正畸二类错颌畸形是口腔正畸临床中常见的错颌类型,属于安氏分类中的第二类,主要表现为磨牙关系为远中关系,即上颌第一磨牙的近中颊尖咬合于下颌第一磨牙颊沟的远中侧,常伴有上颌前突、下颌后缩或双牙弓前突等问题,不仅影响面部美观,还可能导致咀嚼功能降低、颞下颌关节紊乱等问题,需通过正畸治疗进行干预。
从分类上看,二类错颌畸形通常分为两个亚类:二类一分和二类二分,二类一分是指磨牙呈远中关系,且上下牙弓中线一致,临床常见上颌前牙唇倾或双牙弓前突,患者侧面观呈凸面型,上唇相对下唇前突;二类二类则指磨牙远中关系伴上下牙弓中线不一致,通常上颌中线偏斜,可能由单侧上颌前突、下颌偏斜或两侧下颌发育不对称导致,常伴有颜面不对称,两类亚类的治疗目标和侧重点有所不同,二类一分更侧重于改善覆盖和磨牙关系,二类二类则需兼顾中线对称和颌骨协调。

病因方面,二类错颌畸形的发生是遗传因素与环境因素共同作用的结果,遗传因素可能影响颌骨的生长方向和大小,如下颌骨遗传性发育不足,或上颌骨遗传性过度发育,导致上下颌骨长度不协调;环境因素则包括替牙期障碍(如乳牙早失导致牙弓长度不足、乳牙滞留阻碍恒牙萌出)、口腔不良习惯(如长期口呼吸导致下颌向下后旋转、吐舌习惯使前牙唇倾、咬唇习惯导致上牙前突下牙内倾)、以及鼻咽部疾病(如腺样体肥大迫使患者张口呼吸,改变面部肌肉动力平衡,抑制下颌生长),不良喂养姿势(如长期平卧喂养)也可能对婴幼儿颌骨发育产生潜在影响。
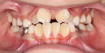
临床表现涉及牙齿、颌骨及面部软组织多个层面,牙齿层面,最典型的是上颌前牙唇倾、深覆盖(上前牙切端至下前牙唇面的水平距离超过3mm),常伴有深覆颌(上前牙切端覆盖下前牙冠长度1/3以上),磨牙呈完全远中或远中尖对尖关系;部分患者可能出现上牙弓狭窄、牙列拥挤,颌骨层面,上颌骨可能发育正常或前突,下颌骨发育不足,表现为下颌后缩、颏部后缩,侧面观面下1/3高度不足,下颌平面角可能增大或正常,软组织层面,患者常表现为鼻唇沟加深、上唇短缩、上唇相对于下唇前突,微笑时可能露龈,颏唇沟变浅,严重者可出现“鸟嘴”样面型,功能层面,由于咬合关系异常,咀嚼效率降低,长期可能引发颞下颌关节弹响、疼痛,甚至肌肉疲劳。
诊断需结合临床检查与影像学分析,临床检查包括面部软组织评估(观察正面对称性、侧面凸度、唇部位置等)、口腔内检查(记录牙齿排列、磨牙关系、覆颌覆盖、中线情况、牙弓形态等)及功能检查(咀嚼肌触诊、颞下颌关节活动度检查),影像学检查中,X线头影测量是核心手段,通过测量骨骼指标(如SNA角反映上颌相对于颅底的位置,正常82°±3°,SNA角增大提示上颌前突;SNB角反映下颌相对于颅底的位置,正常80°±3°,SNB角减小提示下颌后缩;ANB角反映上下颌骨关系,正常2°±2°,ANB角增大>4°为典型的二类骨骼关系)、牙齿指标(如U1-SN角反映上颌中切牙倾斜度,正常105°±8°,过大提示前牙唇倾;L1-MP角反映下颌中切牙倾斜度,正常97°±7°,过小提示下牙舌倾)及软组织指标(如上唇突度、颏唇沟深度等),综合判断错颌畸形的骨骼与牙齿成分,常用头影测量指标及意义如下表所示:
| 指标名称 | 正常值范围 | 临床意义 |
|---|---|---|
| SNA角 | 82°±3° | 上颌相对于颅底的位置,增大提示上颌前突 |
| SNB角 | 80°±3° | 下颌相对于颅底的位置,减小提示下颌后缩 |
| ANB角 | 2°±2° | 上下颌骨关系,增大>4°为二类骨骼关系 |
| U1-SN角 | 105°±8° | 上颌中切牙倾斜度,过大提示前牙唇倾 |
| L1-MP角 | 97°±7° | 下颌中切牙倾斜度,过小提示下牙舌倾 |
| UI-PP距 | 7mm±2mm | 上切牙至上颌平面的距离,过大提示唇倾 |
| FMIA角 | 65°±5° | 下中切牙与下颌平面的夹角,过小提示舌倾 |
治疗方法需根据患者年龄、错颌类型、骨骼与牙齿成分比例等因素制定,对于生长发育期的儿童(混合牙列期或早期恒牙列期),功能性矫治器是常用选择,如肌激动器(Activator)通过刺激下颌髁状软骨生长,引导下颌前伸,改善骨骼关系;Twin Block矫治器由上下颌咬合垫组成,通过解除锁结、引导下颌前伸,同时纠正深覆颌;FRⅢ矫治器则适用于伴有上颌发育不足的二类二错颌,通过抑制上颌前突、促进下颌生长,对于恒牙早期或成人患者,综合性固定矫治是主要手段,通过直丝弓矫治器、自锁托槽矫治器等排齐牙列,内收前牙,关闭拔牙间隙(严重拥挤或前突者需拔除第一前磨牙),纠正磨牙关系和覆颌覆盖,对于成人伴有严重骨骼畸形(如下颌后缩显著、ANB角>8°)者,需采用正畸-正颌联合治疗,即先通过术前正畸排齐牙齿,再通过正颌手术(如下颌前徙术、上颌骨后退术)矫正颌骨关系,术后再进行精细咬合调整,对于伴有不良习惯的患者,需同时纠正习惯(如制作唇挡、舌刺等),防止治疗后复发。

预后方面,早期干预的儿童患者预后较好,功能性矫治器可有效引导颌骨生长,减少后期复杂治疗的可能性;成人患者通过综合治疗也能获得良好的功能与美观效果,但需长期保持(通常保持2年以上,夜间佩戴),并定期复查,防止复发,复发风险与患者依从性、保持器佩戴时间、不良习惯是否纠正等因素密切相关,尤其是下颌后缩患者,若生长潜力未充分利用,成年后仍可能出现轻度复发。
相关问答FAQs:
-
问:二类错颌畸形一定要拔牙矫治吗?
答:并非所有二类错颌都需要拔牙,是否拔牙需根据错颌严重程度、骨骼与牙齿成分、患者面型等因素综合判断,对于轻度二类错颌(如ANB角4°-6°、覆盖<8mm、无严重拥挤),可通过非拔牙矫治(如推磨牙向远中、内收前牙)解决;对于中重度二类错颌(如ANB角>6°、覆盖>8mm、牙弓严重拥挤),拔除第一前磨牙可为前牙内收提供间隙,改善覆盖和磨牙关系,同时避免唇部过突,获得更好的面型效果。 -
问:成人二类错颌畸形和儿童矫治有什么不同?
答:成人与儿童二类错颌矫治的主要区别在于生长潜力:儿童处于生长发育期,功能性矫治器可利用颌骨生长潜力引导骨骼改建,治疗相对简单;成人无生长潜力,治疗主要依赖牙齿移动,对于骨骼畸形严重者需配合正颌手术,成人常伴有牙周病、颞下颌关节病、修复体等问题,需先进行牙周治疗、关节调合,再设计个性化方案;疗程相对较长,对医生技术要求更高,且需更严格的保持以防止复发。
(图片来源网络,侵删)
