牙齿正畸头颅侧位片是口腔正畸诊疗中核心的影像学检查手段,通过拍摄头颅矢状位的X线影像,全面呈现颅面骨骼、牙齿排列及软组织形态的立体关系,为正畸诊断、方案设计及疗效预测提供客观依据,它与口内曲面断层片、全景片等共同构成正畸影像检查体系,但因能同步评估骨骼、牙齿、软组织的矢状向和垂直向结构,被誉为“正畸诊断的基石”。
头颅侧位片的核心作用
头颅侧位片的价值在于其“全景式”评估能力,具体可归纳为四个维度:

- 骨骼关系评估:明确上下颌骨相对于颅骨的位置(如上颌前突/后缩、下颌前突/后缩)、面部垂直生长型(高角面型、低角面型或均角面型),判断骨性错颌的类型与程度。
- 牙齿位置分析:测量牙齿倾斜度(如上前牙唇倾/舌倾)、覆盖覆合关系(深覆盖、深覆合、反颌、开颌)、牙根与牙槽骨的相对位置,评估牙齿拥挤或间隙的原因。
- 软组织形态观察:评估唇部突度、鼻唇角、颏部形态等,预测矫治后软组织侧貌改善效果,尤其是对美学要求高的患者至关重要。
- 生长发育预测:通过骨龄(如颈椎椎体形态、手腕骨化中心)判断患者剩余生长潜力,指导矫治时机选择(如利用青春期生长高峰改善骨性错颌)。
拍摄方法与质量控制
头颅侧位片的拍摄需严格标准化,以确保影像准确性和可重复性:
- 患者体位:取坐位,头部通过专用定位仪固定,确保三个平面垂直——眶耳平面(外耳道上缘与眶下缘连线)与地面平行,正中矢状面(鼻梁中线)与地面垂直,鼻翼耳屏线(鼻翼与耳屏连线)与地面平行,避免头位偏斜。
- 设备参数:X线球管从患者侧方(通常右侧)垂直投照,中心线对准外耳道上方5cm处,焦片距离约150cm(减少放大失真),曝光参数根据年龄调整:成人一般为60-70kV、10-15mAs,儿童降低至50-60kV、8-12mAs,在保证图像清晰的前提下尽量降低辐射。
- 注意事项:拍摄前需去除头部金属饰品(发卡、耳环等),避免伪影;嘱患者放松唇部,牙齿轻触,避免吞咽或吞咽动作,防止影像模糊;拍摄后需确认图像包含颅骨轮廓、颈椎、鼻中隔、梨状孔等关键结构,无运动伪影。
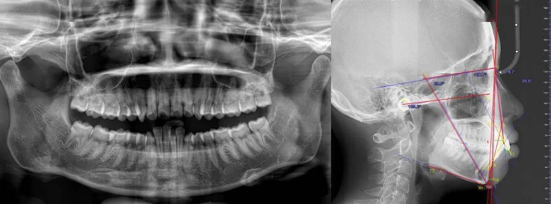
关键解读指标与临床意义
头颅侧位片的解读依赖角度、距离等客观测量指标,以下为核心参数及其临床意义:
| 指标名称 | 定义 | 正常值范围 | 临床意义 |
|---|---|---|---|
| SNA角 | 蝶鞍中心-鼻根点-上齿槽座点角 | 82°±4° | 反映上颌骨相对颅骨位置,>84°提示上颌前突 |
| SNB角 | 蝶鞍中心-鼻根点-下齿槽座点角 | 80°±4° | 反映下颌骨相对颅骨位置,<76°提示下颌后缩 |
| ANB角 | SNA角与SNB角差值(SNA-SNB) | 2°±2° | 上下颌骨相对关系,>4°上颌前突或下颌后缩 |
| 下颌平面角(MP-FH) | 下颌平面(下颌下缘切线)与FH平面夹角 | 32°±5° | 垂直生长型,>35°高角(易露龈笑),<28°低角 |
| 上中切牙角(UI-SN) | 上中切牙长轴与SN平面(蝶鞍-鼻根点)夹角 | 105°±6° | 上前牙倾斜度,>111°唇倾(易露龈),<99°舌倾 |
| 覆盖 | 上中切牙切缘至下中切牙唇面水平距离 | 2-4mm | 水平向错颌,>4mm深覆盖,<0mm反颌 |
| 覆合 | 上中切牙切缘覆盖下中切牙冠长的比例 | 1/3-1/2 | 垂直向错颌,>1/2深覆合,<0°开颌 |
注意事项
- 辐射防护:虽然单次拍摄辐射剂量低(约0.007mSv,相当于1次跨省航空辐射),但儿童、孕妇需特别注意,使用铅围裙遮挡甲状腺、胸腺等敏感部位,并严格遵循“合理可行尽量低”原则。
- 动态评估:生长发育期患者需定期复查(如每6-12个月一次),通过系列头颅侧位片观察骨骼、牙齿变化,及时调整矫治方案。
- 综合诊断:影像解读需结合临床检查(如面型分析、口内模型、关节检查),避免单一指标误判,例如ANB角异常需结合SNA、SNB角区分是上颌或下颌问题。
相关问答FAQs
头颅侧位片有辐射吗?对孩子安全吗?
答:头颅侧位片属于医用X线检查,辐射剂量较低,单次拍摄的有效剂量约0.007mSv,相当于乘坐飞机从北京到三亚往返所受的宇宙射线剂量,远低于国家规定的公众年剂量限值(1mSv),儿童对辐射更敏感,但正畸拍摄时会采用铅防护(如铅围裙遮挡颈部、胸部),并将辐射参数调至最低,安全性有保障,医生会严格掌握适应症,仅在必要时拍摄,权衡诊断价值与辐射风险,家长无需过度担心。
没有头颅侧位片能做正畸吗?
答:理论上,简单的牙性错颌(如个别牙拥挤、轻度间隙)可通过口内检查、口内模型、全景片等初步诊断并设计矫治方案,但对于复杂的骨性错颌(如上下颌前后突、面部不对称)、严重的垂直向异常(如露龈笑、开颌)或需要评估生长发育潜力的患者,头颅侧位片是不可或缺的,它能提供骨骼、牙齿、软组织的立体数据,帮助医生判断错颌机制(骨性问题 vs 牙性问题),制定精准的矫治方案(如是否需要正畸-正颌联合治疗),对于大多数正畸患者,尤其是非简单病例,头颅侧位片是确保疗效和安全的重要检查。


