蛀牙是口腔健康的常见威胁,当龋坏进展至牙髓感染、大面积缺损或牙齿残根无法保留时,拔除患牙是必要选择,缺牙并非“一拔了之”,牙齿缺失后邻牙会向缺隙倾斜,对颌牙伸长,进而引发咬合紊乱、咀嚼功能下降,甚至加速牙槽骨吸收,种植牙作为目前修复缺牙的理想方式,凭借其接近天然牙的功能与美观,成为越来越多人的首选,下面详细解析蛀牙拔除后种植牙的全流程、优势及注意事项。
蛀牙拔除后种植牙的完整流程
种植牙的核心是通过外科手术将人工种植体(模拟牙根)植入牙槽骨,待其与骨组织牢固结合后,再安装基台和牙冠,恢复牙齿形态与功能,具体流程如下:

拔牙后愈合与评估期(1-3个月)
拔牙后,牙槽骨需要时间愈合,拔牙创内的血凝机化、骨组织再生逐步完成,期间需避免用患侧咀嚼,保持口腔卫生,防止创口感染,医生会通过临床检查和CT评估牙槽骨的密度、高度及宽度,判断是否满足种植条件,若骨量不足(如因长期缺牙导致骨吸收),则需先进行骨增量手术(如植骨、引导骨再生),待骨量达标后再进入下一步,此时愈合期可能延长至3-6个月。
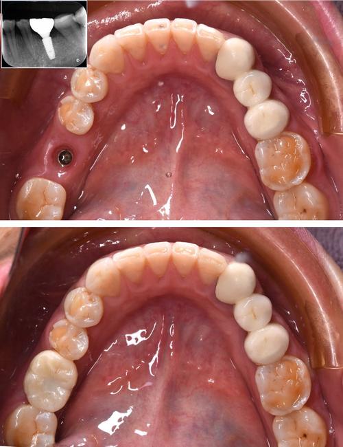
种植体植入(30-60分钟)
在局部麻醉下,医生切开牙龈,暴露牙槽骨,使用专用钻逐级备洞,将纯钛种植体精准植入预定位置,种植体表面通常有特殊处理(如喷砂酸蚀),以促进骨结合,术后需压迫止血24小时,遵医嘱服用抗生素预防感染,1周内避免手术区咀嚼,拆线后可恢复正常饮食(避免过硬食物)。
骨结合期(3-6个月)
这是种植成功的关键阶段,植入的种植体与牙槽骨通过“骨结合”形成稳定结构,如同天然牙根扎根于颌骨,期间需避免种植体承受过大外力,戒烟(尼古丁会抑制骨结合),定期复查(通常术后1个月、3个月检查骨结合情况),若骨结合良好,可进入下一步;若结合不佳,可能需延长愈合时间或重新植入。
基台安装与牙冠制作(1-2周)
骨结合完成后,医生在种植体上安装基台(连接种植体与牙冠的中间结构),并取模制作个性化牙冠,牙冠材料可选择全瓷(美观、生物相容性好)或烤瓷(强度高、性价比高),医生会根据患者咬合、邻牙颜色调整牙冠形态与色泽,确保自然协调。

最终佩戴与维护(长期)
牙冠安装完成后,医生会调整咬合,确保受力均匀,患者需适应1-2周,期间若有不适(如咬合高点)及时复诊,种植牙虽耐用,但仍需日常维护:使用软毛牙刷、牙线清洁,避免咬硬物(如坚果、螃蟹壳),每半年至1年进行专业洁牙和种植体周围检查,预防种植体周围炎(可能导致种植失败)。
种植牙的核心优势
相较于活动假牙、固定桥等修复方式,种植牙的优势显著:
- 功能强大:种植体独立支持,咀嚼效率可达90%以上,接近天然牙,可恢复饮食多样性。
- 不损伤邻牙:无需磨损健康邻牙(如固定桥需磨小邻牙作为基牙),保留天然牙结构。
- 美观自然:牙冠形态、颜色与邻牙一致,无基托、卡环,不影响发音和面部美观。
- 保护牙槽骨:种植体刺激牙槽骨,延缓骨吸收,避免面部塌陷(缺牙后长期不修复可能导致“瘪嘴”)。
- 使用寿命长:维护得当的种植牙可使用15-20年以上,部分甚至终身使用。
注意事项
- 术前禁忌:患有严重糖尿病(血糖未控制)、骨质疏松(长期服用双膦酸盐类药物)、心脏病等全身性疾病者,需先控制病情再评估是否适合种植。
- 术后护理:避免吸烟(吸烟者种植失败率是非吸烟者的3倍)、饮酒,术后24小时内不漱口、不刷牙,3天内避免进食过热、辛辣食物。
- 费用与时间:种植牙费用较高(单颗约8000-20000元,含种植体、基台、牙冠),且周期较长(从拔牙到完成修复通常需4-8个月),需提前规划。
相关问答FAQs
Q1:拔掉蛀牙后,如果牙槽骨严重萎缩,还能种牙吗?
A:可以,对于牙槽骨严重萎缩的情况,可通过骨增量技术解决,如自体骨移植(从颌骨或髂骨取骨)、引导骨再生(使用骨粉和生物膜引导骨再生)、上颌窦提升术(针对上颌后牙区骨量不足),这些技术能增加骨量,为种植体提供足够支撑,但会延长治疗时间和费用,需医生根据具体骨缺损情况制定方案。
Q2:种植牙能用一辈子吗?有没有失败风险?
A:种植牙的寿命受多种因素影响,若患者口腔卫生良好、定期维护、无咬合创伤,种植体可长期稳定使用(10年以上),但存在一定失败风险,约2%-5%的患者可能出现种植体松动、感染(种植体周围炎)、骨吸收等问题,失败多与术前骨量不足、术中操作不当、术后吸烟或维护不当有关,选择正规医院和经验丰富的医生可显著降低风险。

