看到你关心小孩反合(地包天)矫正前后的变化,这确实是个值得关注的口腔问题!反合不仅影响美观,更可能对孩子的咀嚼功能、发音、颌骨发育甚至心理健康造成长远影响,作为家长,你希望看到矫正效果,这种心情完全可以理解,我来详细解释一下反合矫正前后的变化,并告诉你如何找到相关图片。
📌 小孩反合(地包天)矫正前后的关键变化
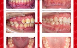
反合(医学上称为反颌或反𬌗)是指下颌牙齿咬合在上颌牙齿前面,矫正的目标是建立正常的咬合关系,改善面型和功能。

📊 矫正前(反合状态)的典型表现
-
牙齿咬合关系:
- 前牙反合: 最常见类型,上前牙咬在下前牙的唇侧(前面),上前牙可能内倾、拥挤或缺失,下前牙可能唇倾或拥挤。
- 后牙反合: 上颌后牙咬在下颌后牙的颊侧(外面),形成“锁结”关系,影响咀嚼和侧方运动。
- 全口反合: 整个牙弓都存在反合关系。
- 可能伴随牙齿拥挤、错位、牙间隙等问题。
-
面部轮廓:
- 侧面观: 鼻唇沟可能较深,下巴(颏部)看起来前突或位置靠下,面下1/3显得过长,可能呈“月牙脸”或“凹面型”。
- 正面观: 下颌角可能显得更宽、更方,面部中线可能不齐(下颌偏斜),笑容时上前牙暴露不足或内收。
-
功能影响:
- 咀嚼效率降低。
- 可能影响发音(尤其是齿音、舌音)。
- 长期可能影响颞下颌关节健康。
- 可能导致孩子自卑、不敢微笑。
🎯 矫正后(正常咬合建立)的典型变化
-
牙齿咬合关系:
(图片来源网络,侵删)- 前牙: 上前牙正常覆盖在下前牙的前方(约2-4mm),上下前牙对齐或轻微内倾。
- 后牙: 上下后牙尖窝交错,建立稳定的咬合支持,能进行有效的咀嚼和研磨。
- 牙齿排列: 牙齿排列整齐,无拥挤或明显间隙(根据情况可能需要拔牙)。
- 中线: 上下颌牙齿中线对齐。
-
面部轮廓:
- 侧面观: 鼻唇沟变浅或正常,下巴位置相对后缩或处于协调位置,面下1/3比例协调,面部轮廓更柔和、流畅,从“凹面型”趋向于“直面型”或“微凸面型”。
- 正面观: 下颌宽度显得协调,面部中线对称,笑容更自然、自信,上前牙暴露充分。
-
功能改善:
- 咀嚼效率显著提高。
- 发音清晰。
- 颞下颌关节负担减轻。
- 自信心提升,社交更积极。
🔍 如何获取小孩反合矫正前后对比图片
由于涉及患者隐私和版权问题,直接在网络上搜索“小孩反合矫正前后图片”可能获得的结果有限、质量参差不齐,甚至可能包含不专业或误导性的信息,以下是一些更可靠的建议:
-
咨询专业的正畸医生:
(图片来源网络,侵删)- 这是最推荐、最可靠的方式! 带孩子去看专业的正畸医生(口腔正畸专科医生),医生会:
- 对孩子的反合类型(牙性、功能性、骨性)、严重程度、病因进行专业评估。
- 拍摄矫正前的标准口腔照片(正面、侧面、咬合面)和X光片(全景片、头颅侧位片),这些是专业评估和制定方案的基础。
- 向你展示大量同类型、同年龄段反合矫正成功的案例照片(包括矫正前、矫正中、矫正后),这些图片最能说明问题,且具有权威性。
- 根据孩子具体情况,解释矫正方案(是否需要拔牙、使用哪种矫治器如活动矫治器、固定矫治器、功能矫治器等)、预期效果、疗程和费用。
- 优势: 获得针对你孩子的专业评估和个性化案例参考,信息准确可靠。
- 这是最推荐、最可靠的方式! 带孩子去看专业的正畸医生(口腔正畸专科医生),医生会:
-
访问知名正畸机构或医院的官网/公众号:
- 一些大型、专业的口腔医院或连锁正畸机构,其官网或官方微信公众号通常会展示一些经过授权的、匿化的成功案例,包括照片和简要说明,搜索“XX口腔医院正畸科”、“XX连锁齿科正畸”等关键词。
- 注意: 案例可能经过筛选,不一定包含所有类型,且需注意保护隐私(面部可能打码)。
-
在专业学术平台或数据库(需一定专业背景):
如PubMed, Google Scholar等,可以搜索相关学术论文(如“child Class III malocclusion treatment before after”),论文中通常会包含治疗前后对比的图片,但需要专业阅读能力。
-
谨慎使用图片搜索引擎:
- 如果尝试使用百度图片、谷歌图片等搜索关键词如“小孩反合矫正前后对比”、“地包天矫正前后对比图”、“child underbite before after braces”等。
- 务必注意:
- 隐私风险: 很多图片可能未经患者授权,侵犯隐私。
- 质量参差: 图片可能不清晰、角度不一致、未标注矫正时间或方法,难以准确判断效果。
- 误导性: 可能包含非专业人士操作的案例或过度美化的效果。
- 仅作参考: 只能作为对反合矫正效果的一个非常初步的、非专业的了解,绝对不能作为判断自己孩子是否需要矫正或选择何种方案的依据。
⚠ 重要注意事项
- 早期干预很重要: 对于功能性反合和部分骨性反合(尤其是生长发育高峰期前),混合牙列期(大约6-12岁) 是进行早期矫治的黄金时期,利用孩子的生长发育潜力,有时可以避免或简化后期的综合性治疗(如正畸正颌联合手术)。不要等到孩子换完牙再观察!
- 专业评估是前提: 反合成因复杂(遗传、不良习惯如吐舌、咬上唇、下颌前伸习惯、乳牙早失、替牙障碍等),类型多样(牙性、功能性、骨性)。必须由正畸医生进行专业检查和诊断,才能确定最佳治疗时机和方案。
- 矫正方式多样: 根据孩子年龄、反合类型、严重程度,医生会选择不同的矫治器:
- 活动矫治器: 常用于早期干预,纠正功能性反合或不良习惯。
- 固定矫治器(钢牙/陶瓷牙套): 最常用,适用于各类反合的精细调整。
- 功能矫治器(如FR-III、Twin Block等): 主要用于生长发育期儿童,引导颌骨向正常方向生长。
- 隐形矫治器: 适用于部分简单或配合度高的青少年反合病例。
- 正畸-正颌联合治疗: 对于严重的骨性反合,成年后可能需要结合正颌手术。
- 保持期必不可少: 矫正结束后,必须认真佩戴保持器,防止牙齿复发,反合的复发风险相对较高,尤其骨性因素明显者,保持期可能需要更长时间。
- 效果因人而异: 矫正效果取决于多种因素,包括反合类型、严重程度、开始治疗的年龄、生长发育潜力、患者的配合度、医生的技术水平等,医生会基于专业评估给出合理的预期。
要获得小孩反合矫正前后最真实、最有参考价值的图片,强烈建议带孩子去专业的正畸医生处进行咨询,医生不仅能提供专业的诊断和治疗方案,还能展示大量同类型成功的案例图片,让你直观了解矫正能达到的效果,医生会根据你孩子的具体情况,给出个性化的建议和预期。
反合矫正不仅仅是排齐牙齿,更是为了建立健康的咬合功能,塑造协调的面部轮廓,保护孩子的身心健康。 尽早带孩子找专业正畸医生评估,抓住最佳干预时机,这会让孩子未来拥有更自信的笑容和更健康的口腔功能。💪🏻
