牙齿矫正过程中,牙龈发炎是比较常见的并发症,不仅可能影响矫正效果,还会带来牙龈红肿、出血等不适感,其发生与矫治器的佩戴、口腔清洁难度增加等多因素相关,了解具体原因、症状及应对方法,对顺利完成矫正至关重要。
矫正期间牙龈发炎的常见原因
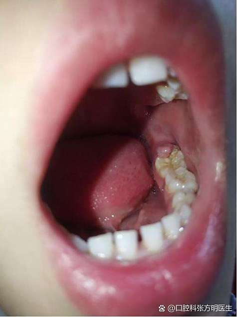
- 矫治器的机械刺激:固定矫治器的托槽边缘、弓丝末端若未打磨光滑,可能直接压迫或摩擦牙龈,导致局部黏膜受损,引发炎症反应,尤其矫正初期或调整弓丝后,牙龈尚未适应刺激时,更易出现红肿。
- 口腔清洁难度增加:矫治器会遮挡牙面,形成大量清洁死角,食物残渣和牙菌斑易堆积,普通牙刷难以彻底清除托槽周围的菌斑,长期刺激会导致牙龈炎甚至牙周炎。
- 激素水平变化:青少年患者处于生长发育期,女性患者可能在生理期前后因激素波动(如雌激素升高)降低牙龈抵抗力,加重炎症反应。
- 个体差异与基础牙周问题:部分患者牙龈组织较敏感,或本身存在轻度牙周炎(如牙结石堆积、牙龈萎缩),矫正后局部刺激加剧,易诱发或加重牙龈发炎。
牙龈发炎的典型症状
通过症状表现可初步判断炎症程度,具体如下表所示:

| 症状 | 具体表现 | 可能原因 |
|---|---|---|
| 牙龈红肿 | 牙龈边缘呈鲜红色或暗红色,肿胀明显,牙龈乳头圆钝,表面光亮 | 牙菌斑堆积、机械刺激导致局部血管扩张、炎症细胞浸润 |
| 牙龈出血 | 刷牙、咬硬物或使用牙线时牙龈渗血,严重者自发出血 | 牙龈毛细血管脆性增加、炎症导致血管壁通透性升高 |
| 牙龈疼痛 | 轻则胀痛不适,重则触碰或咀嚼时明显疼痛,可能伴随口臭 | 局部组织炎症反应、细菌感染产生毒素刺激神经末梢 |
| 牙龈增生 | 牙龈组织过度生长,部分覆盖牙面或托槽,形成“假性牙周袋”,易嵌塞食物 | 长期慢性刺激(菌斑、矫治器)导致牙龈纤维组织增生 |
牙龈发炎的处理方法
(一)家庭护理:基础清洁与缓解刺激
- 优化刷牙方式:采用“巴氏刷牙法”,将牙刷刷毛与牙面呈45°角对准牙龈沟,小幅水平震颤,每次刷牙3分钟以上,重点清洁托槽周围及牙龈边缘,配合正畸专用牙刷(如小头软毛刷)或牙缝刷,清除邻面和托槽间隙的食物残渣。
- 辅助清洁工具:每日使用冲牙器(水牙线)冲洗牙缝,清除牙刷难以到达的菌斑;选择不含酒精的抗菌漱口水(如0.12%氯己定漱口水),每日2次(早晚刷牙后),连续使用不超过1周,避免口腔菌群失调。
- 减少刺激因素:使用正畸蜡( Orthodontic Wax)包裹托槽或弓丝的尖锐部位,避免直接摩擦牙龈;避免食用过硬、黏性食物(如坚果、奶糖),防止矫治器脱落或食物嵌塞加重炎症。
(二)专业处理:医生干预与针对性治疗
若家庭护理3-5天后症状无缓解,或出现牙龈增生、疼痛加剧等情况,需及时复诊:
- 调整矫治器:医生检查并打磨托槽边缘、调整弓丝形态,去除对牙龈的机械刺激;若因弓丝末端过长刺伤牙龈,可进行弯折或更换短弓丝。
- 牙周专业清洁:通过龈上洁治(洗牙)清除牙结石,龈下刮治清除深部菌斑,尤其针对托槽周围的“清洁盲区”,必要时进行根面平整,减少细菌定植。
- 药物治疗:局部涂抹抗生素凝胶(如米诺环素凝胶),或口服抗生素(如阿莫西林),需遵医嘱使用,避免滥用;若牙龈增生严重,可能需进行牙龈切除术,切除部分增生组织,恢复牙龈正常形态。
牙龈发炎的预防措施
- 强化口腔卫生习惯:矫正期间每日刷牙至少2次,每次3分钟,饭后及时用清水漱口,清除食物残渣;使用牙线或牙缝棒每日清洁邻面,配合冲牙器形成“刷牙+牙线+冲牙器”的完整清洁链。
- 定期牙周检查与洁牙:每3-6个月进行一次专业牙周检查和洁牙,清除自身难以处理的牙结石和菌斑,尤其对于存在牙周基础疾病的患者,需先控制牙周炎症再开始矫正。
- 保持复诊沟通:按时复诊(通常4-6周一次),及时反馈牙龈不适症状,让医生早期发现并处理潜在问题,避免炎症加重。
相关问答FAQs
问题1:矫正期间牙龈发炎能自己好吗?
解答:轻度牙龈发炎(如仅轻微出血、牙龈略微红肿)通过加强口腔清洁(正确刷牙、使用牙缝刷和冲牙器)、减少刺激后,可能在1-2周内自愈,但若炎症持续(如牙龈增生明显、疼痛加剧、出血频繁),则需及时就医,否则可能导致牙槽骨吸收、矫正效果受影响,甚至发展为牙周炎。
问题2:戴牙套期间牙龈增生怎么办?
解答:牙龈增生多为长期慢性刺激(菌斑堆积、矫治器摩擦)导致,首先需加强口腔清洁,清除菌斑,并使用正畸蜡保护刺激部位;若增生组织覆盖牙面或影响矫正,医生可能通过激光或手术切除增生牙龈,同时调整矫治器避免再刺激,术后需严格保持口腔卫生,并定期复查,防止复发。

