地包天,医学上称为反颌,是一种常见的错颌畸形,表现为下前牙覆盖上前牙,部分严重者甚至下前牙完全咬在上前牙唇侧,不仅影响面部美观(呈现“月牙脸”或“地包天”面型),还可能导致咀嚼功能下降、颞下颌关节紊乱、发音障碍等问题,甚至对心理健康造成负面影响,随着正畸技术的发展,半隐形牙齿矫正已成为地包天治疗的重要选择,其兼顾美观与效率的特点,受到越来越多患者的青睐。
地包天的成因与类型
地包天的形成原因复杂,可分为先天因素和后天因素,先天因素包括遗传(父母有反颌史,子女患病概率增加)、胚胎期发育异常(如上颌骨发育不足、下颌骨发育过度);后天因素则涉及不良口腔习惯(如长期吮指、咬唇、咬物、伸舌)、替牙期障碍(如乳牙早失、乳牙滞留导致恒牙错位)、疾病影响(如腺样体肥大导致长期口呼吸,下颌前伸)等,从病理机制上,地包天可分为三类:牙性反颌(仅牙齿排列异常,颌骨关系正常)、骨性反颌(上颌骨发育不足或下颌骨发育过度,伴牙齿代偿性倾斜)、功能性反颌(由不良习惯或功能性因素引起,下颌前伸为姿势性,去除诱因后可部分恢复),不同类型的反颌,治疗方案差异较大,需通过专业检查明确诊断。

半隐形牙齿矫正:地包天治疗的新选择
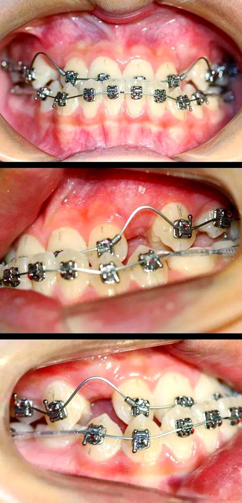
半隐形牙齿矫正通常指采用陶瓷托槽、单晶托槽或舌侧托槽等介于传统金属托槽与全隐形矫正器之间的矫正技术,与传统金属矫正相比,其托槽材质为透明或牙色陶瓷,与牙齿颜色相近,佩戴时美观度显著提升;与全隐形矫正器(如隐形牙套)相比,托槽与弓丝的固定更稳定,矫正力传递更直接,对复杂错颌(如地包天)的控制能力更强,且复诊间隔可适当延长(通常4-6周一次),适合对美观有要求、同时需高效矫正的患者。
半隐形矫正地包天的核心优势
- 美观度兼顾:陶瓷托槽的透明特性使其在口腔内不易被察觉,尤其适合成年患者、社交需求较高者,避免了“钢牙”带来的尴尬。
- 矫正效率高:通过精准的托槽定位和弓丝加力,可有效控制牙齿的移动方向,对地包天常见的“下前牙唇倾、上前牙舌倾”等问题进行三维调整,缩短治疗周期(一般1.5-3年,复杂病例可能更长)。
- 舒适度较好:陶瓷托槽表面光滑,对口腔黏膜的刺激小于金属托槽;部分托槽设计有弹性槽沟,可减少弓丝与托槽的摩擦力,降低不适感。
- 适用范围广:不仅适用于轻中度牙性地包天,对部分骨性地包天(需结合正畸-正颌联合治疗)及功能性反颌也有良好效果,可作为术前正畸或术后稳定的重要手段。
半隐形矫正地包天的治疗流程与注意事项
地包天的半隐形矫正需在专业正畸医生的全程指导下进行,具体流程可分为以下几个阶段:
初诊检查与方案设计
治疗前需进行全面检查,包括:
- 口内检查:评估牙齿排列、咬合关系、牙周状况;
- 影像学检查:拍摄全景片、头颅侧位片(用于测量颌骨关系、牙齿倾斜度)、CBCT(三维评估骨量及牙根位置);
- 模型分析:制取牙齿模型,模拟牙齿移动路径。
结合检查结果,医生确定矫正目标(如解除反颌、调整咬合、改善面型),制定个性化方案,包括是否拔牙、拔牙部位、托槽类型、治疗周期及费用等。
矫正器佩戴与初始加力
方案确定后,医生会进行托槽粘接,陶瓷托槽需通过酸蚀、涂粘接剂等步骤精准粘于牙齿表面,随后安装初始弓丝(如镍钛圆丝),利用弓丝的弹性力量轻柔移动牙齿,初期(1-2周)可能会出现牙齿酸痛、口腔黏膜不适,属正常现象,可通过软食、口腔蜡缓解。

复诊调整与牙齿移动
矫正期间需定期复诊(通常4-6周一次),医生通过更换弓丝(如镍钛方丝、不锈钢方丝)、调整托槽位置、增加牵引装置(如橡皮筋、种植支抗)等方式,逐步实现牙齿的三维移动,地包天的矫正关键在于“上颌前移、下颌后退”或“下颌压低、上颌伸长”,过程中需密切监控颌骨关系变化,避免牙根吸收或骨开裂等风险。
保持阶段与复发预防
矫正结束后,需佩戴保持器防止复发,地包天复发风险较高,尤其是骨性病例,通常要求全天佩戴保持器6-12个月,之后过渡到夜间长期佩戴,需纠正不良口腔习惯(如吐舌、咬唇),定期复查(每3-6个月一次),监测牙齿稳定性。
半隐形矫正地包天治疗流程及注意事项
| 阶段 | 注意事项 | |
|---|---|---|
| 初诊检查 | 口内检查、影像学检查、模型分析,确定方案 | 提供完整病史(如牙周病史、全身疾病史),配合医生沟通治疗目标 |
| 矫正器佩戴 | 粘接陶瓷托槽,安装初始弓丝,施加轻柔矫正力 | 初期避免过硬食物,注意口腔卫生,使用正畸专用牙刷、牙线 |
| 复诊调整 | 更换弓丝、调整托槽、使用牵引装置,逐步移动牙齿 | 严格按时复诊,若出现托槽脱落、弓丝刺伤黏膜需及时处理 |
| 保持阶段 | 佩戴保持器(如 Hawley 保持器、透明保持器),防止复发 | 坚持佩戴,避免不良习惯,定期复查 |
半隐形矫正地包天的挑战与应对
尽管半隐形矫正优势显著,但治疗地包天仍面临一定挑战:
- 骨性反颌的局限性:对于严重骨性反颌(如下颌骨前突超过10mm),单纯正畸难以改变颌骨关系,需联合正颌手术(如上颌Le Fort I型截骨术、下颌矢状劈开术),正畸术前通过半隐形矫正排齐牙齿,术后稳定咬合。
- 牙根吸收风险:地包天矫正中牙齿移动幅度较大,部分患者可能出现牙根吸收(通过CBCT可监测),需医生精准控制矫正力,避免过度加力。
- 口腔卫生维护:托槽周围易堆积食物残渣,若清洁不当易引发龋齿、牙龈炎,需加强口腔护理,使用冲牙器、正畸专用牙间刷等工具。
术后护理与长期效果维护
半隐形矫正地包天的成功不仅依赖治疗过程,术后护理同样重要,矫正期间需避免食用过硬(如坚果、骨头)、粘性(如口香糖、年糕)食物,防止托槽脱落或弓丝变形;保持口腔卫生,每天至少刷牙3次,使用含氟牙膏,配合牙线清洁邻面,矫正结束后,保持器佩戴是防止复发的关键,尤其是地包天患者,由于颌骨及肌肉记忆的存在,可能需长期夜间佩戴,定期复查(每6个月1次)可帮助医生及时发现潜在问题(如牙齿移位、牙周萎缩),确保长期效果。

相关问答FAQs
Q1:半隐形矫正地包天需要拔牙吗?是否会影响面部美观?
A1:是否拔牙需根据反颌类型、牙齿拥挤度、颌骨关系等综合判断,轻中度牙性地包天若牙齿排列整齐,可能无需拔牙;若存在严重拥挤或骨性反颌(上颌骨发育不足),可能需拔除前磨牙为牙齿移动提供空间,同时改善咬合关系,拔牙不会导致“面部塌陷”,反而可通过解除反颌、调整咬合,使面部轮廓更协调(如下颌后退、侧面线条更柔和),专业医生会在方案设计中模拟拔牙前后的面部变化,确保美观与功能兼顾。
Q2:骨性地包天只能通过正颌手术矫正吗?半隐形矫正能替代手术吗?
A2:骨性地包天的治疗需区分“手术指征”:对于轻度骨性反颌(如下颌前突<5mm)或青少年患者(处于生长发育高峰期),可通过半隐形矫正结合功能性矫治器(如前方牵引面具)刺激上颌骨生长、抑制下颌骨生长,实现非手术治疗;对于中重度骨性反颌(下颌前突>5mm)或成年患者,单纯正畸无法改变颌骨大小和位置,需联合正颌手术(正畸-正颌联合治疗),术前通过半隐形矫正排齐牙齿,术后稳定咬合,半隐形矫正在骨性地包天治疗中可作为“术前准备”或“轻度病例的非手术手段”,但无法完全替代手术。
