📍 一、 核心目标
- 标准化定位: 确保每次拍摄(同一患者不同时间点)和不同患者之间的影像具有高度的可比性。
- 准确测量: 提供精确的解剖结构位置信息,用于测量骨骼、牙齿、软组织的角度、距离、比例等。
- 反映自然姿势: 尽可能反映患者头颅在自然状态下的位置,而非强迫位。
📍 二、 关键解剖标志点与定位要求
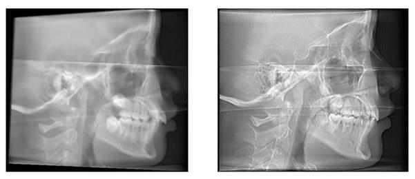
头颅侧位片的定位依赖于三个关键解剖点,它们共同定义了头颅的正中矢状面(Mid-sagittal Plane)和颅底平面(Cranial Base Plane):
- 鼻根点(Nasion, N): 鼻梁最凹陷点(鼻额缝中点)。
- 蝶鞍点(Sella, S): 蝶鞍的中心点(通常在侧位片上可见)。
- 耳点(Porion, Po): 外耳道最上点(外耳道穹窿顶)。
定位的核心原则:

(图片来源网络,侵删)
- 正中矢状面垂直于地面: 患者的头颅必须被摆放在一个位置,使得通过鼻根点(N)和蝶鞍点(S)的连线(NS线)与地面垂直,这意味着患者的头颅左右两侧完全对称地位于X光束中。
- 眶点(Orbitale, Or)与耳点(Po)水平对齐: 在侧位片上,眶点(Or,眼眶最下点)和耳点(Po)应位于同一水平线上,这确保了颅底平面(Frankfort Horizontal Plane, FH平面)在影像中是水平的。
📍 三、 摆放步骤(以传统X光机为例)
-
设备准备:
- 确保X光机头颅侧位拍摄装置(头颅定位架)工作正常。
- 调整X光管头和探测器的位置,使其对准定位架的中心。
- 设置合适的曝光参数(kV, mA, 时间)。
-
患者准备:
- 去除干扰物: 取下所有头部饰品(发卡、发带、耳环、眼镜等)、项链、高领衣物,女性长发需盘起或扎起,避免遮挡。
- 体位: 患者取坐位或站位(取决于设备),身体放松,双脚自然分开站立或平放,保持稳定。
- 头部姿势:
- 让患者自然放松面部肌肉,牙齿轻轻接触(不要用力咬紧),嘴唇自然闭合或轻微放松(根据医生要求,有时要求放松或轻触)。
- 嘱患者双眼平视前方(或前方一点),视线与地面平行,这有助于自然地维持头部位置。
- 避免过度抬头、低头、歪头或耸肩。
-
定位操作(最关键步骤):
- 放置耳杆(Ear Rods):
- 将两侧的耳杆轻轻推入患者的外耳道。
- 关键: 耳杆必须对准外耳道最上点(Porion, Po),操作者需仔细触摸确认位置。
- 耳杆应垂直于地面(即与定位架的垂直杆平行)。
- 放置眶点板(Orbital Plane Indicator):
- 将眶点板(通常是一个带小孔或刻线的金属板)放置在患者鼻梁上方。
- 让患者双眼睁开,通过眶点板上的小孔或刻线,使视线与地面平行(或前方一点),这有助于自然地固定头部位置。
- 关键: 确保眶点板的位置使得患者眼眶最下点(Orbitale, Or)与耳点(Po)在影像中处于同一水平线,操作者可能需要微调眶点板的高度和角度。
- 确认鼻根点(Nasion, N)位置:
- 轻轻按压患者的鼻梁,找到鼻根点(鼻额缝凹陷处)。
- 确保鼻根点(N)大致位于X光束的中心轴线上(即与定位架的中心标志对齐)。
- 固定头部:
- 患者头部依靠在头颅定位架的额托(Forehead Rest)和鼻托(Nose Rest)上。
- 嘱患者保持头部稳定,不要移动。
- 呼吸暂停: 在曝光前,清晰告知患者“吸气、憋住、不要动”,直到曝光结束,避免吞咽或移动头部。
- 放置耳杆(Ear Rods):
-
曝光:
(图片来源网络,侵删)- 操作者离开辐射安全区。
- 按下曝光按钮。
- 曝光结束后,确认患者可以放松。
-
初步检查:
- 在显示器上观察影像(数字设备)或胶片(传统设备)。
- 检查关键点:
- 鼻根点(N)、蝶鞍点(S)、耳点(Po)、眶点(Or)是否清晰可见?
- 眶点(Or)和耳点(Po)是否在同一水平线上?(这是判断FH平面是否水平的关键)
- 头颅左右两侧是否对称?下颌骨升支、髁突、颧弓等结构是否双侧对称显示?
- 有无因移动导致的模糊?
- 曝光参数是否合适(密度、对比度)?
- 如有问题,必须重拍! 不准确的影像会导致错误的诊断和治疗计划。
📍 四、 常见错误及影响
- 头部倾斜(歪头): 导致正中矢状面不垂直,左右结构不对称,所有角度测量(如ANB角)和距离测量出现偏差。
- 头部前倾或后仰: 改变颅底平面(FH平面)与地面的关系,影响颅颌面结构相对位置的判断,导致ANB角、SN-MP角等测量错误。
- 眶点(Or)与耳点(Po)未水平对齐: FH平面倾斜,导致所有基于FH平面的测量(如下颌平面角、Y轴角)不准确。
- 患者移动: 影像模糊,无法精确识别标志点,测量无效。
- 耳杆未对准Porion: 定位基准点错误,所有测量都偏离。
- 鼻根点(N)未居中: 导致头颅影像在探测器上偏移,可能影响部分结构的显示和测量范围。
📍 五、 质量控制
- 定期校准设备: 确保头颅定位架的耳杆、眶点板、垂直杆等部件位置准确。
- 操作者培训: 操作者必须经过专业培训,熟练掌握解剖标志点和定位技巧。
- 患者沟通: 清晰指导患者,使其理解并配合保持正确姿势和静止。
- 影像评估: 每次拍摄后必须严格评估影像质量,不符合标准立即重拍。
正畸头颅侧位片的摆放是一个技术性、标准化、要求极高的操作,其核心在于通过耳杆(Porion)和眶点板(Orbitale)精确定位,确保正中矢状面(NS线)垂直于地面,且Frankfort水平平面(FH平面)在影像中水平,任何定位偏差都会导致后续测量的失真,直接影响正畸诊断的准确性和治疗计划的科学性,操作者必须熟练掌握解剖知识,严格遵循操作规程,并对影像质量进行严格把关。💪🏻

(图片来源网络,侵删)
