牙齿矫正后,部分人可能会出现牙龈萎缩的情况,表现为牙龈组织退缩、牙根暴露,甚至伴随牙齿敏感或松动,这不仅影响美观,还可能预示着牙周健康问题,需要引起重视,牙齿矫正本身是调整牙齿位置、改善咬合关系的过程,但若操作或护理不当,可能对牙龈健康造成影响,因此了解其发生原因、表现及应对方法至关重要。
牙齿矫正后牙龈萎缩的发生,是多因素共同作用的结果,口腔卫生维护不当是首要原因,矫正过程中,托槽、弓丝等矫治器会增加清洁难度,若刷牙不彻底,牙菌斑和牙结石易堆积,长期刺激牙龈会导致炎症和退缩,矫正力不当或过大,牙齿移动过程中,若施力过快或方向异常,可能挤压牙龈组织,影响局部血液循环,导致牙龈缺血、萎缩,个体基础条件也很重要:部分人天生牙龈较薄,或存在牙周基础疾病(如牙周炎),矫正可能加速牙龈退缩,年龄增长本身也会导致牙龈生理性萎缩,矫正过程中的炎症反应可能进一步加剧这一过程,矫正后保持阶段若忽视口腔卫生,或保持器清洁不当,滋生细菌,也可能诱发牙龈萎缩。

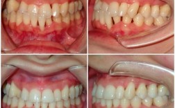
牙龈萎缩早期可能无明显自觉症状,随着病情进展,会出现牙龈退缩,牙根暴露,牙齿对冷热酸甜刺激敏感,甚至影响咀嚼功能,严重时,牙槽骨也会吸收,导致牙齿松动,甚至脱落,矫正期间及结束后需密切观察牙龈变化,定期进行牙周检查。
预防牙齿矫正后牙龈萎缩,需从矫正前、中、后三个阶段入手,具体措施如下表所示:
| 阶段 | 预防措施 | 注意事项 |
|---|---|---|
| 矫正前 | 进行全面的牙周检查,治疗 existing 牙周炎;评估牙龈厚度和健康状况 | 确保牙周健康后再开始矫正,避免“带病矫正” |
| 矫正中 | 采用巴氏刷牙法,每天至少2次,每次3分钟;使用牙线、冲牙器清洁矫治器周围;每3-6个月洗牙一次 | 选择软毛牙刷,避免用力过猛;定期复查牙周状况 |
| 矫正后 | 佩戴保持器期间保持清洁,每天用牙刷轻轻刷洗;定期复查,监测牙龈和牙齿状况 | 避免咬硬物,防止牙齿反弹;若发现牙龈退缩迹象,及时就医 |
若已出现牙龈萎缩,需根据严重程度干预,轻度萎缩可通过加强口腔卫生、使用抗敏感牙膏(如含氟或硝酸钾牙膏)缓解;中度需进行牙周基础治疗(如洁治、刮治),清除刺激因素;重度可能需牙周手术,如游离牙龈移植,以覆盖暴露的牙根,阻止萎缩进展,牙齿矫正后牙龈萎缩虽常见,但通过科学预防和及时干预可有效控制,矫正期间与医生密切配合,重视口腔卫生,是维护牙周健康的关键。
FAQs
问:牙齿矫正后牙龈萎缩能恢复吗?
答:轻度牙龈萎缩通过改善口腔卫生和牙周治疗可能停止进展,但已退缩的牙龈组织通常无法自行恢复;重度萎缩需手术干预,部分可通过移植牙龈组织改善外观和功能,建议尽早就诊。

问:矫正期间牙龈出血是正常的吗?需要处理吗?
答:矫正初期牙龈轻微出血可能因矫治器刺激或暂时性适应,若持续出血或伴随红肿、疼痛,多提示牙龈炎,需加强清洁(如使用牙缝刷)并及时复诊,必要时进行牙周治疗,避免发展为萎缩。

