“保留牙根种植牙”这个说法通常指的是在牙齿的牙根仍然健康或经过处理后可以保留的情况下,直接利用这个牙根作为基础,在上面进行修复(如牙冠)或结合种植体进行修复,这其实是一个比较笼统的概念,在临床上主要有以下几种具体形式和情况:
🦷 核心概念:利用现有牙根替代拔牙
传统种植牙通常需要先拔除病变的牙齿(包括牙根),等待牙槽骨愈合后(3-6个月),再植入种植体,而“保留牙根种植牙”的核心在于避免拔除健康的或可挽救的牙根,从而:

(图片来源网络,侵删)
- 减少手术创伤:避免了拔牙手术。
- 缩短治疗时间:省去了拔牙后等待愈合的时间,可能实现即刻修复。
- 保留更多牙槽骨:保留在牙槽骨内的牙根可以维持骨量,防止牙槽骨吸收。
- 感觉更自然:利用自身牙根感觉可能比单纯种植体更接近天然牙。
🛠 主要形式和技术
-
根管治疗后桩核冠修复(桩核冠)
- 最常见的形式:当牙齿的牙冠部分大面积缺损或龋坏,但牙根(尤其是牙根长度、粗壮度、牙周状况良好)可以通过根管治疗清除感染、保存下来时。
- 做法:
- 进行完善的根管治疗,彻底清除牙髓和根管内的感染物质。
- 在根管内打入一个“桩”(通常为金属桩或纤维桩),为牙冠提供固位支撑。
- 在桩的基础上制作一个牙冠(全瓷冠、烤瓷冠等)来恢复牙齿外形和功能。
- 是否属于“种植”? 这不是种植牙,它属于传统的牙体牙髓修复范畴,利用的是自身牙根,但它是保留牙根进行修复的典型例子。
-
即刻种植(在拔牙窝内即刻植入种植体)
- 概念:在拔除牙齿的同时,立即在拔牙窝内植入种植体。
- 与“保留牙根”的关系:虽然名字叫“即刻种植”,但它仍然是拔除了牙根,只是在拔牙后立刻植入种植体,缩短了无牙期。它不属于“保留牙根”的范畴,而是拔牙后种植的一种加速方式。
-
根尖屏障术/根尖倒充填术(特定情况下的保留)
- 适用情况:对于年轻恒牙的根尖孔未闭合,或者根尖有较大囊肿/肉芽肿但牙根条件尚可时,通过根管治疗结合根尖屏障术(用MTA等材料封闭根尖孔)或根尖倒充填术(切除根尖感染部分并倒充填),可以保留牙根,避免拔牙,之后同样可以桩核冠修复。
- 是否属于“种植”? 不是,属于复杂的根管治疗和牙髓外科范畴。
-
结合种植体的特殊修复(较复杂,较少见)
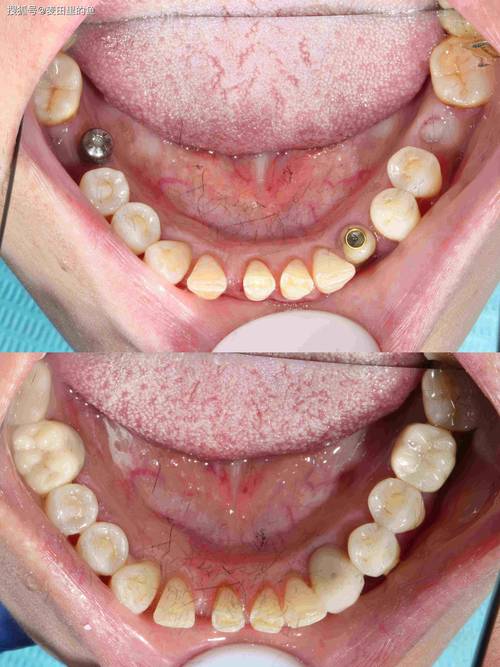
(图片来源网络,侵删)- 概念:在某些特殊情况下,医生可能会尝试将种植体与保留的牙根进行连接修复,但这非常复杂,技术要求极高,适应症非常严格,并非常规选择。
- 例子:对于多根牙(如磨牙),如果其中一个牙根严重破坏无法保留,而另一个牙根健康,医生可能会尝试拔除破坏的牙根,保留健康的牙根,并在拔牙窝内植入种植体,然后将种植体和保留的牙根连接起来共同支持一个牙冠,这需要非常精确的生物力学设计和修复技术。
- 风险与挑战:连接处容易成为细菌滞留点,增加失败风险;生物力学复杂;对医生技术和经验要求极高。在临床实践中应用非常有限,需要极其严格的病例筛选。
📍 总结与关键点
- “保留牙根种植牙”最常见、最成熟的形式是“根管治疗后桩核冠修复”,它利用自身牙根,不是种植牙,但完美体现了“保留牙根”进行修复的理念。
- 真正的“种植牙”(在颌骨内植入人工牙根)通常需要拔除天然牙根,即使是最快的“即刻种植”,也是拔牙后立即种植,并非保留原有牙根。
- 将保留的牙根与种植体结合进行修复是极其复杂且非常规的技术,仅适用于极少数特定病例,且风险较高,需要由经验非常丰富的专家团队评估和操作。
- 保留牙根的前提是牙根本身健康或可以通过治疗(如根管治疗)变得健康,并且牙周组织健康,如果牙根严重破坏、松动、或伴有严重的牙周病,则必须拔除。
- 必须由专业医生进行评估:能否保留牙根、采用哪种修复方式(桩核冠、种植牙、或其他),需要牙医进行全面的临床检查(视诊、探诊、叩诊、松动度检查)、影像学检查(X光片、CBCT)等综合判断。切勿自行判断或要求某种特定修复方式。
当你听到“保留牙根种植牙”时,最需要关注的是:
- 它很可能指的是“根管治疗后桩核冠修复”,这是利用自身健康牙根进行修复的标准方法。
- 它不等于“在拔牙前就在牙根上做种植”,因为种植体需要植入骨内,而牙根周围是牙周膜,不是直接骨结合的环境。
- 对于缺失牙的修复,传统种植牙(拔牙后愈合再种)或即刻种植(拔牙后立刻种)是更常见的种植方式。
建议:如果你有一颗牙齿出现问题(如大面积蛀牙、牙痛、牙冠崩坏),应尽快去看牙医,医生会根据你的具体情况(牙根状况、牙周健康、牙槽骨情况、咬合关系、你的期望等)告诉你最适合的方案是保留牙根做桩核冠,还是拔牙后做种植牙(传统或即刻),或其他修复方式(如固定桥),保留牙根通常是首选方案,但前提是牙根和牙周条件允许。💪🏻

(图片来源网络,侵删)
