种植牙作为一种理想的牙齿修复方式,其成功与否与术前精准的口腔状况评估密切相关,而影像检查是评估的核心环节,X光和CT(计算机断层扫描)是种植牙前最常用的两种影像技术,它们各有优势,互为补充,为医生制定种植方案提供关键依据。
种植牙前的影像检查:为何必不可少?
种植牙的本质是将人工种植体植入牙槽骨内,模拟天然牙根的功能,因此牙槽骨的“质量”与“数量”直接决定种植体的稳定性与长期成功率,影像检查的目的在于:

- 评估骨量:测量牙槽骨的高度、宽度、厚度,判断是否满足种植体植入的基本要求(通常种植体长度需8-12mm,直径3.5-5.0mm,骨高度需比种植体长2-3mm,宽度需比种植体直径多1-2mm);
- 规避风险:识别重要解剖结构,如下颌神经管、上颌窦、颏孔等,避免种植体损伤神经导致麻木或穿透上颌窦引发感染;
- 设计方案:确定种植体的最佳植入位置、角度、深度,以及是否需要植骨、上颌窦提升等附加手术;
- 判断骨密度:骨密度影响种植体与骨组织的“骨结合”速度,骨密度过低可能需延长愈合时间或选择特殊种植体。
X光检查:种植牙初筛的“基础工具”
X光是口腔检查中最常用的影像技术,具有辐射低、成本低、操作便捷的优点,在种植牙前主要用于初步评估。
常见类型与成像原理
- 根尖片(小牙片):聚焦单颗牙齿,分辨率高,可清晰显示牙根、牙槽骨骨小梁结构及根尖周病变,种植牙前常用于测量缺牙区牙槽骨的垂直高度(即牙槽嵴顶到重要解剖结构的距离,如下颌神经管顶部的距离)。
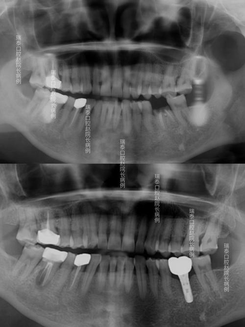
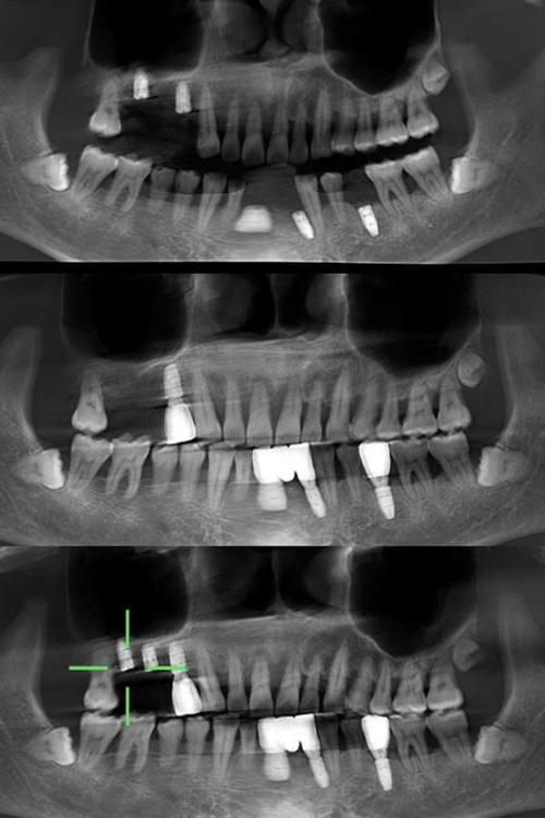
- 曲面断层片(全景片,OPG):可一次性显示全口牙齿、牙槽骨、颌骨、上颌窦、下颌神经管等结构,是种植牙前最常用的X光检查,通过曲面断层片,医生可初步判断缺牙区牙槽骨的总体高度、宽度,以及下颌神经管的走行位置(通常位于下颌骨内,距离牙槽嵴顶10-15mm)。
优势与局限性
- 优势:辐射剂量小(全景片约0.05mSv,相当于1天自然本底辐射),成本低(约100-200元),能快速提供全口颌骨的宏观信息,适合初步筛查。
- 局限性:二维成像,存在影像重叠问题,牙槽骨的宽度在全景片上可能被放大或缩小,实际测量值存在误差;下颌神经管、上颌窦底的边界可能因重叠显示不清,无法精确判断种植体与这些结构的距离;对于骨量严重不足或复杂病例,全景片难以提供足够精细的三维数据。
CT检查:种植牙精准的“三维导航”
当X光检查提示骨量不足、解剖结构复杂(如下颌神经管位置靠近牙槽嵴、上颌窦低垂)或需进行复杂种植(如全口种植、穿颧种植)时,CT检查(尤其是口腔专用锥形束CT,CBCT)是必不可少的一步。
成像原理与特点
CBCT是通过锥形X线束围绕患者头部旋转扫描,通过计算机重建生成三维影像,具有以下特点:
- 三维可视化:可任意角度旋转、切割图像,直观显示牙槽骨的立体形态,精确测量骨高度、宽度、厚度(误差可控制在0.1mm以内);
- 高分辨率:能清晰分辨下颌神经管、上颌窦底、颏孔等重要解剖结构的位置、边界及与牙槽嵴的距离;
- 骨密度评估:通过CT值可量化骨密度(Hounsfield单位,HU),区分骨皮质(致密骨,HU>1000)和骨松质(疏松骨,HU=100-500),帮助选择合适的种植体(如骨密度低时选择表面粗糙的种植体以增强初期稳定性)。
临床应用场景
- 复杂病例评估:如后牙区骨量不足,需判断是否需要植骨或上颌窦提升术;上颌窦底与牙槽嵴距离小于5mm时,需设计上颌窦开窗植骨或内提升;
- 规避神经血管损伤:对于下颌后牙区种植,CBCT可精确标记下颌神经管的走行,确保种植体尖端距离神经管至少1-2mm;
- 数字化种植导板设计:基于CBCT数据,结合口内扫描模型,可制作3D打印种植导板,引导种植体精准植入预定位置,误差小于0.5mm,尤其适合全口无牙颌种植或即刻种植病例。
X光与CT的选择:如何根据病情合理搭配?
临床上并非所有种植病例都需要CT检查,需结合患者具体情况选择:

| 检查类型 | 适用场景 | 不适用场景 |
|---|---|---|
| X光(全景片+根尖片) | 单颗/前牙种植,初步评估骨量充足;无严重颌骨病变;经济条件有限者 | 后牙区骨量不足;需上颌窦提升/植骨;下颌神经管位置异常;全口种植 |
| CT(CBCT) | 后牙区复杂种植;骨量不足需植骨;上颌窦/下颌神经管解剖异常;全口无牙颌种植;数字化导板种植 | 简单单颗种植,全景片已明确骨量充足;孕妇(需权衡辐射风险) |
选择原则:以“最小辐射、精准诊断”为核心,简单病例通过X光即可满足需求,复杂病例必须依赖CT的三维数据,避免因信息不足导致种植失败或并发症。
FAQs
Q1:做种植牙检查是不是一定要拍CT?X光不够吗?
A:并非所有情况都需要拍CT,对于单颗前牙或前牙区种植,若患者牙槽骨条件良好(无骨量不足、无解剖结构异常),通过全景片+根尖片即可初步评估,此时X光已足够,但后牙区(如下颌磨牙区)因靠近下颌神经管,或上颌后牙区因上颌窦位置较低,X光可能存在影像重叠,无法精确测量骨量和规避风险,此时必须拍CBCT,以确保种植安全。
Q2:X光和CT辐射大吗?做检查对身体有害吗?
A:两种检查的辐射剂量均在安全范围内,普通全景片辐射剂量约0.05mSv,相当于乘坐飞机从北京到三亚往返一次所受的宇宙射线辐射;CBCT辐射剂量根据扫描范围不同,约为0.03-0.3mSv,相当于1-10天自然本底辐射,种植牙前的影像检查是“必要医疗行为”,其获益(避免种植失败、神经损伤等)远大于微小辐射风险,无需过度担心,医生也会根据“辐射防护最优化”原则,尽量选择低剂量扫描模式。

