重叠牙齿矫正是一个需要耐心和专业指导的长期过程,旨在将拥挤、错位的牙齿移动到正确的位置,改善咬合、功能和美观,以下是重叠牙齿矫正的详细过程:

🦷 核心原理
牙齿矫正的核心是施加持续、轻柔的生物力,利用牙齿和其周围牙槽骨的改建能力,当牙齿受到适当的力量时,牙槽骨一侧被吸收(压力侧),另一侧被增生(张力侧),牙齿就会在牙槽骨中缓慢移动到新的位置。
📋 矫正过程主要阶段
🩺 1. 初诊检查与评估
- 口腔检查: 医生会全面检查你的口腔状况,包括牙齿排列、咬合关系、口腔卫生、牙周健康状况、有无龋齿、有无颞下颌关节问题等。
- 影像学检查:
- 全景片(曲面断层片): 观察全口牙齿、牙根形态、牙槽骨情况、恒牙胚发育情况(青少年)、有无埋伏牙等。
- 头颅侧位片: 进行头影测量分析,评估骨骼关系(上下颌骨位置、角度)、牙齿与骨骼的关系、软组织轮廓(面部美观),制定精确的矫治计划。
- CBCT(锥形束CT): 在复杂病例(如埋伏牙、骨量不足、颞下颌关节问题)中可能需要,提供三维立体影像。
- 模型分析: 取上下颌牙齿的印模,制作石膏模型,用于观察牙齿排列、测量拥挤度、分析咬合关系、预测矫治效果和制作保持器。
- 口内/面部照片: 记录矫治前的面部微笑、侧面轮廓及牙齿情况,用于对比矫治效果。
- 讨论目标与期望: 医生会与你充分沟通你的主诉(最不满意的地方)和期望达到的效果,结合专业评估,初步判断矫正的可行性、大致方案和所需时间。
📐 2. 诊断与矫治计划制定
- 综合分析: 医生结合所有检查结果(临床、影像、模型、照片),分析牙齿拥挤/重叠的原因(骨量不足、牙齿过大、不良习惯等)、咬合问题、骨骼关系、软组织情况。
- 确定矫治目标: 明确最终要达到的理想标准(如牙齿排齐、咬合稳定、面部协调)。
- 制定矫治方案:
- 选择矫治器类型:
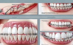
- 传统金属托槽矫正: 最常用,性价比高,力量控制精确。
- 陶瓷托槽矫正: 托槽颜色接近牙齿,相对美观。
- 自锁托槽矫正: 摩擦力小,可能缩短治疗时间,复诊间隔可延长,口腔卫生相对容易维护。
- 隐形矫正(如隐适美、时代天使): 使用透明可摘戴的牙套,美观舒适,可自行摘戴,便于清洁,但对复杂病例效果可能受限,需高度配合。
- 舌侧矫正: 托槽粘在牙齿内侧,完全隐形,但技术要求高,费用昂贵,口腔初期不适感明显,清洁难度大。
- 制定治疗步骤: 包括是否需要拔牙(为排齐牙齿创造空间)、是否需要扩展牙弓、是否需要辅助装置(如扩弓器、种植钉、牵引钩等)、牙齿移动的顺序和计划。
- 预估治疗时间: 通常在1.5-3年左右,具体取决于拥挤程度、方案复杂度、患者配合度等。
- 费用预算: 根据选择的矫治器类型和方案复杂度,告知大致费用及分期支付方式。
- 签署知情同意书: 确认理解治疗方案、风险、注意事项及费用。
- 选择矫治器类型:
🛠 3. 矫治前准备
- 口腔卫生维护: 开始进行专业的洁牙(洗牙),确保牙龈健康,矫治期间口腔卫生至关重要,否则容易导致牙龈炎、龋齿、脱矿(白斑)。
- 治疗潜在口腔问题: 如有龋齿需要先补牙,牙周病需要先进行牙周治疗(洗牙、刮治),待口腔健康稳定后再开始正畸。
- 拔牙(如需要): 如果计划中包含拔牙(通常拔除前磨牙,如4号或5号牙),会在矫治开始前完成拔牙手术,让拔牙窝有初步愈合的时间。
- 其他辅助治疗: 如需要,可能先进行一些简单的扩弓或推磨牙向远中的装置佩戴,为后续排齐创造空间。
⚙ 4. 主动矫治阶段
- 粘接矫治器: 这是正式开始矫正的标志,医生会在你的牙齿表面粘接托槽(传统、陶瓷、自锁、舌侧)或在牙齿上粘接附件(用于隐形矫正的附件辅助牙齿精确移动)。
- 弓丝安装与加力:
- 医生会安装第一根相对柔软的初始弓丝(如镍钛丝),放入托槽槽沟内,这根弓丝开始轻柔地作用在拥挤的牙齿上,引导它们向正确的位置移动。
- 复诊调整: 通常每4-8周复诊一次(具体间隔取决于矫治器类型和牙齿移动速度),每次复诊,医生会:
- 检查牙齿移动情况和口腔卫生。
- 更换更粗、更硬或有特殊形态的弓丝,施加更强的力量,继续排齐、整平牙弓、调整咬合关系。
- 更换橡皮圈(牵引圈),用于调整上下颌牙齿的咬合关系(如关闭拔牙间隙、调整中线、纠正深覆合/深覆盖)。
- 调整或更换其他辅助装置(如扩弓器、种植钉)。
- 对于隐形矫正,更换到下一副新的牙套。
- 牙齿移动过程:
- 这是一个缓慢而持续的过程,牙齿在骨改建中移动,通常需要几周到几个月才能达到预期的阶段性目标。
- 在牙齿移动过程中,尤其是加力后的前几天,可能会感到酸痛或不适(类似牙疼),这是正常现象,通常几天内会缓解,可以服用医生建议的止痛药(如布洛芬),吃软食,避免啃咬硬物。
- 口腔卫生是关键: 矫治器周围容易藏污纳垢,必须每天至少刷牙两次,使用牙线(或正畸专用牙线/冲牙器)清洁托槽周围和牙缝,否则极易导致牙龈红肿出血、龋齿、牙面脱矿(形成白斑)。
- 完成主要目标: 经过一系列的弓丝更换和调整,牙齿逐渐被排齐,牙弓形态得到整平,咬合关系开始建立,这个阶段可能持续1-2年或更久。
🎯 5. 精细调整与保持阶段
- 精细调整: 当牙齿基本排齐、咬合关系初步建立后,进入精细调整阶段,医生会使用更精细的弓丝和小的橡皮圈进行微调,使牙齿位置更精确、咬合更稳定、达到最佳的尖窝相对关系,并改善面部微笑曲线,这个阶段也需要几个月时间。
- 拆除矫治器: 当医生确认所有矫治目标达成后,会拆除托槽或停止佩戴隐形牙套。
- 保持器阶段: 这是整个矫正过程中至关重要且长期的一步!
- 为什么需要保持器? 牙齿在新的位置上还没有完全稳定,周围的牙龈纤维和牙槽骨需要时间重新改建和巩固,牙齿有回到原来位置(复发)的趋势。
- 保持器类型:
- 活动保持器(Hawley保持器): 最常见,由塑料基托和钢丝组成,覆盖上颌或下颌牙齿,可摘戴,便于清洁。
- 透明压膜保持器: 类似隐形牙套,覆盖整个牙齿表面,美观度高,可摘戴。
- 固定保持器: 一根细钢丝粘接在下颌前牙的舌侧(或上颌),提供长期稳定的保持,通常与活动保持器联合使用。
- 佩戴时间: 通常要求全天佩戴(吃饭、刷牙时摘下)至少6-12个月,之后逐渐过渡到仅夜间佩戴。建议终身夜间佩戴,以最大程度防止复发,具体佩戴时间遵医嘱。
- 定期复查: 拆除矫治器后,医生会安排定期复查(如拆除后1个月、3个月、6个月、1年,之后每年一次),评估牙齿稳定情况和保持器状态,必要时调整保持器佩戴方案。
📌 重要注意事项
- 高度配合: 成功矫正50%靠医生,50%靠患者,必须严格遵守医嘱,按时复诊,正确佩戴橡皮圈等牵引装置,保持良好的口腔卫生,避免啃咬硬物(如坚果、骨头、螃蟹壳)、粘性食物(如口香糖、软糖),避免用牙齿开瓶盖等。
- 口腔卫生: 矫治期间清洁难度大,但至关重要!务必掌握正确的刷牙和使用牙线/冲牙器的方法,每次复诊医生都会检查口腔卫生,如果卫生差,可能暂停加力或提前结束治疗。
- 饮食注意: 避免过硬、过粘、过大的食物,防止托槽脱落、弓丝变形或损坏矫治器,隐形矫正时也要注意避免染色食物(如咖啡、酱油)。
- 疼痛管理: 加力后几天的不适是正常的,可服用止痛药,吃软食,避免患侧咀嚼。
- 沟通: 如有任何疑问、不适(如托槽脱落、弓丝刺嘴、剧烈疼痛、口腔卫生问题严重等),务必及时联系你的正畸医生,不要自行处理。
- 时间与耐心: 矫正是一个漫长的过程,通常需要1.5-3年甚至更久,保持器阶段也是长期甚至终身的,要有足够的耐心和信心。
- 选择专业医生: 牙齿矫正是一项专业性极强的医疗行为,务必选择有资质、经验丰富的正畸专科医生进行诊治。
重叠牙齿矫正是一个系统工程,从初诊评估到制定方案,再到漫长的主动矫治和长期的保持,每一步都需要专业的指导和患者的高度配合,虽然过程可能有些辛苦,但最终获得的整齐牙齿、健康的咬合关系、自信的笑容以及口腔功能的改善,都是值得的,如果你或家人有牙齿重叠的问题,建议尽早咨询专业的正畸医生,了解最适合你的矫正方案。🌟
