拜博口腔网

  • 微创拔牙对种牙好吗

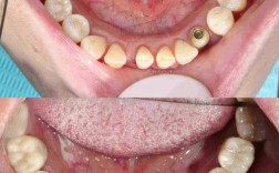
    微创拔牙对种牙好吗

    是的,微创拔牙技术对后续种植牙(种牙)是非常有益的,通常被认为是更理想的选择,它通过减少拔牙过程中的创伤,为种植牙创造了更有利的条件,以下是微创拔牙对种牙的主要好处:最大程度保留牙槽骨:核心优势:这是对种牙最重要的好处,传统拔牙(尤其是...

    2025-12-06
    15 0 0
  • 保留牙根种植牙,比传统种植好在哪?

    保留牙根种植牙,比传统种植好在哪?

    “保留牙根种植牙”这个说法通常指的是在牙齿的牙根仍然健康或经过处理后可以保留的情况下,直接利用这个牙根作为基础,在上面进行修复(如牙冠)或结合种植体进行修复,这其实是一个比较笼统的概念,在临床上主要有以下几种具体形式和情况:🦷核心概念:利...

    2025-11-27
    127 0 0
  • 1 / 1
  • 1