正畸模型测量是口腔正畸诊断与治疗设计中的核心环节,通过获取患者牙列、牙弓及咬合的精确数据,为制定个性化矫治方案提供客观依据,其测量内容涵盖牙冠形态、牙弓大小与形态、咬合关系、牙齿排列等多个维度,结合传统石膏模型与数字化扫描技术,实现对错牙合畸形的全面评估。
牙冠形态与大小测量
牙冠是牙齿暴露于口腔的部分,其形态与大小直接影响牙弓排列与咬合功能,测量内容包括牙冠宽度、高度、轴倾角及转矩,具体如下:

-
牙冠宽度:指牙齿近远中径的最大距离,使用游标卡尺(精度0.01mm)测量,需测量上下颌每颗牙齿的近远中径,重点记录中切牙、侧切牙、尖牙及前磨牙的宽度,因其与牙弓对称性、 Bolton 指数密切相关,上颌中切牙正常宽度约为10.5-11.5mm,下颌第一磨牙约为10.5-11.0mm,数据异常(如牙冠过小过大)可能导致牙列拥挤或咬合紊乱。
-
牙冠高度:测量牙冠龈缘至切缘(前牙)或牙尖(后牙)的垂直距离,反映牙齿垂直向发育情况,前牙高度异常会影响微笑曲线与面下1/3比例,后牙高度则涉及咬合垂直距离的维持。
-
轴倾角与转矩:轴倾角为牙齿长轴与牙弓平面的夹角,反映牙齿近远中倾斜度;转矩为牙齿长轴与垂直于牙弓平面的夹角,反映唇舌/颊舌向倾斜度,传统模型需通过测量仪辅助判断,数字化模型可通过软件直接计算,二者共同评估牙齿在牙弓内的三维位置,指导弓丝弯制与托槽粘贴角度。
牙弓形态与大小测量
牙弓是牙齿排列的基础,其形态与大小决定牙列容纳空间,是判断拥挤度、制定扩弓或拔牙方案的关键。

-
牙弓长度:指牙弓中线上,从某一牙位(如中切牙近中接触点)到对侧相应牙位的距离,分为前牙段、前磨牙段、磨牙段,测量时需沿牙弓曲线弧度进行,反映牙弓前后向的容纳能力,下颌前牙段长度测量从下颌中切牙近中到第一前磨牙远中,正常值约为25-28mm,若实际所需牙冠宽度总和超过此值,提示前牙拥挤。
-
牙弓宽度:指牙弓两侧同名牙间的垂直距离,分为尖牙宽度、前磨牙宽度、磨牙宽度,测量点通常为牙冠最突出处(如尖牙牙尖、第一磨牙中央窝),不同年龄与牙列期(混合牙列、恒牙列)有正常参考值,例如恒牙列上颌第一磨牙宽度约为52-55mm,下颌约为48-51mm,宽度不足需考虑扩弓或减径。
-
牙弓形态分类:通过观察牙弓对称性与曲线形态分为三类:卵圆形(牙弓弧度平滑,两侧对称,最常见)、方圆形(牙弓较宽,前牙切缘平直)、尖圆形(牙弓狭窄,前牙牙冠突出),形态分类有助于选择矫治器类型(如方丝弓矫治器适合卵圆形牙弓)与弓丝形态。
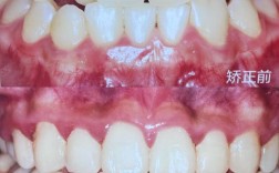
咬合关系测量
咬合关系是正畸评估的重点,直接影响咀嚼功能与面部美观,测量内容包括覆牙合、覆盖、中线偏斜及牙合曲线。

-
覆牙合:指下颌前牙切缘覆盖上颌前牙牙冠的垂直距离,分为三度:Ⅰ度(覆盖1/3牙冠高度内)、Ⅱ度(覆盖1/2-2/3)、Ⅲ度(覆盖2/3以上或下颌前牙咬至上颌硬腭),测量时需患者正中咬合,用探针或游标卡尺记录覆盖深度,深覆牙合需结合 Spee 曲线深度判断垂直向问题。
-
覆盖:指上颌前牙切缘与下颌前牙切缘的水平距离,正常值约为2-4mm,覆盖过大(深覆盖)可能与上颌前突、下颌后缩或牙列间隙有关;覆盖为负值(反覆盖)即反牙合,需区分骨性与牙性反牙合。
-
中线偏斜:测量上颌中切牙中缝与下颌中缝的水平距离,反映上下颌骨与牙列的对称性,中线偏斜可能由单侧后牙早接触、下颌偏斜或牙量骨量不调导致,需结合颞下颌关节检查明确病因。
-
牙合曲线:包括 Spee 曲线(下颌牙列颊尖的连接曲线)和 Wilson 曲线(上颌牙列颊舌尖的连接曲线),Spee 曲线深度为第一磨牙近中颊尖至前牙切缘的垂直距离,正常值1.5-2.5mm,过深(>3mm)会增加下颌平面角,导致前牙深覆牙合;过浅(平坦)则可能影响后牙咬合稳定性。
Bolton 指数与 Spee 曲线深度专项测量
-
Bolton 指数:用于评估上下颌牙量比例,分为前牙 Bolton 指数(下颌前牙牙冠宽度总和/上颌前牙牙冠宽度总和×100%)和全牙 Bolton 指数(下颌全牙牙冠宽度总和/上颌全牙牙冠宽度总和×100%),正常值:前牙 Bolton 指数78.8%±2.1%,全牙 Bolton 指数91.3%±1.91%,若下颌牙量相对过大(指数偏低),可能导致后牙反牙合或间隙;反之则可能前牙拥挤或深覆盖。
-
Spee 曲线深度:如前所述,反映下颌牙列的垂直曲度,是判断是否打开咬合、设计摇椅弓的重要依据,数字化模型可通过软件自动计算曲线深度,传统模型需用测量仪沿牙尖顶点进行多点测量取均值。
其他特殊测量
-
拥挤度分析:计算牙弓内实际所需牙冠宽度总和与可用牙弓长度的差值,公式:拥挤度=牙冠宽度总和-牙弓长度,结果为正值表示拥挤,负值表示间隙,下颌牙弓长度25mm,牙冠宽度总和28mm,拥挤度为3mm,需通过减径、扩弓或拔牙解决。
-
牙根位置与对称性:通过 X 线片结合模型评估牙根平行度,尤其对多根牙(如磨牙),需判断牙根是否在牙槽骨内对称排列,避免矫治过程中牙根吸收或骨开裂,数字化模型可进行三维牙根重建,直观显示牙根位置。
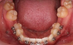
测量工具与临床意义
传统测量依赖游标卡尺、测量仪、石膏模型,而数字化扫描模型(如iTero、3Shape)通过三维成像实现数据自动采集与分析,精度达0.1mm,且可模拟牙齿移动、预测治疗效果,测量结果的临床意义在于:明确错牙合畸形机制(骨性/牙性)、制定个性化矫治方案(拔牙/非拔牙)、评估矫治中牙齿移动的可行性、预测治疗后稳定性。
常见牙位牙冠宽度正常值(mm)
| 牙位 | 上颌 | 下颌 |
|---|---|---|
| 中切牙 | 5-11.5 | 0-11.0 |
| 侧切牙 | 5-7.5 | 5-6.5 |
| 尖牙 | 5-8.5 | 0-8.0 |
| 第一前磨牙 | 5-7.5 | 5-7.5 |
| 第一磨牙 | 5-11.5 | 5-11.0 |
Bolton 指数正常值范围及临床意义
| 指数类型 | 正常值范围 | 临床意义 |
|---|---|---|
| 前牙 Bolton 指数 | 8%±2.1% | 偏低:下颌前牙相对过多,需后牙减径或拔牙;偏高:上颌前牙过多,需前牙去釉或扩弓 |
| 全牙 Bolton 指数 | 3%±1.91% | 偏低:全下颌牙量过多,易导致后牙间隙;偏高:全上颌牙量过多,易导致牙列拥挤 |
FAQs
问题1:正畸模型测量中,数字化扫描模型与传统石膏模型相比有哪些优势?
解答:数字化扫描模型通过光学获取牙列三维数据,精度达0.1mm,避免了传统石膏模型材料收缩、取模变形等误差;可存储、传输与共享,便于远程会诊和多学科协作;软件支持自动计算牙冠宽度、Bolton 指数、拥挤度等参数,提高效率;还可模拟牙齿移动、预测矫治效果,辅助医患沟通;无需翻制模型,节省材料与时间,更环保。
问题2:如果正畸模型测量显示 Bolton 指数不匹配(如下颌牙量过大),如何制定初步解决方案?
解答:Bolton 指数不匹配需结合临床具体分析,以下颌牙量过大(全牙 Bolton 指数<89%)为例:若患者为恒牙列,可通过上颌邻面去釉(磨除0.25-0.3mm/邻面,总量不超过2mm)减少上颌牙量;若下颌存在散在间隙,可集中间隙后关闭;若伴有后牙反牙合或拥挤,需优先解决牙量不调,再调整咬合关系,对于混合牙列患者,可观察替牙过程,必要时通过早期矫治引导牙量协调,关键是明确牙量不调是否为错牙合的主要病因,避免单纯调整牙弓形态而忽视功能平衡。
