正畸弓丝末端回弯:守护口腔舒适与稳定的“隐形卫士”**
当您戴上固定矫治器(牙套)后,可能会注意到牙医在弓丝末端进行了一些特殊的处理,那个看似小小的弯折,就是今天我们要聊的主角——弓丝末端回弯,它虽然不起眼,却是正畸治疗中保障舒适度、安全性和疗效的关键步骤之一,我们就来深入了解一下这个“隐形卫士”的作用、原理和重要性。

什么是弓丝末端回弯?
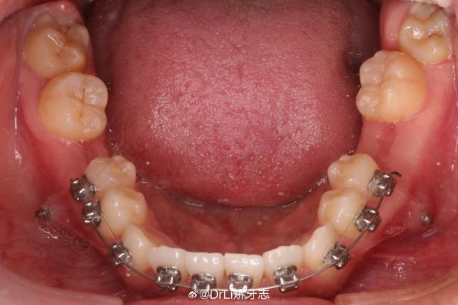
弓丝末端回弯是指正畸医生在将弓丝放入托槽槽沟后,使用专用的钳子(如末端切断钳或细丝弯制钳),将弓丝在最后一颗牙齿(通常是第二磨牙)的远中末端,向舌侧(上牙)或腭侧(下牙)以及牙合面(咬合面)方向弯折成一个小的钩状或鹅颈状结构(通常呈30-45度角)。
为什么要做末端回弯?—— 它的四大核心作用
末端回弯绝非多余步骤,它肩负着多重重要使命:

-
防止弓丝脱出(最核心作用):
- 问题: 在咀嚼、说话或牙齿移动过程中,弓丝可能在末端滑出托槽槽沟,尤其是当牙齿位置发生变化或弓丝长度调整时。
- 解决: 回弯形成的“小钩”能有效“钩住”最后一颗磨牙的远中面(靠近脸颊的一侧),就像一个安全栓,牢牢锁住弓丝,防止其向前滑脱,这避免了弓丝末端暴露在口腔内,大大减少了患者不适和意外风险。
-
保护口腔软组织(提升舒适度):
- 问题: 如果弓丝末端被直接剪短且未经处理,会形成一个尖锐的断点,在口腔内活动时极易刺伤或刮伤脸颊内侧的黏膜、舌头或上颚,导致疼痛、溃疡甚至感染。
- 解决: 回弯将尖锐的断端包裹起来,形成一个光滑、圆润的末端,完全避免了其对软组织的刺激和损伤,这是提升患者佩戴舒适度的关键一步。
-
维持支抗与牙齿位置(保障疗效):
- 问题: 弓丝是传递矫治力的载体,如果弓丝末端自由悬空或易于滑动,可能无法有效控制最后一颗磨牙的位置,影响整个牙弓的稳定性(支抗),甚至导致牙齿移动失控。
- 解决: 末端回弯为最后一颗磨牙提供了一个稳定的“支点”,有助于:
- 维持磨牙位置: 防止其前倾或后移,为前牙移动提供稳固的支抗基础。
- 控制牙齿旋转: 在某些情况下,回弯有助于防止磨牙发生不希望的旋转。
- 维持弓丝长度: 确保矫治力能持续、稳定地作用于目标牙齿。
-
减少不适感,便于后续操作:
(图片来源网络,侵删)- 一个光滑、无刺激的末端回弯,能显著减少患者对弓丝末端的异物感和不适感。
- 它也为医生后续可能进行的弓丝调整或更换提供了更安全的操作基础。
末端回弯是如何操作的?(简述医生操作)
虽然我们不需要掌握具体操作,但了解基本流程有助于理解其重要性:
- 选择工具: 医生通常使用细丝弯制钳或专用的末端切断钳。
- 定位末端: 确定弓丝在最后一颗磨牙远中的确切位置。
- 弯制角度: 在靠近弓丝末端处,将钳子尖端轻轻夹住弓丝,向舌/腭侧和牙合面方向弯折,形成一个约30-45度角的小弯(鹅颈形或小圈状),角度和形状需要根据牙齿形态和矫治阶段进行调整。
- 检查与调整: 弯制后,医生会检查回弯是否光滑、无锐角,是否能有效防止滑脱,且不会干扰咬合或邻牙,必要时进行微调。
- 确保末端不突出: 回弯后的末端应完全位于牙齿远中面之后,不向颊侧突出。
患者需要注意什么?
作为患者,了解末端回弯后,您可以:
- 保持口腔卫生: 特别注意清洁最后一颗磨牙远中区域和回弯周围,避免食物嵌塞和菌斑堆积。
- 避免咬硬物: 不要用牙齿啃咬过硬的食物(如坚果壳、螃蟹壳、骨头等),以免损坏弓丝或导致回弯变形、脱落。
- 关注不适感: 如果感觉弓丝末端有明显的刺痛、刮擦感或回弯部分脱落,不要自行处理,应及时联系您的正畸医生复诊调整。
- 定期复诊: 按时复诊至关重要,医生会检查回弯状态、弓丝情况以及牙齿移动进展,并根据需要进行调整或更换弓丝。
常见问题解答
- Q: 所有弓丝都需要末端回弯吗?
A: 绝大多数固定矫治器使用的金属弓丝(不锈钢丝、镍钛丝等)都需要末端回弯,对于某些特殊的隐形矫治器或活动矫治器,处理方式不同。
- Q: 回弯会一直存在吗?
A: 通常在整个固定矫治期间,只要使用传统弓丝,末端回弯都是标准操作,在治疗后期,当牙齿排列接近完成、弓丝更换为更细的不锈钢丝时,回弯可能更精细或形态略有变化,但核心作用不变,拆除矫治器前,医生会去除所有回弯。
- Q: 如果弓丝末端真的滑脱了怎么办?
- A: 切勿自行尝试将其推回或用嘴咬! 这可能导致弓丝更深入或损伤口腔,应立即用正畸蜡(如有)覆盖滑脱的末端以暂时缓解不适,并尽快联系医生处理。
- Q: 回弯会让牙齿移动变慢吗?
- A: 不会,末端回弯的主要作用是稳定弓丝和牙齿,防止不想要的移动,它不会阻碍矫治力传递到目标牙齿,相反,它为有效矫治提供了稳定基础。
正畸弓丝末端回弯,这个看似微小的细节,凝聚了正畸医生对舒适度、安全性和疗效的精细考量,它像一位忠诚的“隐形卫士”,默默守护着您的口腔健康,让您在矫治过程中少一份不适,多一份安心,理解它的作用,积极配合医生的治疗和维护,是您获得理想矫治效果的重要一环,下次复诊时,不妨留意一下您弓丝末端的这个小弯折,感受一下它带来的那份安心与舒适吧!
