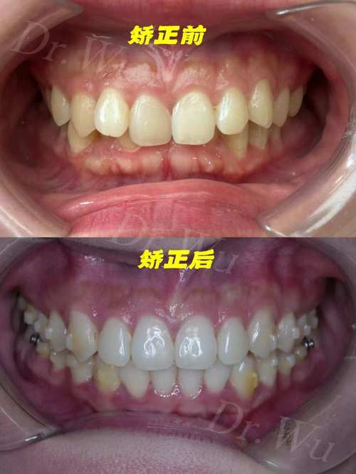
成年牙齿隐形矫正已成为越来越多成年人口腔健康与美学改善的选择,随着社会对颜值的重视及正畸技术的进步,成年人不再因“年纪大”而放弃牙齿矫正,反而因其更强的自律性和配合度,矫正效果往往更理想,隐形矫正凭借其美观、舒适、便捷的特点,打破了传统“钢牙”的束缚,让成年人在不知不觉中收获整齐牙齿。
成年牙齿隐形矫正的核心优势
与传统矫正相比,隐形矫正的优势直击成年人的核心需求:美观,牙套采用医用高分子透明材料,厚度仅0.5-1mm,佩戴后几乎肉眼不可见,社交场合无需担心“钢牙”尴尬;舒适,无托槽和钢丝摩擦口腔黏膜,避免传统矫正的口腔溃疡、疼痛等问题;便捷,牙套可自行摘戴,进食、刷牙时无需特殊工具,能正常享用各类食物,口腔清洁也更彻底,降低龋齿和牙周炎风险;精准可控,通过3D数字化技术提前模拟整个矫正过程,医生可精细调整每一步移动方案,患者能直观看到预期效果,增强治疗信心。

哪些成年情况适合隐形矫正?
隐形矫正并非“万能”,主要适用于轻度至中度错颌畸形,包括:牙齿拥挤(排列不齐、重叠)、牙缝过大(先天缺失牙或牙量骨量不调)、龅牙(上前牙前突)、地包天(下前牙覆盖上前牙)、深覆合(上牙覆盖下牙过多)、深覆盖(上牙前突超过下牙)等,但需满足:口腔健康状况良好(无未控制的牙周炎、严重龋齿、根尖周炎等),牙槽骨具备改建能力(成年人牙槽骨仍有一定代谢活性,只是速度较青少年慢10%-15%),严重骨性错颌(如下颌后缩需正颌手术)或牙齿极度倾斜扭转者,可能需结合传统矫正或手术治疗。
成年隐形矫正的完整流程
- 初诊检查:医生通过口腔检查、全景片、头颅侧位片、CBCT等影像学资料,评估牙齿、牙根、牙槽骨及颌骨情况,判断是否适合隐形矫正。
- 数据采集与方案设计:采用口内扫描仪获取牙齿三维数据,导入专业软件生成数字模型,医生结合患者诉求,设计个性化矫正方案,包括牙齿移动步骤、治疗周期(通常1.5-3年),并通过动画模拟矫正效果,患者确认后提交加工。
- 牙套制作与佩戴:工厂根据方案通过3D打印技术定制多副牙套(一般20-40副),患者收到后按顺序佩戴,每副牙套戴2周,期间除进食、刷牙外需全天佩戴(每天≥20小时)。
- 复诊调整:每6-8周复诊一次,医生检查牙齿移动进度,必要时调整方案或补充牙套。
- 保持阶段:矫正结束后需佩戴保持器(通常透明压膜保持器或 Hawley 保持器),夜间佩戴至少1年,之后逐步减少频率,防止复发。
成年矫正的注意事项
成年矫正需格外关注口腔卫生,因牙套遮挡易藏匿食物残渣,需餐后刷牙、使用牙线,避免矫正中龋齿或牙周问题;饮食管理,佩戴牙套时避免过硬(坚果、螃蟹壳)、过黏(口香糖、年糕)食物,防止牙套变形或脱落;疼痛应对,初戴或更换牙套后1-3天可能出现轻微酸胀,属正常现象,可吃软食、冷敷缓解;耐心配合,成年矫正周期较长,需严格佩戴牙套,按时复诊,避免因“偷懒”导致延长治疗时间或效果打折。
隐形矫正与传统矫正的对比
| 维度 | 传统矫正(金属/陶瓷托槽) | 隐形矫正 |
|---|---|---|
| 美观性 | 差(托槽钢丝明显) | 好(透明牙套几乎隐形) |
| 舒适度 | 较差(易磨嘴,需戴矫治蜡) | 高(无尖锐部件,材质柔软) |
| 清洁难度 | 难(需正畸牙刷、冲牙器) | 易(可摘戴,正常刷牙使用牙线) |
| 饮食限制 | 多(避免硬黏食物) | 少(进食时取下牙套) |
| 适用范围 | 广(包括复杂骨性问题) | 中(适合轻中度错颌畸形) |
| 复诊频率 | 4-6周一次 | 6-8周一次 |
| 价格 | 较低(1.5万-3万元) | 较高(3万-8万元,视品牌和方案) |
维护与长期效果
隐形矫正的“隐形”不等于“省心”,牙套需用牙膏软刷轻刷,避免热水浸泡(防止变形);保持器是防止复发的关键,矫正后牙齿仍有回到原位的趋势,需终身佩戴保持器(频率随时间降低),成年矫正后需定期(每年1-2次)复查口腔,保持牙齿健康状态。
相关问答FAQs
Q1:成年人矫正牙齿会比青少年慢很多吗?
A1:成年人的牙槽骨改建速度较青少年慢10%-15%,因此矫正时间可能略长(青少年平均1-2年,成年人1.5-3年),但只要牙周健康、方案合理,且患者配合度高(严格佩戴牙套、按时复诊),时间差异在可控范围内,隐形矫正的精准设计还能通过分步移动缩短部分疗程,复杂病例可能需联合传统矫正或骨钉辅助,但医生会在初诊时明确评估。

Q2:隐形矫正的效果真的能和传统矫正一样好吗?
A2:隐形矫正技术已非常成熟,对于90%以上的常见错颌畸形(如拥挤、牙缝、轻度龅牙、深覆合等),其效果与传统矫正相当,甚至更优(因移动更精准、对牙根损伤小),严重骨性错颌(如下颌后缩、上颌前突需手术)或牙齿极度倾斜者,传统矫正更具优势,但医生会在初诊时通过影像学检查判断,若患者坚持隐形矫正,可联合正颌手术实现功能与美观的统一。

