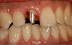
种植牙的“牙桩”,在专业术语中通常指的是种植体(ImplantFixture),它是整个种植牙系统中最核心、最基础的部分,直接植入到牙槽骨中,充当人工牙根的角色,以下是种植体(牙桩)的主要特征和样子:形状:螺钉状:这是最常见的形状,类似...