在现代社会,牙齿的健康与美观已成为个人形象的重要组成部分,牙齿美白与矫正作为改善牙齿外观的两大核心手段,不仅能提升笑容自信,更能维护口腔功能,许多人对这两者的认知停留在“单纯变美”层面,实则它们各有侧重又相互关联,需结合口腔状况、个人需求科学规划。
牙齿美白:还原牙齿自然色泽
牙齿美白的核心是去除牙齿表面及深层的色素沉着,恢复牙齿原本的洁白度,常见的色素来源包括外源性(如咖啡、茶、红酒、烟草等)和内源性(如四环素牙、氟斑牙、牙髓坏死等),目前主流的美白方法可分为家庭美白与诊所美白两类,各有优缺点:

家庭美白包括美白牙膏、美白贴片、家用美白仪等,美白牙膏通过摩擦剂去除表面色素,效果温和但有限;美白贴片含低浓度过氧化氢,需连续使用1-2周,适合轻度外源性色素;家用美白仪采用冷光或蓝光激活美白剂,浓度高于贴片,但需注意使用频率,避免牙敏感。
诊所美白则效果更显著,包括冷光美白、皓齿美白、激光美白等,冷光美白通过高强度蓝光照射,催化过氧化氢(浓度30%-35%)渗透牙本质,去除深层色素,单次治疗30-60分钟,可提升5-14个色阶,适合中重度色素牙;皓齿美白在冷光基础上添加过氧化物强化剂,减少术后敏感,效果维持更久;激光美白则通过激光能量加速美白剂反应,时间更短,但对操作技术要求高。
需注意,美白并非适合所有人:严重牙周炎、牙釉质缺损者需先治疗基础疾病;孕妇、未成年人(16岁以下)不建议美白;有烤瓷牙、贴面者需单独处理,避免色差。
牙齿矫正:重建牙列与咬合功能
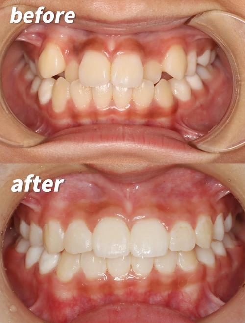
牙齿矫正通过外力调整牙齿位置,解决牙列拥挤、稀疏、龅牙、地包天等问题,不仅改善美观,更能恢复咀嚼功能,预防牙周病、颞下颌关节紊乱等疾病,目前矫正技术多样,可根据需求选择:

传统金属托槽矫正:采用金属托槽和弓丝,力度强,适用各类错颌畸形,价格较低(约1万-3万元),但美观度差,口腔清洁难度大。
陶瓷托槽矫正:托槽为透明陶瓷材质,接近牙色,美观度提升,价格略高于金属(约2万-4万元),但脆性较大,避免咬硬物。
隐形矫正:通过3D打印制作透明牙套,可自行摘戴,不影响美观和饮食,适合轻度至中度错颌畸形(约3万-8万元),但需严格佩戴(每天20小时以上),矫正周期可能略长。
舌侧矫正:托槽粘在牙齿内侧,完全隐形,价格最高(约5万-10万元),对医生技术要求极高,初期可能影响发音和口腔舒适度。
矫正前需进行全面检查:拍摄头颅侧位片、全景片,取模型分析牙列、颌骨、咬合关系,制定个性化方案;矫正期间每4-6周复诊调整,保持口腔卫生,避免托槽脱落;矫正后需佩戴保持器2年以上,防止复发。
美白与矫正的协同:顺序选择是关键
牙齿美白与矫正的顺序直接影响效果,通常建议“先矫正,后美白”:
- 矫正优先:矫正过程中,托槽会遮挡牙面,美白剂无法均匀作用于全口牙齿;若先美白,矫正后牙齿移动可能暴露未美白的区域,导致“色差”。
- 矫正后美白更精准:拆除矫治器后,牙齿排列整齐,无死角,美白剂可全面渗透,效果更均匀;矫正期间可能因口腔清洁难度增加导致色素沉着,术后美白可彻底改善。
- 特殊情况灵活处理:若仅需少量调整(如简单排齐),且患者对美观要求迫切,可在医生评估后先进行轻度美白,再开始矫正,但需确保美白剂不影响托槽粘接。
注意事项与维护
无论是美白还是矫正,术后维护都至关重要:
- 美白后:24小时内避免冷热刺激、深色食物和饮料,使用抗敏感牙膏;每半年进行一次口腔清洁,减少色素堆积。
- 矫正后:佩戴保持器期间避免咬硬物,保持器需用专用清洁剂清洗;定期复查牙齿稳定性和咬合情况,同时注意口腔清洁,使用正畸牙刷、牙线间隙刷,防止龋坏。
相关流程建议
- 口腔检查:排查龋齿、牙周炎、牙髓炎等问题,先治疗再矫正/美白。
- 矫正方案设计:根据畸形类型选择矫正器,佩戴1-3年,期间每4-6周复诊。
- 拆除矫治器:等待牙齿稳定(约3-6个月),制作保持器并开始佩戴。
- 牙齿美白:选择诊所美白(如冷光)快速见效,或家庭美白长期维持,避免频繁操作。
相关问答FAQs
Q1:牙齿矫正后一定要美白吗?
A:不一定,矫正后是否美白取决于牙齿颜色:若本身牙色正常,仅通过矫正已改善美观,无需美白;若存在明显色素沉着(如长期喝茶、咖啡或四环素牙),可在矫正后选择美白,提升整体效果,但需注意,矫正后牙齿可能因托槽周围釉质脱矿出现“白垩色斑”,需先通过涂氟等方式改善,再考虑美白。
Q2:美白和矫正可以同时进行吗?
A:一般不建议同时进行,矫正时托槽会遮挡牙面,导致美白剂无法均匀作用,且美白过程中的酸性和氧化性可能影响托槽粘接稳定性,增加脱落风险,若患者有强烈需求,可选择隐形矫正(可摘戴),在摘下牙套时进行美白,但需严格遵医嘱控制美白频率,避免损伤牙釉质。
