种植牙的“牙桩”,在专业术语中通常指的是种植体(Implant Fixture),它是整个种植牙系统中最核心、最基础的部分,直接植入到牙槽骨中,充当人工牙根的角色。
以下是种植体(牙桩)的主要特征和样子:

-
形状:
- 螺钉状: 这是最常见的形状,类似于一个微型的、精密的螺丝钉。
- 圆柱状/锥状: 有些种植体主体部分是圆柱形或带有一定锥度(顶部或底部稍细)。
- 螺纹: 这是种植体最关键的特征之一,表面有精细的螺纹,这些螺纹:
- 提供初始稳定性: 植入时,螺纹能咬合骨组织,防止种植体松动。
- 促进骨结合: 螺纹增加了表面积,为骨细胞附着和生长提供了更多位点,最终实现种植体与牙槽骨牢固的生物学结合(骨结合)。
- 分散咬合力: 螺纹设计有助于将咀嚼力均匀传递到周围的骨组织上。
-
材质:
- 医用纯钛(Grade 4 或 5)或钛合金(如 Ti-6Al-4V): 这是目前种植体最主流、最成熟的材料。
- 生物相容性极佳: 人体对钛及其合金几乎不产生排异反应。
- 强度高: 能承受强大的咀嚼力。
- 耐腐蚀: 在口腔环境中非常稳定。
- 钛锆合金: 近年来兴起的一种新型材料,强度更高,弹性模量更接近人骨,可能减少应力遮挡效应,在某些情况下(如骨质条件不佳时)是不错的选择。
- 氧化锆陶瓷: 少数品牌提供全陶瓷种植体,主要用于对金属过敏或追求更美观效果的前牙区,但其长期临床数据和强度挑战性仍不如钛合金主流。
- 医用纯钛(Grade 4 或 5)或钛合金(如 Ti-6Al-4V): 这是目前种植体最主流、最成熟的材料。
-
尺寸:
- 直径: 种植体有不同的直径,通常在 5mm 到 6.0mm 甚至更宽。
- 前牙区: 常用较细的直径(如 3.5mm - 4.0mm),因为前牙区空间相对较小,且对美观要求高。
- 后牙区: 常用较粗的直径(如 4.0mm - 5.0mm 或以上),因为后牙需要承受更大的咀嚼力,且牙槽骨通常更宽厚。
- 长度: 种植体长度通常在 8mm 到 15mm 或更长。
- 长度选择: 取决于牙槽骨的高度,骨量充足时可用较长种植体增加稳定性;骨量不足时可能需要选择较短种植体或进行骨增量手术,足够的长度是保证初期稳定性和长期成功率的关键因素之一。
- 直径: 种植体有不同的直径,通常在 5mm 到 6.0mm 甚至更宽。
-
连接方式(与基台连接的部分):
(图片来源网络,侵删)- 这是种植体顶端的结构,用于连接基台(连接种植体和牙冠的中间部件)。
- 内连接: 目前的主流设计,基台插入种植体内部的连接结构中,优点是抗旋转性好,连接更稳固,封闭性更好(减少微渗漏),对周围牙龈组织刺激小,美学效果更佳。
- 外连接: 较传统的设计,基台套在种植体顶部的外部结构上,优点是结构相对简单,但抗旋转性稍差,连接处可能有微间隙,长期使用可能对牙龈边缘有一定影响。
- 平台转移: 一种重要的设计理念(常见于内连接种植体),基台的直径小于种植体平台的直径,使得基台-种植体连接处的边缘远离种植体-骨结合界面,有助于减少骨吸收,保护边缘骨水平。
-
表面处理:
- 种植体表面并非光滑,而是经过特殊处理以促进骨结合。
- 喷砂酸蚀: 最常用和成熟的技术,通过喷砂(喷洒氧化铝等颗粒)形成粗糙表面,再用酸蚀(如盐酸、硫酸)进一步形成微米级的孔洞和凹坑,这种微观结构极大地增加了表面积,为骨细胞附着、增殖和分化提供了理想的“脚手架”。
- 阳极氧化: 在钛表面形成一层多孔的氧化钛层,增加表面粗糙度和生物活性。
- 羟基磷灰石涂层: 在钛表面喷涂一层与人骨矿物质成分相似的羟基磷灰石涂层,能更快速地引导骨组织生长,缩短骨结合时间,但涂层长期稳定性是研究重点。
- 其他: 如钛浆喷涂、SLA表面(大颗粒喷砂+酸蚀)等。
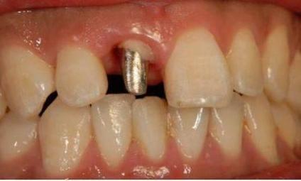
牙桩”(种植体)的样子:
- 外观: 一个由钛合金制成的、带有精细螺纹的螺钉状或圆柱/锥状小部件。
- 大小: 直径通常在 5mm - 6.0mm,长度在 8mm - 15mm 左右(根据具体位置和骨量选择)。
- 关键特征:
- 表面有螺纹用于固位和骨结合。
- 顶端有特定的连接结构(内连接或外连接)用于安装基台。
- 表面经过特殊处理(如喷砂酸蚀)形成微观粗糙结构,促进骨结合。
- 颜色: 通常是银灰色(钛金属本色)。
重要提示:
- “牙桩”只是整个种植牙系统的一部分,在种植体(牙桩)成功植入牙槽骨并完成骨结合(通常需要3-6个月)后,医生会通过基台将其与最终修复的牙冠连接起来。
- 种植体的设计、材质、表面处理技术等都非常精密和多样化,不同品牌、不同型号的种植体在外观细节上会有差异,但核心的螺钉状、螺纹、生物相容性材质和促进骨结合的表面处理是共通的。
当你看到医生展示的种植体模型或图片时,它就是这样一个看起来像一颗精密螺丝钉的银灰色小部件,但它却是支撑你新牙齿、恢复咀嚼功能的关键基础。

