安氏三类错颌畸形是正畸临床中较为复杂的类型,表现为近中磨牙关系、下颌前突或上颌后缩,可能伴随牙性、骨性或功能性因素,其预后受错颌类型、患者年龄、治疗方式、生长发育潜力及依从性等多因素影响,需综合评估以制定合理治疗方案,最终实现功能与美观的平衡。
影响安氏三类正畸预后的关键因素
-
错颌类型与严重程度
牙性安氏三类(仅牙齿排列异常,如前牙反颌、后牙中性)预后较好,通过单纯正畸治疗可纠正;骨性安氏三类(上下颌骨发育不调,如下颌过度发育或上颌发育不足)预后较差,常需联合正颌手术,尤其成年患者;功能性安氏三类(由不良习惯如口呼吸、异常吞咽引起)若早期干预,去除病因后预后良好,可能发展为骨性畸形。
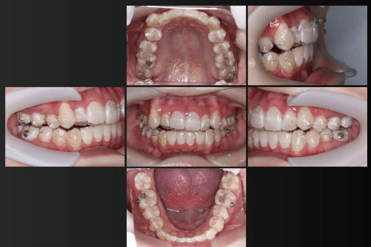
(图片来源网络,侵删) -
生长发育阶段
儿童及青少年患者处于生长发育高峰期,对功能性矫治器(如FRⅢ、 twin block)反应较好,可通过引导颌骨生长改善骨性畸形;成年患者生长发育停止,骨改建能力有限,正畸治疗主要解决牙齿代偿,严重骨性问题需依赖手术,预后相对复杂。 -
治疗方式选择
不同治疗方式直接影响预后:固定矫治器(如直丝弓技术)可精细调整牙齿位置,适用于牙性或轻度骨性病例;功能矫治器适用于生长发育期患者,促进颌骨协调;正畸-正颌联合治疗是重度骨性安氏三类的有效手段,可显著改善面部美观与咬合功能,但手术风险及术后恢复需纳入预后考量。 -
患者依从性与口腔卫生
安氏三类治疗周期较长(通常2-3年),需患者配合戴用矫治器、保持器,保持口腔卫生,依从性差者易出现牙齿移动不足、复发、龋病或牙周问题,影响远期预后。
安氏三类正畸预后的具体表现
-
牙齿排列与咬合关系
牙性病例通过正畸治疗可建立中性磨牙关系、覆盖正常(3-5mm),牙齿排列整齐;骨性病例单纯正畸仅能改善牙齿代偿(如下颌牙舌倾、上颌牙唇倾),骨性畸形无法完全纠正,需手术辅助,治疗后咬合功能(咀嚼、发音)通常可恢复,但严重骨性病例未经手术者,可能存在咬合创伤或颞下颌关节紊乱风险。
(图片来源网络,侵删) -
面部美观改善
轻中度安氏三类患者治疗后,侧貌可获显著改善,如减少下颌前突、改善鼻唇颏关系;重度骨性患者需正颌手术才能实现面部对称与协调,美观预后还与软组织厚度、唇部张力等因素相关,部分患者可能需联合正颌外科或正畸修复治疗。 -
长期稳定性
牙性病例稳定性较高,复发率约10%-20%;骨性病例复发风险较高,尤其是未经手术者,需长期保持(至少2年,甚至终身),影响因素包括保持器佩戴、生长发育(青少年患者)、不良习惯(如吐舌)等。 -
并发症风险
正畸治疗中可能出现牙根吸收(发生率约5%-10%)、牙槽骨丧失、牙龈退缩等;正颌手术相关风险包括出血、感染、神经损伤(如下牙槽神经暂时性麻木)等,但严重并发症发生率较低(<1%),治疗后若出现复发,需二期治疗或调整保持方案。
不同治疗方法的预后对比
| 治疗方式 | 适应证 | 预期效果 | 稳定性 | 并发症风险 |
|---|---|---|---|---|
| 固定矫治 | 牙性、轻度骨性安氏三类 | 纠正牙齿排列,改善咬合,部分改善侧貌 | 良好(复发率10%-20%) | 牙根吸收、牙龈退缩 |
| 功能性矫治 | 生长发育期功能性、轻度骨性 | 引导颌骨生长,纠正反颌,改善面型 | 中等(需长期保持) | 临时性咬合不适 |
| 正畸-正颌联合治疗 | 重度骨性安氏三类(成年) | 完全纠正骨性畸形,实现功能与美观统一 | 良好(复发率<5%) | 手术风险、神经损伤 |
相关问答FAQs
Q1:安氏三类正畸治疗后复发率高吗?如何预防?
A1:安氏三类正畸后的复发率与错颌类型、治疗方式及患者依从性相关,牙性病例复发率约10%-20%,骨性病例未经手术者复发风险较高(可达30%以上),预防措施包括:①治疗后长期佩戴保持器(至少2年,骨性病例建议终身佩戴);②及时纠正不良习惯(如吐舌、口呼吸);③定期复查(每3-6个月一次),监测牙齿及颌骨变化;④青少年患者需持续关注生长发育,必要时进行二期干预。
Q2:骨性安氏三类患者必须通过手术才能改善吗?
A2:并非所有骨性安氏三类都需要手术,对于生长发育期的轻中度骨性患者,可通过功能性矫治器(如FRⅢ、Activator)引导上颌发育、抑制下颌生长,部分病例可实现非手术矫正;成年患者若骨性畸形较轻(如下颌前突<4mm),可通过正畸治疗进行牙齿代偿(如下颌牙舌倾、上颌牙唇倾),改善咬合和侧貌,但无法改变骨骼结构;重度骨性畸形(如下颌前突>4mm、伴面部明显不对称)则需正畸-正颌联合治疗,才能获得理想的功能与美观效果,具体方案需结合X线头影测量、模型分析及患者需求综合制定。
