牙齿轻微拥挤是指牙齿在牙弓内排列出现少量不齐,表现为前牙区轻微重叠、扭转或错位,但未严重到影响基本咬合功能的一种常见牙齿问题,虽然“轻微”看似不影响生活,但长期忽视可能引发口腔健康、功能及美观的多重隐患,因此矫正需求逐渐受到重视,本文将从牙齿轻微拥挤的成因、矫正必要性、主流矫正方式、流程及注意事项等方面展开详细说明,帮助读者全面了解这一矫正领域。
牙齿轻微拥挤的成因与潜在影响
牙齿轻微拥挤的成因复杂,通常与遗传因素、不良习惯(如吮指、咬唇、口呼吸)、替牙期障碍(如乳牙早失、多生牙)、颌骨发育不足(上颌或下颌骨长度不够)等有关,这些因素导致牙量与骨量不匹配,牙齿在有限空间内无法正常排列,从而出现拥挤。

从表面看,轻微拥挤仅影响美观,但实则可能引发连锁问题:一是清洁难度增加,拥挤处易堆积食物残渣和牙菌斑,长期发展可能导致龋齿、牙龈炎、牙周炎等口腔疾病;二是咬合功能异常,拥挤牙齿可能导致咬合干扰、咀嚼效率降低,甚至引发颞下颌关节紊乱(如关节弹响、疼痛);三是心理影响,前牙轻微拥挤可能让人在社交中不自信,尤其对青少年和年轻群体的心理健康造成潜在影响,即使拥挤程度轻微,也应尽早评估矫正需求。
牙齿轻微拥挤的主流矫正方式
随着正畸技术的发展,牙齿轻微拥挤的矫正已不再局限于传统“钢牙”,而是可根据个人需求选择多样化的矫正方式,以下从原理、优缺点、适用人群等维度对比主流方法:
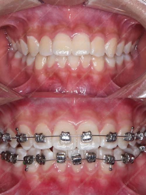
(一)传统金属托槽矫正
通过金属托槽和弓丝施加持续力,推动牙齿移动至理想位置,优点是性价比高(价格约5000-15000元)、适用范围广,可处理复杂拥挤案例;缺点是美观度低、舒适度一般,且口腔清洁难度较大。
(二)陶瓷托槽矫正
托槽材质为透明陶瓷,与牙齿颜色接近,美观度优于金属托槽,强度高、不易染色,但脆性较大,价格略高(约8000-20000元),适合对美观有一定要求、拥挤程度中等的人群。

(三)隐形矫正
采用透明高分子材料制作的牙套,通过每副牙套的微小移动实现牙齿矫正,优点是美观度高(完全隐形)、可自行摘戴(方便清洁和进食)、舒适度好;缺点是价格较高(约20000-50000元)、对自律性要求高(需每日佩戴20-22小时),且适用于拥挤程度较轻、无严重咬合问题者。
(四)舌侧矫正
将托槽粘接在牙齿舌侧面,完全隐藏于口腔内,美观度最佳,但技术难度大、价格昂贵(约40000-80000元),且初期对发音、口腔舒适度影响较大,对医生技术要求极高,适合追求极致美观且预算充足的人群。
为更直观对比,以下为矫正方式核心指标简表:
| 矫正方式 | 美观度 | 舒适度 | 价格(元) | 适用人群 |
|---|---|---|---|---|
| 传统金属托槽矫正 | 低 | 一般 | 5000-15000 | 拥挤复杂、预算有限者 |
| 陶瓷托槽矫正 | 中高 | 较好 | 8000-20000 | 注重美观、拥挤中等者 |
| 隐形矫正 | 高 | 高 | 20000-50000 | 拥挤较轻、预算充足、自律性强者 |
| 舌侧矫正 | 极高 | 初期不适 | 40000-80000 | 对美观要求极高、预算充足者 |
牙齿轻微拥挤的矫正流程
无论选择哪种矫正方式,核心流程基本一致,需严格遵循医嘱以确保效果:

初诊检查与方案设计
首先进行口腔检查,包括口内视诊、牙齿拥挤度评估、咬合分析等;其次取模(或口扫)获取牙齿模型,拍摄X光片(全景片、头颅侧位片)分析颌骨情况、牙根位置及生长发育潜力;最后结合个人需求(美观、预算、时间)制定个性化方案,明确矫正周期(通常1-2年)。
矫正器佩戴与加力
传统矫正需分次粘接托槽,弓丝通过结扎丝固定于托槽;隐形矫正则需根据方案定制多副牙套,每副佩戴1-2周后更换下一副,初期佩戴后3-5天可能出现牙齿酸胀、轻微疼痛,属正常现象,可通过软食、冷敷缓解。
定期复诊调整
传统矫正每4-6周复诊一次,调整弓丝力度或更换托槽;隐形矫正每6-8周复诊一次,医生检查牙齿移动情况,确保进度符合预期,复诊期间若出现托槽脱落、牙套断裂等问题,需及时就医处理。
保持阶段
矫正结束后,牙齿需稳定在新位置,防止复发,通常需佩戴保持器:隐形保持器(白天佩戴,晚上可摘除)持续1年,Hawley保持器(传统钢丝保持器)夜间佩戴至少2-3年,部分拥挤复发风险高者需终身佩戴。
矫正期间的注意事项
牙齿轻微拥挤矫正虽周期较长,但做好以下事项可显著提升效果和舒适度:
- 口腔卫生维护:矫正期间食物易嵌塞,需使用正畸牙刷(小头刷毛)、牙缝刷、冲牙器每日清洁,避免托槽周围积菌导致脱矿或龋齿。
- 饮食调整:避免过硬(坚果、骨头)、黏性(口香糖、年糕)食物,防止托槽脱落;隐形矫正者需摘下牙套进食,避免染色(咖啡、奶茶)或损坏牙套。
- 生活习惯纠正:戒除吮指、吐舌、咬唇等不良习惯,否则可能影响牙齿移动稳定性。
- 心理调适:初期适应期可能出现口腔溃疡、发音不清,可通过正畸蜡保护黏膜,练习发音缓解;关注牙齿移动进展,增强矫正信心。
相关问答FAQs
Q1:牙齿轻微拥挤不矫正会有什么影响?
答:轻微拥挤虽不严重,但长期可能引发清洁困难,导致龋齿、牙周炎;拥挤牙齿咬合异常,可能增加颞下颌关节负担,引发关节疼痛;前牙拥挤还可能影响美观,导致社交不自信,若拥挤未影响咀嚼且清洁可维护,可定期观察,但多数建议早期矫正,避免问题加重。
Q2:矫正过程中牙齿疼痛正常吗?如何缓解?
答:矫正初期及每次加力后3-5天,牙齿轻微酸胀、疼痛属正常现象,因牙齿移动导致牙周组织反应,可吃软食(粥、面条),避免用患侧咀嚼;遵医嘱服用非处方止痛药(如布洛芬);用冰袋冷敷面部缓解肿胀,若疼痛剧烈或持续超过一周,需及时复诊,排查加力过大或托槽刺激等问题。
