牙齿不齐不仅影响面部美观,还可能导致咀嚼功能下降、口腔清洁困难,甚至引发龋齿、牙周病等问题,牙齿矫正器通过持续、温和的力量,引导牙齿移动至理想位置,是解决牙齿畸形的有效手段,目前临床常用的矫正器种类多样,各有特点,选择合适的矫正器需结合个人口腔状况、年龄及生活习惯综合考量。
常见牙齿矫正器类型及特点
不同矫正器在设计原理、美观度、舒适度及适用情况上存在差异,以下是主流类型的对比:

| 类型 | 特点 | 适用人群 | 优缺点 |
|---|---|---|---|
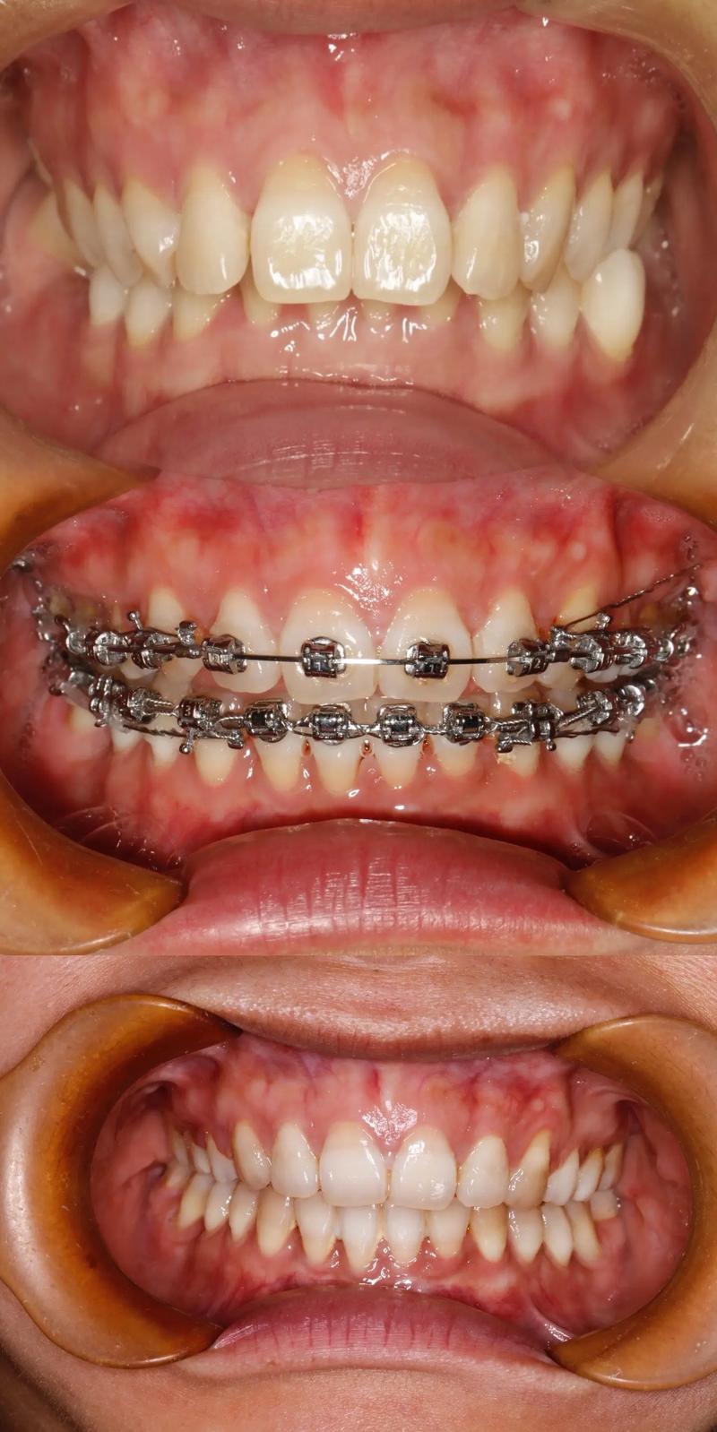
| 传统金属托槽矫正器 | 金属材质托槽粘接于牙齿表面,通过弓丝传递力量,性价比高 | 预算有限、复杂错颌畸形(如牙列拥挤、深覆合)患者,青少年为主 | 优点:强度高、适用范围广、费用低;缺点:美观度差、易刮嘴、口腔清洁难度大 |
| 陶瓷托槽矫正器 | 托槽为透明或牙色材质,贴近牙齿颜色,兼顾美观与功能 | 对美观有要求、轻中度错颌畸形患者 | 优点:美观度较好;缺点:材质脆性大、易染色(咖啡、茶等)、费用略高于金属款 |
| 自锁托槽矫正器 | 托槽自带闭锁结构,减少弓丝与托槽摩擦力,无需结扎丝 | 追求矫正效率、对不适感敏感者,或复杂病例需缩短周期者 | 优点:复诊间隔延长(6-8周)、疼痛感轻、牙齿移动效率高;缺点:费用较高、体积略大 |
| 隐形矫正器 | 由透明高分子材料制成,分阶段定制可摘戴牙套,完全隐形 | 成年人、社交需求高、轻中度错颌畸形(如牙缝、轻微拥挤)患者 | 优点:美观度高、可自由摘戴、口腔清洁方便;缺点:需严格佩戴(每天20小时以上)、费用高、复杂病例效果有限 |
| 舌侧矫正器 | 托槽粘接于牙齿内侧,完全隐藏于口腔内,隐形效果最佳 | 对美观要求极高、经济条件允许的患者 | 优点:完全隐形、不影响外观;缺点:费用高(5-10万)、清洁难度极大、初期不适感明显 |
牙齿矫正的完整流程
矫正需专业医生系统评估,通常分为以下阶段:
- 初诊检查:医生通过口腔检查、X光片(全景片、头颅侧位片)、口内/口外扫描获取牙齿、颌骨、面部数据,分析错颌类型(如牙性、骨性)。
- 方案设计:结合患者诉求与数据,制定个性化方案,包括矫正目标、周期、费用及矫正器选择,必要时需拔牙、扩弓等辅助治疗。
- 矫正器佩戴:根据方案定制或选择矫正器,传统/陶瓷/自锁托槽需粘接托槽并结扎弓丝,隐形矫正器需取模后3D打印分阶段牙套,医生调整初始力度。
- 定期复诊:传统矫正每4-6周复诊调整弓丝,隐形矫正每6-8周更换牙套,医生监控牙齿移动进度,及时处理托槽脱落、疼痛等问题。
- 保持阶段:矫正结束后拆除矫正器,需佩戴保持器(透明压模保持器或传统 Hawley 保持器),防止牙齿复发,通常保持1-2年,夜间长期佩戴。
矫正期间的注意事项
- 口腔卫生维护:矫正期间食物易嵌塞,需采用巴氏刷牙法(每天2次,每次3分钟),配合牙线、冲牙器清洁牙缝,避免托槽周围积牙菌斑引发龋齿或牙龈炎。
- 饮食调整:避免过硬(坚果、骨头)、黏性(口香糖、年糕)食物,防止托槽脱落;隐形矫正器佩戴时避免饮用咖啡、茶等染色饮品,摘下后及时清洁牙套。
- 矫正器护理:隐形矫正器用冷水清洗,勿用热水(导致变形),定期使用专业清洁片;传统托槽脱落需立即联系医生,勿自行处理。
- 疼痛管理:初期1-3天牙齿酸胀属正常现象,可吃温凉软食(粥、面条),冷敷面部缓解,若疼痛剧烈或持续超过1周需复诊。
矫正的优势与局限性
优势:改善咬合功能(提高咀嚼效率,缓解颞下颌关节紊乱);提升面部美观(改善“龅牙”“地包天”等,增强自信);预防口腔疾病(减少牙缝嵌塞,降低龋齿、牙周病风险)。
局限性:矫正周期长(一般1-3年,复杂病例更久);费用较高(传统1-3万,隐形3-8万,舌侧5-10万);需严格配合(隐形矫正需保证佩戴时间,传统矫正需避免硬食)。
相关问答FAQs
Q1:矫正期间牙齿疼痛正常吗?怎么缓解?
A:正常,初期牙齿移动导致轻微酸胀、疼痛,一般3-5天缓解,可吃温凉软食(粥、面条),避免咀嚼硬物,冷敷面部,遵医嘱服用布洛芬等止痛药,若疼痛加剧或持续超过1周,需复诊检查是否有托槽刺激或牙齿移动异常。
Q2:成年人矫正效果会不如青少年吗?
A:不一定,成年人生长发育停止,牙槽骨改建速度较慢,矫正周期可能稍长,但只要牙周健康(无严重牙周炎),同样能达到理想效果,青少年因颌骨发育潜力,对某些骨性畸形(如轻度下颌后缩)矫正更易,但成年人可通过正畸-正颌联合治疗解决复杂问题,最终效果取决于方案设计和配合度。


