拜博口腔网

  • 正畸头颅侧位片摆放如何规范?关键步骤有哪些?

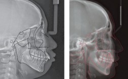
    正畸头颅侧位片摆放如何规范?关键步骤有哪些?

    📍一、核心目标标准化定位:确保每次拍摄(同一患者不同时间点)和不同患者之间的影像具有高度的可比性,准确测量:提供精确的解剖结构位置信息,用于测量骨骼、牙齿、软组织的角度、距离、比例等,反映自然姿势:尽可能反映患者头颅在自然状态下的...

    2025-12-03
    1 0 0
  • 1 / 1
  • 1