牙齿健康与美观是现代人关注的重点,牙齿正畸和烤瓷牙作为两种常见的口腔治疗方式,分别针对不同的口腔问题,却都能帮助人们获得更健康的牙齿和更自信的笑容,本文将详细解析两者的定义、适用情况、治疗流程、优缺点及选择要点,帮助读者全面了解这两种治疗方式。
牙齿正畸:重塑牙齿排列与咬合功能
牙齿正畸,俗称“戴牙套”,是通过矫治器对牙齿施加持续、轻柔的生物力,引导牙齿在牙槽骨内缓慢移动,最终排列整齐、改善咬合关系、调整面型轮廓的治疗过程,其核心目标是解决牙齿排列问题(如拥挤、稀疏、错位)和咬合异常(如龅牙、地包天、深覆合等),不仅提升美观,更能恢复口腔正常功能,预防因咬合异常导致的牙齿磨损、牙周疾病等问题。

适用人群
正畸治疗覆盖范围广泛,包括:
- 青少年:乳牙替换完成后的恒牙期(通常10-14岁),此时颌骨仍发育中,移动效率高,是矫正的“黄金时期”;
- 成年人:只要牙周健康、无严重骨性问题,任何年龄均可矫正,但治疗时间可能略长于青少年;
- 特定需求者:如牙齿拥挤影响清洁、错颌导致发音障碍、前牙深覆合可能造成创伤等。
常见矫治方式
- 传统金属托槽矫治:使用金属托槽和弓丝施力,性价比高,适用范围广,但美观度较低;
- 陶瓷托槽矫治:托槽为透明陶瓷材质,接近牙齿颜色,美观度提升,强度略低于金属;
- 隐形矫治:通过3D打印定制透明牙套,可自行摘戴,美观舒适,适合轻度至中度错颌,但需严格佩戴(每天20小时以上);
- 舌侧矫治:将托槽粘在牙齿舌侧面,完全隐形,技术难度高,价格昂贵,适合对美观要求极高的患者。
治疗流程
正畸通常需6个月至3年,具体流程包括:
- 初诊检查:拍摄X线片(曲面断层片、头颅侧位片)、取模、口内检查,评估牙齿、颌骨、牙周情况;
- 方案设计:医生根据检查结果制定个性化方案,可能需拔牙、扩弓或种植支钉辅助;
- 戴矫治器:将托槽或牙套粘接/佩戴到牙齿上,调整施力方向;
- 定期复诊:每4-8周复诊一次,调整弓丝或更换牙套,监控牙齿移动进度;
- 保持阶段:拆除矫治器后,佩戴保持器(通常需2年以上,夜间长期佩戴),防止牙齿复发。
优缺点
- 优点:从根源解决牙齿排列问题,改善咬合功能,提升面部美观(如改善“凸嘴”“瘪嘴”),长期受益;
- 缺点:治疗周期长,佩戴期间需注意口腔清洁(易滋生龋齿和牙周炎),可能有短期疼痛或不适,部分患者需拔牙或戴头帽等辅助装置。
烤瓷牙:修复牙齿形态与缺损的“美颜利器”
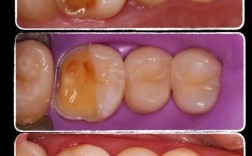
烤瓷牙是一种牙体修复体,以金属为内冠(或全瓷无金属内冠),外层覆盖与天然牙颜色相近的瓷粉,通过粘接剂固定在牙齿上,主要用于修复缺损、变色或形态异常的牙齿,恢复其功能与美观。
适用情况
烤瓷牙的主要适应症包括:

- 牙齿大面积缺损:如龋齿(蛀牙)导致牙冠严重缺损,或根管治疗后牙齿变脆,需用牙冠保护;
- 牙齿美观问题:四环素牙、氟斑牙、死髓牙变色(如发黑、发灰),或牙齿形态异常(如过小牙、锥形牙);
- 修复缺失牙:作为固定桥的基牙,或种植牙的上部修复体;
- 矫正后辅助:正畸后个别牙齿形态仍不理想,或牙釉质发育不良需覆盖修复。
材料分类
- 金属烤瓷牙:内冠为镍铬合金、钴铬合金等金属,外层为瓷,强度高、价格低,但金属可能透出灰色影响美观,少数人可能对金属过敏;
- 全瓷牙:内冠为氧化锆、铸瓷等全瓷材料,无金属、生物相容性好,美观度极佳(通透性接近天然牙),强度高(尤其氧化锆),适合前牙美学区和后牙修复,但价格较高。
治疗流程
烤瓷牙治疗通常需2-3次就诊,2周左右完成:
- 基牙预备:对需修复的牙齿进行磨除(通常磨除1.5-2mm牙体),为牙冠预留空间;
- 取模:用硅橡胶或数字化扫描获取牙齿模型,送技工室制作牙冠;
- 临时冠制作:用树脂制作临时牙冠,保护预备后的牙齿;
- 试戴与粘固:牙冠制作完成后试戴,调整咬合和颜色,合适后用粘接剂永久固定。
优缺点
- 优点:修复速度快(1-2周完成),即刻改善牙齿形态、颜色和功能,适用范围广,全瓷牙美观度和生物相容性更佳;
- 缺点:需磨除部分健康牙体(不可逆),可能损伤牙髓(需根管治疗),长期使用可能出现边缘微渗漏、继发龋或瓷冠崩瓷,金属烤瓷牙可能存在金属离子释放风险。
正畸与烤瓷牙的关系:如何选择与结合?
正畸和烤瓷牙并非“二选一”,可根据口腔问题协同使用,但需明确治疗顺序:
- 先正畸,后烤瓷牙:若同时存在牙齿排列不齐和牙体缺损/变色,应先通过正畸排齐牙齿,再对个别牙齿进行烤瓷牙修复,牙齿拥挤伴中切牙缺损,先正畸将牙齿排齐,再制作烤瓷牙修复缺损,避免因牙齿位置不正导致烤瓷牙边缘不密合或美观不佳。
- 特殊情况:若个别牙齿缺损严重影响正畸(如牙齿过短无法粘贴托槽),可先制作临时修复体辅助正畸,待正畸完成后更换为永久烤瓷牙。
选择时需考虑:
- 问题优先级:咬合和排列异常需优先正畸,牙体缺损或变色优先烤瓷牙修复;
- 口腔健康:牙周炎患者需先治疗牙周病,再进行正畸或烤瓷牙;
- 预算与美观需求:正畸周期长但效果持久,烤瓷牙修复快但需磨牙,全瓷牙美观度高但价格贵,需综合权衡。
牙齿正畸与烤瓷牙核心对比表
| 对比项目 | 牙齿正畸 | 烤瓷牙 |
|---|---|---|
| 治疗目标 | 排齐牙齿、调整咬合、改善面型 | 修复牙体缺损、改善牙齿形态/颜色 |
| 适用情况 | 牙齿拥挤、稀疏、错颌、龅牙、地包天等 | 大面积龋齿、牙变色、牙体缺损、缺失牙修复 |
| 治疗时间 | 6个月-3年(含保持期) | 2周左右(分2-3次就诊) |
| 对牙体影响 | 无需磨牙(拔牙除外) | 需磨除1.5-2mm健康牙体 |
| 美观度 | 逐渐改善(隐形/舌侧矫治美观度高) | 即刻改善(全瓷牙美观度接近天然牙) |
| 价格范围 | 5000-50000元(因矫治方式差异大) | 1000-8000元/颗(金属烤瓷较低,全瓷较高) |
| 维护要求 | 认真清洁、避免过硬食物、坚持戴保持器 | 避免咬硬物、定期检查清洁 |
相关问答FAQs
问题1:牙齿正畸和烤瓷牙可以同时进行吗?
解答:通常不建议同时进行,正畸过程中牙齿需要移动,而烤瓷牙是固定修复体,会阻碍牙齿在牙槽骨内的正常移动,可能导致矫正效果不佳(如牙齿倾斜、移动不到位)或烤瓷牙脱落,正确的顺序是先完成正畸治疗,待牙齿排列稳定、保持器佩戴一段时间后(通常3-6个月),再根据修复需求制作烤瓷牙,若个别牙齿因严重缺损无法进行正畸,可在医生评估下先制作临时修复体,正畸后再更换为永久烤瓷牙。

问题2:做完正畸后,所有牙齿都需要做烤瓷牙吗?
解答:不需要,正畸的主要目的是排齐牙齿、调整咬合,多数人正畸后通过保持器维持即可,牙齿形态和颜色正常时无需额外修复,但如果正畸后存在以下情况,医生可能会建议做烤瓷牙或全瓷冠:① 个别牙齿存在严重缺损(如正畸前已大面积龋坏);② 牙齿形态异常(如过小牙、锥形牙),影响美观;③ 正畸过程中托槽粘接/去除导致牙釉质轻微损伤,需覆盖保护,是否需要修复需由医生根据口腔检查结果决定,避免不必要的磨牙和经济负担。
