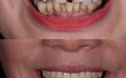
二次正畸是指在完成首次正畸治疗后,因牙齿复发、美观需求改善、功能问题或咬合调整等进行的再次矫正治疗,与初次正畸相比,二次正畸的复杂性更高,其中牙根吸收是值得关注的风险之一,牙根吸收是指牙根表面牙骨质的持续性破坏,导致牙根长度缩短,严重时可能影响牙齿稳定性和寿命。
牙根吸收的机制与正畸力密切相关,牙齿移动过程中,牙槽骨改建的同时,牙根表面也会发生吸收与修复的动态平衡,当正畸力过大、持续时间过长,或牙齿移动方向不合理(如大幅度扭转、压低)时,这种平衡可能被打破,导致破骨细胞活性增强,牙根吸收超过修复速度,二次正畸中,患者往往存在牙根吸收的潜在风险:首次正畸可能已对牙根造成轻微损伤(如牙根尖圆钝、吸收陷窝),二次矫正时这些区域的修复能力下降;二次矫正常涉及更复杂的牙齿移动(如牙齿转位、牙根 torque 调整),对牙根的刺激更大。

个体因素也显著影响牙根吸收的发生率,年龄是重要变量,青少年牙根尚未发育完全,牙骨质较薄,二次正畸时吸收风险高于成年人;牙根形态异常(如弯根、短根、锥形根)的牙齿,受力时应力集中,更易发生吸收;牙周健康状况差(如牙槽骨吸收、牙龈萎缩)会削弱牙根周围支持组织的缓冲作用,增加吸收风险,既往矫正史中,若首次矫正曾使用过较大力度或时间过长,牙根已存在隐性损伤,二次矫正时吸收风险会进一步升高。
牙根吸收的临床表现具有隐匿性,早期患者多无自觉症状,常通过影像学检查发现,随着吸收进展,可能出现牙齿松动度增加、咬合敏感,甚至牙髓坏死(根尖孔吸收严重时影响牙髓血供),诊断主要依赖X光片和CBCT:根尖片可显示牙根长度变化和吸收陷窝,但二维图像易受重叠干扰;CBCT能三维重建牙根形态,清晰显示吸收的位置、范围和程度,对评估二次正畸风险和制定方案至关重要。
预防二次正畸牙根吸收需多管齐下,矫正前必须进行全面评估,包括拍摄CBCT检查牙根形态、长度及吸收情况,对高风险牙根制定个性化移动方案;治疗中遵循“轻力、间歇力”原则,优先使用镍钛丝等柔和材料,避免连续加力,每次复诊调整力度时需监测牙齿移动反应;缩短矫正周期,避免长期处于牙齿移动状态,对存在牙周问题的患者需先控制炎症再启动矫正。
若矫正过程中发现牙根吸收,处理策略需根据吸收程度调整:轻度吸收(吸收<根长1/3)且无临床症状,可密切观察,减少正畸力并延长复诊间隔;中度吸收(1/3≤吸收<1/2)伴松动或敏感,需暂停加力,给予牙根修复时间,必要时使用脱敏药物;重度吸收(吸收≥1/2)或出现牙髓坏死,应终止矫正,完善根管治疗后考虑修复方案,严重松动者则需拔除患牙。

相关问答FAQs
Q1:二次正畸一定会导致牙根吸收吗?
A1:不一定,牙根吸收的发生与正畸方案设计、力度控制、个体牙根条件等多种因素相关,若二次矫正前充分评估牙根风险,治疗中采用轻力原则并定期监测,多数患者可避免明显的牙根吸收,但相较于初次正畸,二次矫正因牙齿移动更复杂,吸收风险相对更高,需医患共同重视。
Q2:牙根吸收到什么程度需要停止矫正?
A2:当牙根吸收超过根长1/3,或出现牙齿Ⅲ度松动、牙髓活力异常(如冷热测试无反应、牙根尖周暗影扩大)时,需立即停止矫正并进一步评估,吸收程度可通过CBCT测量,若吸收进展迅速或影响牙齿长期稳定性,应终止治疗,优先进行牙周或牙髓治疗,必要时拔除患牙以避免邻牙受损。
