牙齿矫正作为一种常见的牙齿畸形治疗方法,能够帮助患者改善咬合功能、提升面部美观,但在矫正过程中或矫正后,部分患者可能会出现牙龈萎缩的问题,牙龈萎缩是指牙龈组织向牙根方向退缩,导致牙根暴露,不仅影响牙齿美观,还可能引发牙齿敏感、根面龋甚至牙齿松动等并发症,本文将详细分析牙齿矫正导致牙龈萎缩的原因、表现、预防措施及处理方法,帮助患者全面了解这一问题并科学应对。
牙齿矫正导致牙龈萎缩的常见原因
牙齿矫正过程中,牙龈萎缩的发生并非单一因素导致,而是多种因素共同作用的结果,主要包括机械刺激、口腔卫生维护不当、个体差异、矫正力过大或不当,以及矫正后的保持问题等。

机械刺激与压迫
牙齿矫正过程中,托槽、弓丝、结扎丝等矫治器会直接附着在牙齿表面,对周围牙龈组织产生持续的机械刺激,尤其是托槽边缘若未打磨光滑,或弓丝末端过长,可能反复摩擦牙龈,导致牙龈局部损伤、退缩,矫正过程中牙齿的移动需要牙槽骨的改建,若牙齿移动速度过快或方向不当,可能对牙槽骨产生过度压力,进而导致牙槽骨吸收,牙槽骨高度降低后,牙龈组织会随之发生“被动性”萎缩。
口腔卫生维护难度增加
矫治器的存在使得牙齿表面更容易堆积食物残渣和菌斑,常规刷牙的难度显著增加,若患者未能掌握正确的口腔清洁方法,或清洁频率不足,菌斑会刺激牙龈引发炎症(如牙龈炎),长期炎症会导致牙龈组织破坏、附着丧失,最终发展为牙龈萎缩,研究显示,矫正期间牙龈炎的发生率高达50%-70%,若不及时控制,可能进展为牙周炎,进一步加剧牙龈萎缩。
个体差异与牙周基础条件
患者的牙周组织健康状况是影响牙龈萎缩的重要因素,部分患者本身存在牙周基础疾病(如慢性牙周炎),牙龈和牙槽骨已存在不同程度的破坏,矫正过程中炎症可能加重,加速牙龈萎缩,年龄因素也不可忽视,中老年患者的牙周组织修复能力较弱,牙龈萎缩的风险相对更高,还有少数患者存在“薄龈生物型”(牙龈厚度较薄、牙槽骨较薄),牙龈组织对机械刺激的耐受性较差,更容易在矫正中出现萎缩。
矫正力过大或方案设计不当
牙齿移动需要适宜的生物力,若矫正过程中施加的矫治力过大(如过快的牙齿内收、过大的支抗力),可能导致牙根周围的牙槽骨发生吸收,牙槽骨支持组织减少后,牙龈会随之退缩,矫正方案设计不合理(如未考虑牙齿倾斜度、牙根长度差异)也可能导致牙齿移动过程中受力不均,局部牙龈组织受到过度牵拉或压迫,引发萎缩。

矫正后保持阶段的问题
矫正结束后,牙齿需要通过保持器维持稳定位置,若患者未能按照医嘱佩戴保持器,或保持器设计不当(如保持器过紧、压迫牙龈),可能导致牙齿移位复发,牙龈组织再次受到异常刺激,进而发生萎缩,长期佩戴不合适的保持器(如透明保持器边缘过锐)也可能直接摩擦牙龈,导致局部退缩。
牙龈萎缩的临床表现与危害
牙龈萎缩的临床表现因程度不同而有所差异,早期可能无明显自觉症状,随着病情进展,可出现一系列口腔问题。
主要表现
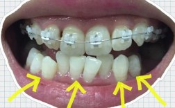
- 牙龈退缩:最直接的表现是牙龈边缘向牙根方向退缩,使牙根暴露,暴露程度可分为轻度(1-3mm)、中度(3-5mm)和重度(超过5mm),前牙区牙龈萎缩尤为明显,影响美观。
- 牙齿敏感:牙根暴露后,牙本质小管暴露,外界冷、热、酸、甜等刺激可直接传导至牙髓,引发牙齿敏感,表现为进食或刷牙时的短暂尖锐疼痛。
- 牙龈颜色与形态改变:萎缩的牙龈可能变薄、失去弹性,颜色变浅或苍白,牙龈乳头可能变得扁平或消失,影响牙龈的正常形态。
- 牙根暴露与根面龋:牙根表面牙骨质较薄,抗龋能力弱,暴露后易发生根面龋,表现为牙根表面出现褐色或黑色龋洞,进一步破坏牙齿结构。
潜在危害
- 影响美观:前牙区牙龈萎缩会导致“露龈笑”或牙齿“细长”,影响面部美观,尤其对年轻患者的心理造成负担。
- 增加牙齿敏感风险:牙根暴露导致的牙齿敏感可能限制患者饮食,影响生活质量。
- 诱发牙周疾病:牙龈萎缩后,牙根与牙龈之间的间隙(龈沟)变深,更容易堆积菌斑,形成牙结石,进一步加剧牙周炎症,形成“萎缩-炎症-更严重萎缩”的恶性循环。
- 牙齿松动甚至脱落:严重的牙龈萎缩常伴随牙槽骨吸收,导致牙齿支持组织减少,牙齿松动度增加,最终可能引发牙齿脱落。
牙齿矫正导致牙龈萎缩的预防措施
牙龈萎缩一旦发生,部分情况下难以完全逆转,因此预防至关重要,患者在矫正前、矫正中及矫正后均需采取针对性措施,降低牙龈萎缩的风险。
矫正前的全面评估与准备
- 牙周健康检查:矫正前需进行全面的牙周检查,包括牙龈指数、牙周袋深度、牙槽骨高度(通过X光片评估)等,若存在牙周炎、牙龈炎等疾病,需先进行牙周治疗(如龈上洁治、龈下刮治、牙周手术等),待牙周炎症控制、病情稳定后再开始矫正。
- 评估生物型:通过临床检查或超声测量评估患者牙龈厚度,对“薄龈生物型”患者,医生需在矫正方案设计中更加注重轻柔施力,并加强口腔卫生指导。
- 选择专业正畸医生:经验丰富的正畸医生能够合理设计矫正方案,避免过度矫正,减少机械刺激对牙龈的损伤。
矫正过程中的口腔卫生维护
- 掌握正确的清洁方法:使用正畸专用牙刷(如小头软毛牙刷),采用“巴氏刷牙法”,每天至少刷牙2次,每次不少于3分钟,重点清洁托槽周围、牙龈边缘和牙齿邻面,可配合使用正畸牙刷、牙线穿引器、冲牙器等辅助工具,彻底清除菌斑和食物残渣。
- 定期牙周检查与洁治:矫正期间每3-6个月进行一次牙周复查,包括牙周探诊、菌斑染色等,及时发现并清除牙结石,控制牙龈炎症,若出现牙龈出血、肿胀等症状,需增加复查频率,并进行针对性治疗(如局部上药、龈下刮治)。
- 避免刺激性食物:减少摄入过冷、过热、过酸或过硬的食物,减少对牙龈和牙齿的刺激,同时避免食用黏性食物(如口香糖、奶糖),防止矫治器脱落或损坏。
矫正过程中的力控制与方案调整
- 轻柔施力,避免急速移动:医生应遵循“生物力”原则,控制牙齿移动速度,避免过快的牙齿内收或压低,减少牙槽骨吸收的风险,若患者出现牙龈明显红肿、疼痛或退缩,需及时调整矫治力或暂停加力。
- 优化矫治器设计:选择边缘光滑的托槽和弓丝,避免尖锐部件刺激牙龈,对于托槽脱落或弓丝末端过长的情况,需及时复诊调整,防止损伤牙龈。
- 个体化矫正方案:根据患者的牙周状况、牙根长度、牙齿倾斜度等设计个性化方案,避免“一刀切”的矫正设计,减少牙龈受力不均的风险。
矫正后的保持与维护
- 严格佩戴保持器:矫正结束后需按照医嘱佩戴保持器(通常需全天佩戴至少6个月,之后逐渐过渡到夜间佩戴),保持器需定期检查调整,确保贴合度,避免压迫牙龈或导致牙齿移位。
- 长期牙周维护:矫正结束后仍需坚持良好的口腔卫生习惯,每年进行1-2次牙周检查和洁治,及时发现并处理牙周问题,预防牙龈萎缩复发。
牙齿矫正后牙龈萎缩的处理方法
若矫正过程中或矫正后已出现牙龈萎缩,需根据萎缩程度和原因采取针对性治疗,以控制病情进展、缓解症状。
轻度牙龈萎缩的处理
- 加强口腔卫生指导:通过菌斑染色、刷牙示范等方式,帮助患者掌握正确的清洁方法,彻底清除菌斑,控制牙龈炎症。
- 抗敏感治疗:使用含氟牙膏(如舒适达、舒适达抗敏感牙膏)或脱敏剂(如氟化钠凝胶、硝酸钾凝胶)涂布暴露的牙根,封闭牙本质小管,缓解牙齿敏感症状。
- 局部药物治疗:若存在牙龈炎症,可局部使用抗菌漱口水(如氯己定漱口水)或消炎凝胶(如碘甘油),减轻炎症反应。
中重度牙龈萎缩的处理
- 牙周手术治疗:对于中重度牙龈萎缩,尤其是伴有牙槽骨吸收的情况,需进行牙周手术,促进牙龈再生和牙槽骨修复,常用手术方法包括:
- 引导性组织再生术(GTR):在牙根表面放置生物膜,引导牙周膜细胞和牙槽骨细胞再生,阻止牙龈上皮细胞长入,促进牙槽骨和牙周附着重建。
- 游离龈移植术(FGG):从患者上颚(腭部)取部分牙龈组织,移植到牙龈退缩部位,增加牙龈厚度和覆盖面积,覆盖暴露的牙根。
- 结缔组织移植术(CTG):取腭部结缔组织,移植到牙龈退缩区,既可增加牙龈厚度,也可改善牙龈形态,美学效果优于游离龈移植。
- 根面覆盖术:针对前牙区牙龈萎缩影响美观的情况,通过手术将牙龈组织向根方复位,覆盖暴露的牙根,恢复牙龈的正常形态和功能。
- 修复治疗:对于无法通过手术完全覆盖的牙根,或伴有根面龋的情况,可进行树脂美学修复,用树脂材料覆盖暴露的牙根,改善美观并减少敏感。
牙齿矫正期间牙龈萎缩的预防措施总结
为便于患者理解和实践,以下表格总结了牙齿矫正期间牙龈萎缩的关键预防措施及注意事项:
| 预防阶段 | 具体措施 | 注意事项 |
|---|---|---|
| 矫正前准备 | 进行全面的牙周健康检查,治疗牙周疾病; 评估牙龈生物型(厚度); 选择专业正畸医生制定个性化方案。 |
牙周炎患者需待病情稳定后再开始矫正,避免炎症加重。 |
| 矫正中维护 | 使用正畸专用牙刷、牙线、冲牙器清洁牙齿; 每3-6个月进行牙周复查和洁治; 避免食用过硬、黏性食物; 出现牙龈不适及时复诊调整矫治力。 |
清洁时重点清洁托槽周围和牙龈边缘,确保无菌斑堆积。 |
| 矫正后管理 | 严格佩戴保持器,定期检查调整; 坚持每日刷牙、使用牙线,保持口腔卫生; 每年进行1-2次牙周检查和洁治。 |
保持器需保持清洁,避免细菌滋生;若出现牙龈退缩或牙齿敏感,及时就医。 |
相关问答(FAQs)
问题1:牙齿矫正导致的牙龈萎缩能恢复吗?
答:牙龈萎缩的恢复程度取决于萎缩的严重程度、发现时间及干预措施,轻度牙龈萎缩(牙龈退缩1-3mm,无牙槽骨吸收)通过加强口腔卫生、控制炎症和抗敏感治疗,可缓解敏感症状,阻止萎缩进展,但已退缩的牙龈组织通常无法完全恢复原有高度,中重度牙龈萎缩(退缩超过3mm,伴牙槽骨吸收)需通过牙周手术(如引导性组织再生术、游离龈移植术)促进牙龈再生和牙槽骨修复,部分患者可恢复部分牙龈覆盖,改善美观和敏感症状,但完全恢复至正常状态较困难,早期发现和干预是关键。
问题2:矫正后多久可能出现牙龈萎缩?如何早期发现?
答:牙龈萎缩可发生在矫正过程中的任何阶段,但更常见于矫正中后期(通常为矫正后6-12个月)或矫正结束后1-2年,这与矫正过程中机械刺激的累积、口腔卫生维护难度增加以及牙周组织的改建过程有关,早期发现牙龈萎缩需注意以下信号:①牙龈出血、红肿或疼痛,尤其是刷牙或使用牙线时;②牙龈边缘出现“台阶感”或牙齿根部“变长”;③牙齿对冷热酸甜刺激敏感,出现短暂疼痛;④牙龈乳头变平或消失,牙齿间出现“黑三角”,若出现上述症状,需及时复诊,通过牙周探诊、X光片等检查明确诊断,并采取相应治疗措施。
