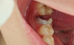
看到你提到种植牙牙龈出现紫红的情况,我能理解你的担忧,这确实是一个需要重视的信号,种植体周围的牙龈健康直接关系到种植牙的长期成功,别慌张,让我们一起来分析一下可能的原因和应对方法。

🦷 种植牙牙龈紫红的可能原因
-
炎症反应(种植体周围炎):
- 最常见的原因。 类似于天然牙的牙周炎,是种植体周围支持组织的炎症性疾病。
- 诱因: 口腔卫生维护不当导致菌斑堆积、修复体(牙冠)边缘不密合导致食物嵌塞和菌斑滞留、吸烟、糖尿病等全身因素、咬合力过大或异常、长期戴用临时修复体等。
- 表现: 牙龈红肿、紫红、触痛、易出血、可能伴有溢脓、种植体周围袋形成、甚至牙槽骨吸收(通过X光片可见),紫红可能是充血、淤血或炎症严重程度的体现。
-
机械性刺激:
- 修复体压迫: 牙冠或基台的边缘过长、过厚、形态不良,或者与牙龈接触过紧,持续压迫牙龈组织,导致局部缺血、淤血,呈现紫红色,也可能在制作印模或戴牙过程中暂时压迫导致。
- 咬合创伤: 种植牙承受过大的咬合力(咬硬物、夜磨牙、咬合高点调整不当)或异常的侧向力,导致牙龈组织挫伤、淤血,出现紫红,长期创伤还可能加重炎症。
-
过敏反应(罕见):
虽然钛种植体过敏非常罕见,但理论上可能发生,牙龈组织对金属(钛、镍铬等)产生过敏反应,可能导致红肿、紫红、瘙痒、糜烂等,通常需要做过敏原测试确认。
-
局部血液循环问题:
- 手术创伤: 种植手术本身可能对局部血管造成一定损伤,术后短期内(几天到几周)出现轻微淤血导致局部紫红是可能的,通常会逐渐消退。
- 血管异常: 极少数情况下,牙龈下存在异常的血管团或血管畸形,也可能表现为局部紫红色。
-
色素沉着:
某些人牙龈上天生就有黑色素沉着(如非洲人种、部分亚洲人),颜色可能偏深甚至偏紫红,这通常是生理性的,边界清晰,不伴有红肿、疼痛或出血,需要与炎症性紫红区分开。
-
感染:
细菌感染(如种植体周围炎的严重表现)或真菌感染(如念珠菌感染)可能导致牙龈红肿、紫红、疼痛、溃疡等。
-
其他:
- 某些药物副作用(如抗凝药可能导致易出血淤斑)。
- 全身性疾病在口腔的局部表现(相对少见)。
🚨 你应该怎么做?
最重要的一步:立即预约你的种植医生进行复诊!
不要自行判断或等待观察,种植体周围问题进展可能很快,早期干预效果最好,复诊时,医生会:
- 详细询问病史: 紫红出现的时间、发展速度、是否伴有疼痛、出血、肿胀、异味、松动等,你的口腔卫生习惯,吸烟史,全身健康状况等。
- 临床检查:
- 视诊:观察牙龈颜色(紫红范围、边界)、形态(是否肿胀、退缩)、质地(是否松软、变硬)、有无溃疡、脓液。
- 探诊:检查牙龈出血指数、探诊深度(种植体周围袋深度)、是否有溢脓、探诊时是否疼痛,这是诊断种植体周围炎的关键。
- 检查咬合:看种植牙是否有早接触、干扰、创伤性咬合。
- 检查修复体:检查牙冠边缘是否密合、光滑、有无悬突、是否压迫牙龈。
- 影像学检查: 拍摄种植体部位的根尖片或全景片,观察牙槽骨有无吸收、吸收的程度和类型(水平/垂直),评估种植体周围骨支持情况,这是判断炎症严重程度和骨吸收的金标准。
- 可能的辅助检查: 如怀疑过敏,可能做斑贴试验;如怀疑感染,可能取龈下菌斑做微生物检测。
🏥 医生可能采取的治疗措施(取决于具体病因)
- 针对种植体周围炎:
- 基础治疗: 强化口腔卫生指导(巴氏刷牙法、牙线、牙缝刷、冲牙器等)、龈上洁治(洗牙)、龈下刮治和根面平整(去除种植体表面的菌斑和牙结石)。
- 手术治疗: 如果基础治疗效果不佳或骨吸收严重,可能需要翻瓣手术直视下清创、骨移植引导骨再生等。
- 辅助治疗: 可能使用抗菌药物(局部或全身)、激光治疗等。
- 针对机械性刺激:
- 调磨牙冠边缘或咬合高点。
- 重制牙冠,确保边缘密合、光滑、位置合适(位于牙龈袖口内但不压迫牙龈)。
- 必要时修改基台。
- 针对咬合创伤:
- 调整咬合,消除早接触和干扰。
- 制作夜磨牙垫。
- 评估是否需要修复体加固或更换。
- 针对过敏: 确诊后可能需要更换非金属基台或全瓷冠(如果过敏源是金属)。
- 针对色素沉着: 如果确认是生理性且无不适,通常无需处理,影响美观时可考虑牙龈漂白或手术切除(需谨慎)。
- 针对感染: 根据感染类型和严重程度,进行相应的清创、抗菌治疗等。
📌 日常护理建议(在复诊期间和之后)
- 严格口腔卫生: 这是预防和管理种植体周围问题的核心,每天至少刷牙两次(使用软毛牙刷、巴氏刷牙法),每天至少使用一次牙线或牙缝清洁工具(牙缝刷、水牙线)清洁种植体邻面和牙龈边缘。
- 避免刺激: 暂时避免用患侧咀嚼过硬、过韧的食物,避免吸烟(吸烟是种植体周围炎的重要危险因素)。
- 观察记录: 注意观察紫红区域的变化(是否扩大、变淡、出现新症状),复诊时告知医生。
种植牙牙龈出现紫红是一个警示信号,最常见的原因是种植体周围炎或机械性刺激。务必尽快联系你的种植牙医生进行专业评估和诊断,早期发现问题并接受恰当的治疗,对于挽救种植牙、防止骨吸收和种植失败至关重要,不要拖延,及时就医是保护你种植牙投资和口腔健康的关键一步。💪🏻
