隐形正畸作为一种新兴的牙齿矫正方式,凭借其美观、舒适、便捷等优势,逐渐成为越来越多牙齿问题患者的选择,与传统“铁齿钢牙”式的固定矫治器相比,隐形正畸通过透明可摘戴的牙套逐步移动牙齿,在矫正过程中几乎不影响正常社交与生活,最终实现牙齿排列整齐、咬合功能正常、面部线条协调的多重改善,本文将从牙齿状态、口腔健康、面部美观、生活质量等多个维度,详细对比隐形正畸治疗前后的变化,帮助读者全面了解矫正带来的积极影响。
治疗前:牙齿与口腔的常见问题
在决定进行隐形正畸前,多数患者存在不同程度的牙齿及口腔问题,这些问题不仅影响美观,更可能对口腔健康、咀嚼功能乃至心理状态造成负面影响。

牙齿排列异常
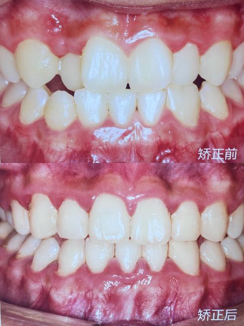
这是最常见的就诊原因,包括牙齿拥挤(牙量大于骨量,牙齿排列不齐,甚至出现“虎牙”扭转)、牙齿稀疏(牙量小于骨量,牙缝过大)、牙齿错位(如牙齿倾斜、扭转、萌出方向异常等),拥挤的牙齿会导致刷牙时牙刷毛难以彻底清洁牙面,容易嵌塞食物残渣,长期积累可能引发龋齿、牙龈炎;而稀疏的牙齿则可能因牙缝过大影响发音,甚至导致咬合时牙齿受力不均。
咬合关系紊乱
咬合问题包括深覆合(上前牙盖住下前牙过多,甚至下前牙咬伤上牙龈)、深覆盖(俗称“龅牙”,上前牙突出于下前牙过多)、反颌(俗称“地包天”,下前牙咬在上前牙的外侧)、开颌(上下牙齿咬合时无法接触,留有空隙)等,这些问题不仅影响咀嚼效率(如反颌患者可能无法充分研磨食物,增加胃肠负担),还可能导致颞下颌关节紊乱(出现关节弹响、疼痛、张口受限等症状),甚至因长期异常咬合磨损牙齿表面。
面部美观与心理影响
牙齿问题对面部美观的影响直接且显著:拥挤的牙齿可能导致笑容不自信,不敢露齿;龅牙可能使嘴唇无法自然闭合,形成“凸嘴”外观,影响侧脸线条;反颌则可能下面部显得过宽或前突,许多患者因此产生自卑心理,在社交场合刻意回避微笑、说话,甚至影响心理健康。
口腔健康隐患
牙齿排列不齐和咬合异常会破坏口腔微生态平衡:清洁难度增加,牙菌斑、牙结石易堆积,引发牙龈出血、牙周炎;异常咬合力可能导致个别牙齿过度磨损、松动,甚至脱落,严重的牙齿问题还可能影响发音清晰度,如“地包天”患者可能存在卷舌音发音困难。

治疗中:隐形正畸的渐进式改善
隐形正畸的核心是通过数字化技术设计个性化方案,患者需佩戴一系列透明牙套,每副牙套佩戴1-2周,牙齿在牙套的持续轻力作用下逐步移动至理想位置,治疗周期通常为1-3年,具体时间取决于牙齿问题的复杂程度,在此过程中,患者的口腔状态和感受会发生渐进式变化:
初期适应(1-2周)
佩戴第一副牙套时,牙齿可能轻微酸胀、无力,属正常现象,因为牙套正在对牙齿施加初始矫治力,此时需注意饮食(避免啃咬硬物,防止牙套破裂)和口腔清洁(餐后摘下牙套刷牙,避免食物残渣残留),由于牙套透明且贴合牙齿,社交中几乎不易察觉,患者可正常工作、生活。
中期调整(1-6个月)
随着牙套更换,牙齿开始明显移动,拥挤的牙齿逐渐出现缝隙,龅牙或反颌的改善初见成效,此时患者需严格遵循医嘱佩戴牙套(每天20-22小时),仅在进食、刷牙时取下,复诊频率一般为6-8周一次,医生会检查牙齿移动情况,必要时调整方案,此阶段口腔清洁难度降低,因牙齿排列逐渐整齐,牙刷更易清洁牙面。
后期精细调整(6个月-结束)
当牙齿排列接近整齐时,进入精细调整阶段,重点改善咬合关系(如调整上下牙的尖窝交错、磨平牙齿高点),此时可能需要配合使用附件(牙面上的小树脂点,增强牙套固位力)或橡皮筋,调整咬合细节,患者需注意避免食用色素深的食物(如咖啡、酱油),防止牙套染色影响美观。

治疗后:从“牙齿问题”到“口腔健康”的蜕变
隐形正畸结束后,拆除牙套的患者将迎来牙齿与口腔的全面改善,这种变化不仅体现在“整齐”上,更延伸至功能、健康与心理层面。
牙齿排列:整齐有序,形态自然
最直观的变化是牙齿排列整齐:拥挤的牙齿被“排开”,牙缝关闭;稀疏的牙齿靠拢,间隙消失;扭转、倾斜的牙齿调整至正常角度,牙齿与牙齿之间紧密接触,形成连续、流畅的牙弓形态,笑容变得自然、自信,曾经的“虎牙”不再突出,上下牙齿边缘呈一条平滑的曲线,微笑时露出的牙齿数量、弧度均符合美学标准。
咬合关系:功能恢复,受力均匀
通过精细调整,上下牙齿的咬合关系恢复正常:深覆合患者上前牙不再过度覆盖下前牙,下牙龈不再受咬伤;深覆盖患者龅牙回收,嘴唇可自然闭合;反颌患者下前牙移至上前牙内侧,侧脸线条变得柔和;开颌患者上下牙齿正常接触,咀嚼效率显著提升,咬合改善后,颞下颌关节负担减轻,关节弹响、疼痛等症状逐渐消失,咀嚼食物(如肉类、坚果)更轻松,有助于消化吸收。
口腔健康:清洁无死角,隐患消除
牙齿整齐后,口腔清洁难度大幅降低:牙刷、牙线可轻松清洁牙面邻间、牙龈沟等部位,牙菌斑、牙结石不易堆积,龋齿、牙周炎的发病风险显著降低,咬合受力均匀使牙齿磨损减少,个别牙齿因异常受力导致的松动、敏感问题得到改善,牙齿使用寿命延长。
面部美观:线条协调,气质提升
牙齿对面部中下部的支撑作用不可忽视:龅牙回收后,嘴唇不再前凸,侧脸轮廓更流畅;反颌矫正后,下巴不再前突或后缩,面部比例更协调;深覆合改善后,面部高度更自然,许多患者表示,矫正后不仅笑容更自信,整个人的气质也因面部线条的优化而提升,拍照时敢于大胆露齿,社交中更积极主动。
生活质量:心理与社交的双重改善
牙齿美观与功能的改善直接带动心理状态的积极变化:患者从之前的“不敢笑、不敢说话”转变为“自信表达”,社交焦虑明显减轻,隐形正畸治疗后无需担心传统矫治器的“铁齿钢牙”影响形象,职业发展(如需频繁沟通的岗位)、日常生活(如恋爱、社交)均无后顾之忧。
隐形正畸前后对比表
| 对比维度 | 治疗前状态 | 治疗后变化 | 改善效果 |
|---|---|---|---|
| 牙齿排列 | 拥挤/稀疏/扭转/错位,牙缝不均,牙弓形态不规则 | 牙齿整齐排列,牙缝适中,牙弓弧度流畅 | 笑观自然,提升面部美观度 |
| 咬合关系 | 深覆合/深覆盖/反颌/开颌,咬合无力,关节弹响 | 上下牙尖窝交错正常,咬合有力,关节无不适 | 咀嚼效率提升,消化负担减轻,关节功能恢复 |
| 口腔清洁 | 清洁困难,牙缝嵌塞食物,易发龋齿、牙龈炎 | 牙面易清洁,无清洁死角,龋齿、牙周病风险降低 | 口腔健康维护难度降低,牙齿使用寿命延长 |
| 面部美观 | 龅牙/凸嘴/地包天/面部比例不协调,笑容不自信 | 侧脸线条流畅,面部比例协调,笑容自信大方 | 提升个人气质,改善社交心理状态 |
| 舒适度与便利性 | 传统矫治器刮擦口腔黏膜,饮食受限,复诊频繁 | 透明牙套无刺激,可摘戴,饮食自由,复诊间隔长 | 矫正过程更舒适,不影响正常生活与工作 |
相关问答FAQs
Q1:隐形正畸适合所有牙齿问题吗?哪些情况不适合?
A:隐形正畸主要适用于轻度到中度的牙齿排列异常(如拥挤、稀疏、简单扭转)和部分咬合问题(如深覆合、深覆盖、简单反颌),但并非所有情况都适合:严重骨性错颌(如下巴严重后缩、上颌前突)、牙周病未得到控制的患者(牙槽骨吸收严重)、牙齿过大或过小导致牙量与骨量严重不匹配者,可能需要配合传统矫治器或正颌手术治疗,若患者存在口腔卫生习惯极差(如频繁不刷牙)、无法坚持佩戴牙套(每天佩戴时间不足20小时)等情况,也不建议选择隐形正畸。
Q2:隐形正畸治疗后会复发吗?如何保持效果?
A:牙齿矫正后存在一定的复发风险,尤其是牙周组织改建完成后,若牙齿周围肌肉力量、咬合习惯未改变,牙齿可能缓慢移回原位,为保持矫正效果,治疗后必须佩戴保持器:通常要求全天佩戴保持器6-12个月,之后改为夜间佩戴,持续1-2年,甚至长期佩戴(尤其是成年患者),需定期复查(每3-6个月一次),医生会检查牙齿稳定性,必要时调整保持器,避免用牙齿啃咬硬物(如开酒瓶、咬坚果)、纠正不良习惯(如吐舌、咬唇),也有助于预防复发。
