成人牙拥挤的矫治是一个需要综合考虑美观、功能、健康和稳定性的复杂过程,由于成人骨骼已停止发育,治疗目标可能更侧重于改善美观、解决功能问题(如咬合不良、清洁困难)以及预防牙周病进展,以下是成人牙拥挤的主要矫治方法:
🦷 一、 主要矫治器类型
-
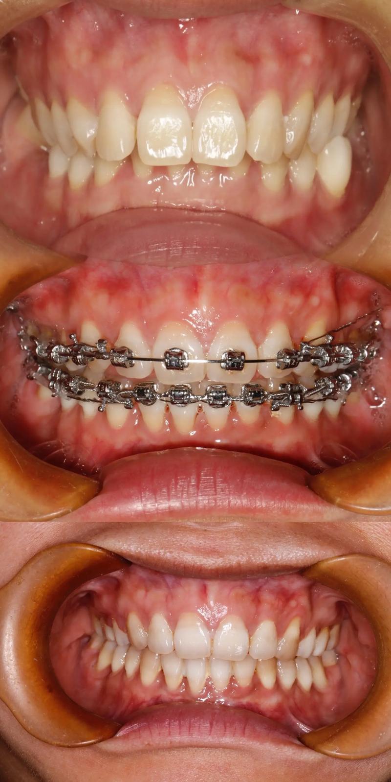
传统金属托槽矫治器:
(图片来源网络,侵删)- 原理: 使用金属托槽和弓丝施加持续、轻柔的力量,移动牙齿到理想位置。
- 优点: 疗效确切,适应症广,技术成熟,相对经济。
- 缺点: 美观性差(“钢牙”),口腔异物感强,初期可能影响发音,清洁难度大,食物易嵌塞。
- 适用: 对美观要求不高,预算有限,或需要较强矫治力的情况。
-
陶瓷/透明托槽矫治器:
- 原理: 与金属托槽相同,但托槽由透明或牙色陶瓷材料制成。
- 优点: 美观性显著优于金属托槽,接近隐形效果。
- 缺点: 比金属托槽更脆(易脱落),价格较高,弓丝有时仍可见,清洁要求高。
- 适用: 对美观有较高要求,但预算有限或无法接受舌侧矫治的成人。
-
舌侧矫治器:
- 原理: 将托槽和弓丝完全粘接在牙齿的舌(腭)侧表面。
- 优点: 完全隐形,美观性最佳,不影响社交形象。
- 缺点: 价格最高,清洁极其困难,初期异物感和发音障碍最明显,治疗时间可能稍长,对医生技术要求极高。
- 适用: 对美观要求极高,预算充足,能接受较高清洁难度和初期不适的成人。
-
无托槽隐形矫治器:
- 原理: 利用一系列由透明高分子材料制成的、可自行摘戴的牙套,每副牙套对牙齿施加特定的、微小的移动力量,逐步将牙齿排齐。
- 代表品牌: 隐适美、Spark、时代天使等。
- 优点:
- 美观性极佳: 完全透明,佩戴时几乎看不见。
- 舒适: 表面光滑,无托槽弓丝刮擦感。
- 可自行摘戴: 方便进食、清洁口腔,利于维护口腔卫生。
- 可预览: 通常能提供3D模拟效果,预知治疗结果。
- 缺点:
- 价格较高: 通常仅次于舌侧矫治器。
- 依赖患者配合: 必须每天佩戴20-22小时以上才能保证效果,依从性是关键。
- 适应症有限: 对于非常严重的拥挤、需要复杂牙根移动或大量拔牙的病例,效果可能不如传统矫治器可控。
- 附件: 牙齿上可能需要粘接小“附件”以帮助牙套固位和移动。
- 需要精确取模/扫描: 对初始模型或数字化扫描的准确性要求高。
- 适用: 对美观、舒适度要求高,依从性好,且拥挤程度在隐形矫治器适应症范围内的成人。
🧩 二、 矫治策略选择(是否拔牙)
-
非拔牙矫治:
(图片来源网络,侵删)- 方法: 通过扩弓(扩大牙弓宽度)、邻面去釉(磨除少量牙釉质以获得空间)、推磨牙向后等方式为拥挤的牙齿创造空间。
- 优点: 保留所有牙齿,避免拔牙创伤。
- 缺点: 空间有限,适用于轻度至中度拥挤,且需考虑面部轮廓、咬合关系、长期稳定性,扩弓可能复发,邻面去釉对牙齿有一定磨耗。
- 适用: 轻度拥挤,牙弓宽度不足但可扩展,患者强烈拒绝拔牙。
-
拔牙矫治:
- 方法: 拔除1-4颗(通常是前磨牙或个别磨牙)牙齿,为拥挤的牙齿提供充足空间,同时可能改善咬合关系和面部轮廓。
- 优点: 提供充足空间,排齐效果更稳定,常能改善咬合功能和面部美观(如改善“凸嘴”),减少复发风险。
- 缺点: 需要拔牙手术,患者心理接受度低,治疗时间可能稍长,需要更精细的支抗控制。
- 适用: 中重度拥挤,牙弓空间严重不足,存在明显咬合问题(如深覆盖、深覆合),或面部轮廓需要调整。这是成人矫治中非常常见且有效的方法。
🏥 三、 成人矫治的特殊考虑因素
-
牙周健康:
- 前提: 牙周健康是成人矫治的基石。 必须在矫治前进行全面的牙周检查和治疗(如洗牙、刮治、牙周手术等),控制牙周炎症,矫治过程中及结束后需要更频繁的牙周维护。
- 风险: 牙周状况不佳者进行矫治,可能加速牙槽骨吸收,导致牙齿松动甚至脱落。
-
颞下颌关节:
评估是否存在关节弹响、疼痛、张口受限等问题,严重的关节问题可能需要先进行关节治疗或调整矫治计划。
(图片来源网络,侵删) -
口腔修复体:
如有烤瓷冠、全瓷冠、种植牙、固定桥等,需要评估其位置、形态、材料是否会影响矫治器的粘接和牙齿移动,有时需要调整或更换修复体。
-
全身健康状况:
某些系统性疾病(如糖尿病控制不佳、骨质疏松、出血性疾病、正在服用双膦酸盐类药物等)可能影响矫治安全性和牙周健康,需与相关医生沟通。
-
口腔卫生维护:
- 至关重要! 成人矫治期间口腔清洁难度显著增加,必须教会患者使用正畸牙刷、牙间刷、冲牙器、牙线等工具,彻底清洁托槽周围和牙缝,否则极易导致龋齿和牙周炎。
-
治疗目标与期望值管理:
成人患者通常有明确的美观和功能需求,但需与医生充分沟通,了解自身条件的限制(如骨量、牙周状况、关节问题等),设定现实、可达成的治疗目标。
-
保持阶段:
- 终身保持是成人矫治的关键! 牙齿终生都有移动的趋势,矫治结束后必须严格佩戴保持器(通常活动保持器为主,可能需要长期甚至终身佩戴),以防止复发,复发风险在成人中相对较高。
📌 总结与建议
-
没有“最好”的方法,只有“最适合”的方法。 选择哪种矫治器和策略,取决于您的:
- 拥挤程度和严重性
- 美观要求(美观性需求是成人选择的主要驱动力之一)
- 预算
- 口腔卫生习惯和配合度
- 牙周健康状况
- 颞下颌关节状况
- 对拔牙的接受度
- 生活方式和职业需求
-
寻求专业正畸医生评估: 这是最重要的一步! 只有经过专业正畸医生(通常是口腔正畸学硕士或博士毕业的专科医生)进行全面的临床检查(口内检查、模型分析、X光片检查等),才能制定出个性化的、科学合理的矫治方案。
-
多学科合作: 对于复杂的成人病例,可能需要牙周医生、修复医生、关节医生等多学科专家的共同参与。
-
耐心与配合: 成人矫治通常需要1.5-3年甚至更长时间,期间需要定期复诊(通常4-8周一次)。患者的严格配合(尤其是隐形矫治器的佩戴时间和口腔卫生)是成功的关键。
成人牙拥挤完全可以通过现代正畸技术得到有效矫治,选择哪种方法,需要您与经验丰富的正畸医生充分沟通,结合自身情况,共同制定最适合您的治疗方案。 美丽整齐的笑容值得您付出时间和努力!💪🏻
