种植牙过程分步图解说明
以下是种植牙的主要阶段及示意图描述,您可以结合文字想象画面:
术前评估与规划口腔CT检查、骨量评估、方案设计。
- 示意画面:
- 患者口腔全景X光片或3D CBCT扫描图,显示牙槽骨高度和密度。
- 医生在电脑上模拟种植体植入位置和角度的虚拟图。
拔牙与骨增量(如需要)若骨量不足,需植入骨粉/骨膜引导骨再生。
- 示意画面:
- 牙槽骨缺损示意图(骨高度不足)。
- 骨粉填充骨缺损的剖面图,显示骨膜覆盖的封闭状态。
种植体植入手术局部麻醉后,在牙槽骨中植入纯钛种植体。
- 示意画面:
- 手术器械(种植机、种植体)特写图。
- 种植体旋入牙槽骨的剖面示意图,展示种植体与骨组织初步结合。
骨结合期(愈合阶段)种植体与牙槽骨融合(需3-6个月)。
- 示意画面:
- 骨细胞附着在种植体表面的微观示意图(骨整合过程)。
- 愈合基台暴露在口腔中的照片(牙龈愈合后)。
基台安装与牙冠制作连接基台,取模制作牙冠。
- 示意画面:
- 基台拧入种植体的特写图。
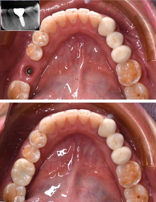
- 牙冠戴入后的效果对比图(缺牙前 vs 种植后)。
最终修复完成牙冠粘固,恢复咀嚼功能。
- 示意画面:
- 种植牙全景X光片,显示种植体在骨内的位置。
- 患者微笑时种植牙的自然外观照片。
推荐权威图片资源
以下来源提供专业、高清的种植牙过程图解(非真实手术图):

-
专业医学网站
- WebMD种植牙图库:分步骤动画与示意图。
- 美国口腔种植学会(AAID):官方教育图解。
- Mayo Clinic:流程科普图。
-
知名牙科机构官网
-
中文医学平台
- 丁香园口腔板块:搜索“种植牙图解”可找到医生分享的示意图。
- 医学科普公众号:如“口腔医学网”、“牙医先锋”等常发布流程图。
重要提醒
- 真实手术图需谨慎:部分平台可能展示未经处理的手术实拍图(含血液、器械),可能引起不适,建议在专业医疗平台查看。
- 个体差异:实际流程因骨条件、技术(即刻种植/延期种植)而异,图片仅供参考。
- 咨询专业医生:若您有治疗需求,务必通过面诊获取个性化方案。
种植牙效果欣赏(修复后)
您可通过以下途径欣赏成功的种植牙案例:

- 牙科诊所案例墙:多数诊所展示患者术前术后对比照片。
- 社交平台:小红书/微博搜索“种植牙案例”,注意甄别机构资质。
- 直播视频:部分医生在抖音/B站分享种植修复过程(含实时效果)。
建议以功能恢复和长期健康为核心关注点,而非单纯追求美观,如有进一步疑问,可提供具体需求,我将为您补充更精准的资料! 🦷
