反合牙齿,医学上称为“反颌”,是一种常见的错颌畸形,表现为上下前牙咬合时,上前牙咬在下前牙舌侧,或下前牙覆盖上前牙,俗称“地包天”,这种咬合异常不仅影响面部美观,还可能对咀嚼功能、发音、颌骨发育乃至心理健康造成一系列不良影响,随着口腔医学的发展,反合牙齿矫正已形成成熟的技术体系,而“反合牙齿矫正视频”作为科普和辅助工具,正帮助更多人了解矫正过程、消除焦虑,配合专业治疗实现口腔健康与面部美观的双重改善。
反合牙齿的成因与危害:为何需要及时矫正?
反合牙齿的形成可分为先天因素和后天因素,先天因素包括遗传(如父母有反合史,子女患病风险增加)、胚胎期颌骨发育异常(上颌骨发育不足或下颌骨发育过度);后天因素则涉及不良习惯(如长期吮指、咬唇、吐舌、下颌前伸)、替牙期障碍(如乳牙早失、乳牙滞留导致恒牙错位)、以及某些疾病(如腺样体肥大导致长期口呼吸,下颌被迫前伸)。

反合牙齿的危害不容忽视:从功能角度看,它会降低咀嚼效率,长期可能导致消化系统疾病;影响发音清晰度,尤其对“s”“z”等齿音字影响显著;严重反合还会导致颞下颌关节紊乱,出现关节弹响、疼痛、张口受限等问题,从美观角度看,反合常伴随“月牙脸”(面部中份凹陷、下颌前突),影响个人形象,尤其对儿童和青少年可能引发自卑心理,社交退缩,反合牙齿需尽早干预,避免颌骨发育异常加重,增加成年后矫正难度。
常见反合矫正方法对比:如何选择适合自己的方案?
反合牙齿矫正需根据患者的年龄、反合类型(牙性反合、骨性反合)、严重程度制定个性化方案,目前主流矫正方法包括传统金属托槽矫正、隐形矫正、功能矫治器矫正及正畸-正颌联合治疗等,各类方法的特点对比如下:
| 矫正方法 | 适用人群 | 优点 | 缺点 | 平均矫正时间 |
|---|---|---|---|---|
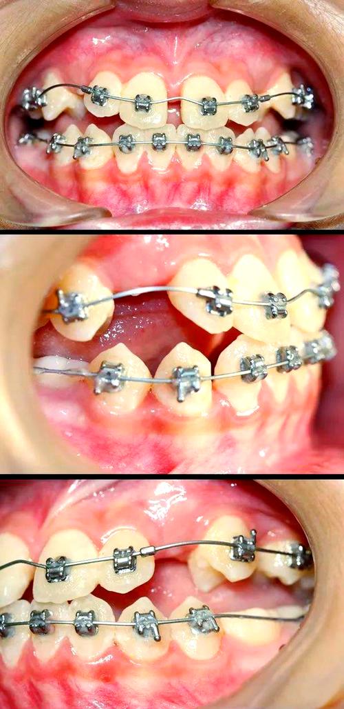
| 传统金属托槽矫正 | 各年龄段,尤其复杂牙性反合 | 矫治力强,性价比高,适用范围广 | 美观性差,口腔异物感强,清洁难度大 | 5-3年 |
| 陶瓷托槽矫正 | 对美观有要求的青少年及成人 | 托槽颜色接近牙齿,隐蔽性优于金属托槽 | 脆性较高,易崩瓷,价格略高于金属托槽 | 5-3年 |
| 隐形矫正(如隐适美) | 轻中度牙性反合,成人及配合度高的青少年 | 美观隐形,舒适度高,可自行摘戴,清洁方便 | 价格较高,严重骨性反合效果有限,需自律佩戴 | 1-2年(每天佩戴≥22小时) |
| 功能矫治器(如FRⅢ) | 儿童替牙期(8-12岁)骨性反合 | 引导颌骨生长,降低成年后正畸-正颌手术概率 | 仅适用于生长发育期儿童,需配合固定矫正 | 6-12个月(后续需固定矫正) |
| 正畸-正颌联合治疗 | 成人严重骨性反合(上下颌骨发育异常) | 矫正效果稳定,从根本上改善面部骨骼关系 | 创伤大,费用高,需多学科协作(正畸+外科) | 2-3年(含术前术后正畸) |
反合牙齿矫正视频的核心价值:从科普到辅助的全方位帮助
在信息时代,“反合牙齿矫正视频”已成为患者获取知识、缓解焦虑的重要途径,其核心价值体现在以下几个方面:
直观科普,消除认知误区
许多患者对矫正存在误解,如“矫正会导致牙齿松动”“成年后无法矫正”等,矫正视频通过真实案例展示、动画演示(如颌骨生长过程、牙齿移动原理),直观解释反合的形成机制、矫正必要性及不同方案的原理,功能矫治器视频可展示如何通过装置引导儿童下颌后缩,促进上颌骨发育;隐形矫正视频则通过3D动画模拟牙齿移动轨迹,让患者清晰了解“每一步变化”。

过程可视化,降低治疗恐惧
矫正周期长,尤其是传统矫正需多次复诊调整,患者常因未知产生焦虑,视频记录了从初诊检查(取模、拍X光片)、方案设计、托槽粘接/隐形牙套佩戴、到每次复诊调整的完整过程,甚至包含“拆牙套”“戴保持器”等关键节点,通过观看视频,患者能提前熟悉治疗流程,了解“疼痛感”“不适感”的来源(如初戴托槽的轻微酸胀),从而减少恐惧,提升配合度。
家庭护理指导,提升矫正效果
矫正效果不仅依赖医生技术,还需患者做好日常护理,视频可详细演示正确的刷牙方法(如使用正畸专用牙刷、冲牙器)、牙套清洁技巧(隐形牙套的浸泡、刷洗)、饮食禁忌(避免过硬、黏性食物)等,传统矫正患者需学会“弓丝结扎”的检查方法,防止刺伤口腔黏膜;隐形矫正患者需了解“佩戴时间不足”对牙齿移动的影响,这些细节通过视频演示更易掌握。
术后管理指导,防止复发
矫正结束后,保持器佩戴是防止复发的关键,视频可展示不同类型保持器(如透明压膜保持器、 Hawley保持器)的佩戴方法、清洁方式及注意事项,强调“终身佩戴”的重要性(尤其是成年患者),部分视频还会分享“保持期护理误区”,如“认为戴1-2年即可”“夜间不佩戴导致牙齿反弹”等,帮助患者建立长期维护意识。
如何筛选高质量反合牙齿矫正视频?
尽管矫正视频有诸多益处,但网络信息鱼龙混杂,需学会辨别质量,避免被误导,筛选时可重点关注以下几点:

来源权威性:优先选择专业机构与医生产出
优质视频通常由正规医院口腔科、正畸专科医生或权威医疗平台(如中华口腔医学会、丁香医生)发布,视频中医生应具备专业资质(可查看医师执业证书编号),讲解内容符合临床指南,三甲医院正畸科医生发布的“儿童反合功能矫治案例”,可信度远高于个人博主的“经验分享”。
内容科学性:避免“夸大宣传”与“绝对化表述”
警惕视频中“快速矫正1个月见效”“不拔牙矫正所有反合”等夸大宣传,科学的矫正需遵循生物学规律,牙齿移动速度约为每月1mm,骨性反合可能需联合治疗,无法一蹴而就,优质视频会明确说明矫正的局限性(如成人骨性反合的手术必要性)、潜在风险(如牙根吸收、牙龈萎缩)及个体差异,而非“保证100%成功”。
时效性与专业性:结合最新技术与指南
口腔医学技术不断发展,如隐形矫正的材料迭代、数字化正畸(3D打印导板、AI方案设计)的应用等,优先选择近3年内发布的视频,确保内容符合当前技术标准,早期视频推荐的“方丝弓矫正技术”已被“直丝弓矫正”优化,过时信息可能误导患者。
互动性与实用性:解答常见疑问
优质视频通常会设置评论区互动,医生或专业助手回复患者提问(如“矫正期间可以吃火锅吗?”“保持器丢了怎么办?”),或通过视频内容覆盖高频问题,视频若包含“患者真实反馈”“矫正前后对比”,更具参考价值,但需注意核实案例真实性(如是否有医院盖章、医生署名)。
反合矫正的注意事项:视频之外的“关键行动”
矫正视频是辅助工具,但无法替代专业医生的面对面诊疗,患者在观看视频的同时,需牢记以下注意事项:
- 及时面诊,明确诊断:反合分为牙性(仅牙齿排列异常)和骨性(颌骨发育异常),需通过临床检查( X光头影测量、模型分析)确诊,儿童骨性反合在替牙期可通过功能矫治器引导生长,成人骨性反合可能需正颌手术,仅靠视频无法判断。
- 遵从医嘱,定期复诊:矫正过程中,医生需根据牙齿移动情况调整方案(如更换弓丝、加力),患者需严格按复诊时间就诊(通常传统矫正4-6周一次,隐形矫正6-8周一次),避免自行调整牙套或延长复诊间隔。
- 保持口腔卫生,预防并发症:矫正期间食物易嵌塞,若清洁不到位,易导致龋齿、牙龈炎、牙周炎,除视频演示的清洁方法外,建议使用含氟牙膏、牙线、冲牙器,并定期做牙周检查(每3个月一次)。
不同年龄段反合矫正的特点:视频内容需“对号入座”
反合矫正的最佳时机因年龄而异,视频内容也需针对性观看:
- 儿童(3-12岁,替牙期):以骨性反合为主,可利用生长发育潜力进行功能矫治(如FRⅢ矫治器、前方牵引),此阶段矫正视频应重点关注“适应证判断”“矫治器佩戴时间”“家长监督要点”,避免盲目等待替牙完成。
- 青少年(12-18岁,恒牙早期):混合牙列与恒牙列均可矫正,以固定矫正(传统托槽、自锁托槽)为主,兼顾功能与美观,视频可展示“拔牙与非拔牙方案的抉择”“青春期心理调适”等内容。
- 成人(18岁以上):颌骨发育停止,牙性反合可通过正畸矫正,骨性反合需联合正颌手术,成人矫正视频应强调“矫正难度与风险”“术后保持的重要性”,以及“职场美观需求”(如隐形矫正、陶瓷托槽的选择)。
反合牙齿矫正是一项系统工程,需要医生的专业技术与患者的积极配合。“反合牙齿矫正视频”作为连接医患的桥梁,通过直观、易懂的方式传递知识,帮助患者理解矫正、参与矫正,但始终无法替代专业诊断与个性化治疗,面对反合问题,建议患者优先选择正规口腔机构,结合视频科普与医生指导,共同制定科学方案,最终实现健康咬合与自信笑容。
相关问答FAQs
Q1:反合矫正视频能替代医生面诊吗?是否可以只看视频自学矫正?
A1:绝对不能,反合矫正视频的定位是“科普辅助工具”,而非诊疗依据,反合的病因(牙性/骨性)、严重程度、患者年龄、口腔状况等均需通过专业检查(如口腔全景片、头影测量片、模型分析)明确,医生需根据这些数据制定个性化方案,自学矫正可能导致牙齿移动异常、牙根吸收、咬合紊乱等严重后果,甚至加重颌骨发育问题,视频可作为了解流程的参考,但治疗必须在专业医生指导下进行。
Q2:矫正过程中牙齿疼痛难忍,视频里说的“正常反应”和“异常疼痛”如何区分?
A2:矫正初期(如戴牙套后1-3天),牙齿轻微酸胀、咀嚼无力属于正常反应,是牙齿受力移动的生理表现,可通过温盐水漱口、避免咀嚼硬食缓解,通常3-5天逐渐减轻,若出现以下“异常疼痛”,需及时复诊:(1)疼痛持续超过1周且加重,伴牙龈肿胀、出血;(2)牙齿松动明显(晃动幅度超过正常范围);(3)出现剧烈头痛、耳部放射痛(可能为颞下颌关节损伤),视频中通常会演示“疼痛程度评估方法”(如用手指按压牙齿判断松动度),但具体判断仍需医生通过临床检查确定。
