炎患者都能直接接受正畸治疗,治疗前需进行全面牙周检查,包括牙周探诊、X线片(评估牙槽骨吸收情况)、菌斑染色等,并完成牙周基础治疗:

- 洁治(洗牙):清除龈上牙结石和菌斑;
- 龈下刮治和根面平整:清除龈下牙结石和病变牙骨质,消除炎症刺激;
- 牙周手术:对于深牙周袋(≥5mm)或骨缺损严重者,需行翻瓣术、引导性组织再生术等,促进牙周组织再生。
待牙周炎症得到控制(牙龈无出血、牙周袋深度≤3mm、牙槽骨吸收稳定)后,方可开始正畸治疗,通常需等待3-6个月。
正畸中的牙周维护:定期复查与清洁指导
正畸治疗周期较长(通常1.3-3年),期间需加强牙周维护:
- 定期牙周复查:每3-6个月复查1次,监测牙周指标(PLI、GI、PD),及时发现并处理牙龈炎;
- 正畸专用清洁工具:使用正畸牙刷(如V形刷头)、牙缝刷、水牙线、冲牙器等,清洁托槽周围、弓丝下方等死角;
- 避免刺激牙龈:调整饮食,减少黏性食物(如口香糖、软糖),防止食物嵌塞;若托槽或弓丝刺激牙龈,及时复诊调整。
正畸后的牙周巩固:防止复发
拆除矫正器后,需佩戴保持器(通常至少2年),以维持牙齿位置稳定,继续坚持口腔清洁,每天使用牙线和牙缝刷,每3-6个月进行1次牙周维护,定期复查牙周状况,防止牙周炎复发。
矫正牙齿改善牙周炎的关键效果对比
以下表格总结了正畸治疗前后牙周主要指标的变化及临床意义:
| 指标 | 正畸前(典型值) | 正畸后(改善值) | 临床意义 |
|---|---|---|---|
| 菌斑指数(PLI) | 8-2.5(中高度) | 8-1.2(轻度) | 菌斑堆积减少,牙龈炎症基础减轻 |
| 牙龈指数(GI) | 0-3.0(炎症明显) | 5-1.0(基本健康) | 牙龈红肿、出血症状显著缓解 |
| 牙周袋深度(PD) | 4-6mm(中度牙周袋) | 2-3mm(浅牙周袋) | 炎症消退,牙周袋变浅,易清洁 |
| 牙槽骨吸收情况 | 吸收根长1/3-1/2 | 吸收范围稳定或减少 | 牙周支持组织改善,牙齿松动度降低 |
矫正牙齿对牙周炎患者的长期获益
除短期症状改善外,矫正牙齿对牙周炎患者的长期口腔健康具有重要意义:
- 降低牙周炎复发风险:牙齿排列整齐后,口腔清洁效率提升,菌斑堆积减少,牙周炎复发率降低50%以上;
- 保护牙槽骨,延长牙齿寿命:通过调整咬合和促进牙槽骨改建,延缓牙槽骨吸收速度,避免牙齿过早脱落;
- 提升全身健康:牙周炎与糖尿病、心血管疾病等全身疾病相关,控制牙周炎有助于降低全身疾病风险。
相关问答FAQs
Q1:牙周炎患者能不能直接做矫正?需要先治疗牙周炎吗?
A:牙周炎患者不能直接做矫正,必须先接受系统牙周治疗,正畸前需控制牙周炎症(通过洁治、刮治等),待牙龈出血、牙周袋深度等指标稳定后(通常3-6个月),才能开始正畸,若未控制炎症就强行矫正,可能导致牙槽骨吸收加重、牙齿松动甚至脱落,反而损害牙周健康。
Q2:矫正过程中如何预防牙周炎复发?
A:矫正过程中需加强口腔清洁:①使用正畸专用牙刷(如U形刷或V形刷)清洁托槽周围;②每天至少使用1次牙缝刷或水牙线,清除邻面菌斑;③避免食用黏性食物,减少食物嵌塞;④每3-6个月复查1次牙周,及时处理牙龈炎或牙周袋加深问题,需遵医嘱佩戴橡皮圈、调整咬合,避免咬合力异常损伤牙周组织。
