肌激动器”的制作方法,需要首先明确你指的是哪种类型的肌激动器,因为这个词在不同领域有不同含义:
-
医疗康复领域:肌电刺激器 / 神经肌肉电刺激仪
(图片来源网络,侵删)- 原理: 通过向肌肉或神经施加微弱的电流脉冲,模拟神经信号,引发肌肉收缩或放松,用于康复训练、疼痛管理、预防肌肉萎缩等。
- 制作方法(强烈不推荐自行制作!):
- 核心组件: 需要精密的电子元件,包括:
- 脉冲发生器: 产生可控的电脉冲(波形、频率、宽度、强度)。
- 电源: 通常是电池(如9V电池、锂电池)或适配器供电。
- 控制电路: 调节脉冲参数(频率、脉宽、幅度)的电位器或微控制器。
- 输出电路: 包括放大器(提升电流/电压至安全刺激水平)和隔离电路(保护使用者)。
- 电极: 接触皮肤,传递电流到目标肌肉(通常是自粘电极片)。
- 外壳: 保护内部电路,提供操作界面。
- 制作步骤(高度简化且危险):
- 设计电路: 需要深厚的电子学知识,设计安全、稳定、符合医疗标准的电路,涉及高压、大电流操作,风险极高。
- 采购元件: 需要采购高质量的、符合医疗安全标准的电子元件(如隔离电源模块、医用级电极连接器等)。
- 电路板制作与焊接: 需要PCB设计、制作和精细的焊接技术。
- 组装: 将所有元件安装到外壳中,连接电极线。
- 编程(如使用MCU): 如果需要可编程控制,需要编写固件。
- 测试与校准: 使用示波器、万用表等专业设备测试输出波形、电压、电流是否符合设计要求,确保安全。这一步极其关键且专业。
- 巨大风险与警告:
- 触电危险: 电路设计不当或绝缘失效可能导致严重触电,危及生命。
- 灼伤: 电流过大或电极接触不良可能导致皮肤灼伤。
- 心脏风险: 电流可能干扰心脏节律,对心脏病患者尤其危险。
- 无效或有害刺激: 参数设置不当可能无法达到预期效果,甚至加重损伤或疼痛。
- 无医疗认证: 自制设备无法获得任何医疗安全认证(如FDA, CE),其安全性、有效性和可靠性完全无法保证。
- 法律责任: 使用自制设备导致伤害,制造者可能承担法律责任。
- 强烈建议: 绝对不要自行尝试制作用于医疗目的的肌电刺激器! 请务必购买经过严格认证、由正规医疗器械厂商生产的产品,并在医生或物理治疗师的指导下使用。
- 核心组件: 需要精密的电子元件,包括:
-
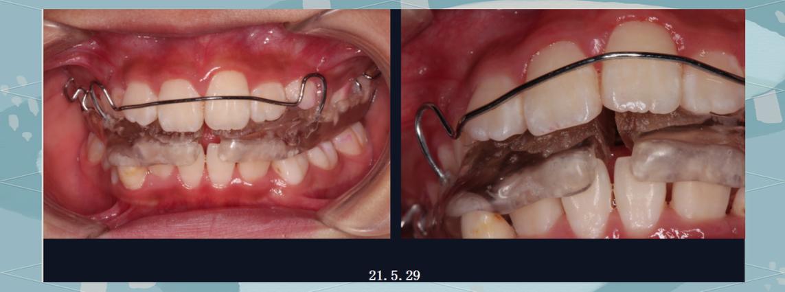
口腔正畸领域:肌激动器
- 原理: 一种可摘戴的矫治器,利用肌肉(如口周肌、舌肌)的力量,结合矫治器本身对牙齿和颌骨的轻微引导力,来矫正牙齿排列、改善咬合关系、引导颌骨生长(尤其在儿童青少年期)。
- 制作方法(专业牙科技师在医生指导下制作):
- 核心材料:
- 热塑性树脂: 如聚丙烯酸酯、聚碳酸酯、聚氨酯等,这些材料加热后会软化,冷却后变硬定型。
- 辅助材料: 可能包括钢丝(用于增强或施加特定力)、丙烯酸树脂(用于添加附件或垫高)、分离剂等。
- 制作步骤(高度专业化):
- 诊断与设计: 正畸医生进行全面检查(取模、拍片、口扫等),确定诊断和治疗方案,设计矫治器的具体形态、作用力点和范围。
- 取模或口扫: 获取患者精确的牙齿和口腔模型(传统取模)或进行数字化口内扫描。
- 模型加工(传统方式):
- 将石膏模型安装在 articulator(咬合架)上。
- 根据设计要求,在模型上标记需要去除的区域(如需要打开咬合、覆盖后牙等)。
- 使用雕刻工具(如雕刻刀、打磨机)去除石膏,形成矫治器的基本形态。
- 热压成型(最常见):
- 将预先切割好的热塑性塑料片(如Erkodur, Biolon, Essix等)放入热压成型机中加热至软化温度。
- 迅速将加热软化后的塑料片覆盖在处理好的石膏模型上。
- 施加压力,使塑料紧密贴合模型表面。
- 冷却后,塑料定型,形成与口腔组织高度贴合的矫治器雏形。
- 边缘修整与抛光: 去除多余部分,修整边缘使其光滑舒适,避免刺激口腔黏膜。
- 添加附件(如需要): 医生可能在模型上添加钢丝或树脂附件(如卡环、小垫块),技师在制作过程中将其整合进去,以增强固位或施加特定力。
- 数字化制作(CAD/CAM):
- 基于口扫数据,在计算机软件中设计矫治器。
- 软件自动生成矫治器三维模型。
- 通过数控切削机(铣削)或3D打印机(通常使用光固化树脂)制作出矫治器。
- 试戴与调整: 患者试戴,医生检查密合度、舒适度、作用力是否达到预期,必要时进行精细调整(如调磨、加衬垫)。
- 关键点:
- 高度依赖专业技术和设备: 需要专业的牙科技师操作精密设备(热压机、铣床、3D打印机等)。
- 医生主导设计: 矫治器的形态、作用力完全由正畸医生根据诊断和治疗方案决定。
- 个性化定制: 每个矫治器都是为特定患者量身定做的。
- 普通人无法自行制作: 缺乏专业知识、设备、材料以及精确的诊断,绝对无法制作出有效且安全的正畸肌激动器,自行制作不仅无效,还可能损伤牙齿、牙龈和颌骨。
- 核心材料:
总结与强烈建议
- 无论你指的是哪种肌激动器,自行制作都是极其危险、不专业且强烈不推荐的!
- 医疗电刺激器: 涉及高压电、医疗安全标准、生命风险。必须购买正规认证产品,在专业人士指导下使用。
- 正畸肌激动器: 是高度专业化、个性化的医疗装置。必须由正畸医生诊断设计,由专业牙科技师制作。
请务必寻求相关领域的专业人士(医生、物理治疗师、注册牙科技师)的帮助,不要尝试自行制作任何涉及医疗或人体组织的设备,安全永远是第一位的!

