做正畸前,医生通常会建议拍一系列口腔影像片子,这是很多患者的疑问:“牙齿不齐直接戴牙套不就行了吗?为什么要拍片子?”正畸治疗远不止“排齐牙齿”这么简单,它涉及骨骼、牙齿、牙槽骨、肌肉等多维度的协调与改建,而口腔影像片子正是医生“透视”口腔内部的“第三只眼”,是制定科学方案、规避治疗风险、保障矫正效果的核心依据。
正畸拍片子的核心目的,在于全面评估口腔“生态环境”,包括骨骼结构、牙齿状态、牙槽骨健康及邻组织关系,骨骼层面需判断上下颌骨的位置关系是否协调,是否存在“地包天”、“龅牙”等骨性畸形,这直接关系到矫正方案的设计——是单纯通过正畸移动牙齿改善,还是需要联合正颌手术,牙齿层面需明确每颗牙的牙根长度、形态、位置,以及是否存在埋伏牙、多生牙、牙根吸收等问题,避免矫正中因牙齿状态异常导致移动失败或损伤,牙槽骨作为牙齿的“地基”,其高度、密度、有无吸收等情况,决定了牙齿移动的安全范围和长期稳定性,片子还能帮助医生识别邻组织风险,比如上颌窦位置、下颌神经管走向,避免在牙齿移动中损伤重要解剖结构。

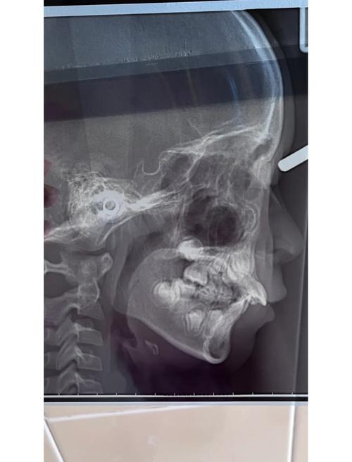
常用的正畸影像片子类型及作用各有侧重,具体如下:
| 片子名称 | 拍摄目的 | 典型应用场景 |
|---|---|---|
| 全景片(曲面断层片) | 观察全口牙齿的发育、萌出情况,牙根形态、长度,牙槽骨高度,以及是否存在埋伏牙、多生牙、囊肿等 | 常规初诊筛查,了解牙齿整体排列和牙根状态 |
| 头颅侧位片 | 分析颅面骨骼的形态、位置关系(如SNA角、SNB角、ANB角),评估面部软组织轮廓,判断骨性畸形类型 | 骨性错颌畸形诊断,制定拔牙方案,预测矫正后面型变化 |
| CBCT(锥形束CT) | 三维重建口腔结构,可任意层面观察牙根与骨壁关系、埋伏牙位置、骨量不足区域、上颌窦及神经管位置 | 复杂病例(如埋伏牙牵引、骨性畸形术前评估、种植支抗植入) |
| 根尖片 | 单颗牙齿的根尖周情况,观察牙根吸收、根尖炎症、牙槽骨破坏等细节 | 矫正中监测个别牙齿移动情况,或存在根尖病变时评估治疗可行性 |
若省略拍片环节,仅凭肉眼观察和口内检查制定方案,可能带来多重风险,漏诊埋伏牙可能导致矫正中牙齿移动受阻,甚至需要中途矫正;误判骨性畸形可能使单纯正畸效果有限,需二次手术;对牙根长度和牙槽骨状态的忽视,可能在牙齿移动中造成牙根吸收或骨开裂,影响牙齿长期存活;未识别神经血管位置还可能引发术中损伤,导致麻木或出血等并发症,这些风险不仅延长治疗周期,更可能对口腔健康造成不可逆的损害。
正畸拍片子并非“过度检查”,而是治疗安全的“防护网”和效果优化的“导航仪”,从初诊方案设计到矫正过程中的动态监测,再到矫正后的效果评估,影像学检查贯穿始终,帮助医生在三维空间中精准规划牙齿移动路径,平衡功能与美观,当医生建议拍片子时,这其实是为你的口腔健康负责,是迈向健康整齐笑容的重要一步。
FAQs

Q1:正畸拍片子有辐射吗?安全吗?
A:正畸常用的全景片、头颅侧位片、根尖片属于低剂量辐射,其辐射剂量相当于1-2次胸部X光检查,在安全范围内,CBCT的辐射量稍高,但医生会严格遵循“合理使用、最小剂量”原则,仅对复杂病例拍摄,目前影像设备均有辐射防护措施,且单次检查的辐射累积风险远低于治疗获益,不必过度担心。
Q2:所有正畸患者都需要拍CBCT吗?
A:并非如此,对于简单错颌畸形(如仅牙齿轻度不齐、无明显骨性问题、无埋伏牙等),常规全景片加头颅侧位片已能满足诊断需求,CBCT主要用于复杂病例,如埋伏牙定位、骨量评估、正颌手术规划等,医生会根据具体检查结果判断是否需要,避免不必要的辐射和费用。

