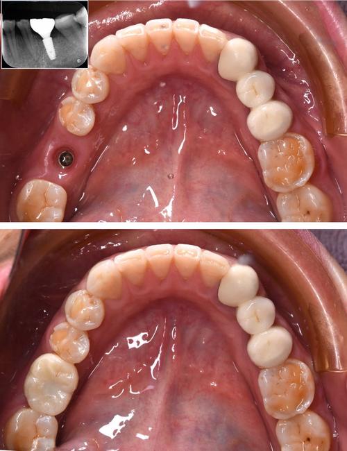
种植牙作为目前修复缺失牙的有效方式,因其功能、美观接近天然牙,被越来越多缺牙患者选择,但不少人在咨询时会问:“种牙都是微创吗?”要回答这个问题,首先需要明确“微创种植牙”的定义——通常指通过精准的手术规划、较小的切口(一般小于1cm)、不翻瓣或有限翻瓣,减少对软硬组织的损伤,从而降低术后疼痛、肿胀,缩短恢复时间的种植技术,并非所有种植牙手术都属于“微创”,具体是否采用微创方式,需结合患者的口腔条件、种植技术选择、医生操作习惯等多方面因素综合判断。
微创种植牙的常见技术与优势
当前主流的微创种植技术,核心在于“精准”与“低创伤”,其实现依赖数字化设备和先进理念,主要包括以下几类:

数字化导板引导种植
这是目前应用最广泛的微创技术,通过术前CBCT(锥形束CT)扫描、口内数据采集,结合3D打印技术制作个性化种植导板,导板能预先设计种植体的植入位置、角度、深度,术中医生只需沿着导板的引导孔操作,即可精准将种植体植入理想位置。
- 优势:切口通常仅需3-5mm(约米粒大小),无需翻开牙龈全层,避免损伤神经、血管;手术时间短(单颗牙约30分钟),术后肿胀、疼痛轻,恢复快(一般3-5天即可正常生活)。
- 适用情况:骨量充足(牙槽骨高度、宽度足够)、无严重炎症的简单缺牙病例,如单颗牙缺失、多颗牙缺失且骨条件良好者。
即刻种植与即刻负重
即刻种植指拔牙后立即在新鲜拔牙窝内植入种植体,减少手术次数;即刻负重则是在种植体植入后,同期安装临时牙冠,实现“即种即用”。
- 微创结合:这两种技术常与数字化导板联合,利用微创切口植入种植体,减少手术创伤,前牙区拔牙后,若牙槽骨条件允许,通过即刻种植可避免拔牙后3-6个月的等待,且微创操作能最大限度保留牙龈形态,美观效果更佳。
- 限制:对骨质量要求高,需拔牙窝骨壁完整、无严重感染,否则可能因初期稳定性不足导致失败。
微创翻瓣技术
传统种植常需“翻瓣”(切开牙龈并翻开黏骨膜瓣),暴露牙槽骨,创伤较大,而微创翻瓣通过缩小切口范围(仅暴露种植区域),减少对牙龈组织的剥离,降低术后出血和肿胀风险。
- 适用情况:部分骨量轻度不足,或需进行少量植骨(如骨增量术)的患者,相比传统翻瓣,创伤更小,但仍需一定切口操作。
并非所有种植牙都是微创——非微创种植的情况
尽管微创种植优势显著,但临床中仍有部分病例需采用传统翻瓣等非微创方式,主要原因包括:

骨量严重不足,需复杂植骨
当患者长期缺牙导致牙槽骨严重吸收(如上颌窦底过低、牙槽骨宽度不足5mm),单纯微创操作难以保证种植体的初期稳定性和植入位置,此时需通过传统翻瓣,充分暴露骨面,进行植骨手术(如上颌窦提升术、骨劈开术等),植骨后3-6个月待骨结合再植入种植体。
- 创伤原因:植骨操作需要较大视野,确保骨移植材料精准放置,微创切口可能无法满足操作需求,需延长切口(通常2-3cm)并翻开牙龈瓣。
解剖结构复杂,需避开重要神经血管
下颌后牙区有下牙槽神经管,上颌后牙区有上颌窦,若种植体位置接近这些结构,传统翻瓣能更直观暴露骨面,医生可实时调整植入角度和深度,避免损伤神经(导致下唇麻木)或穿透上颌窦(引发感染)。
- 风险考量:对于解剖变异明显(如下颌神经管位置异常)、或曾接受放疗、骨移植的患者,微创导板可能因影像误差存在偏差,传统翻瓣直视操作更安全。
口腔炎症或感染未得到有效控制
若患者存在牙周炎、根尖周炎或种植区域有脓肿、瘘管,需先通过翻瓣彻底清创,去除感染组织,进行根管治疗或牙周基础治疗,待炎症控制后再种植,此时微创切口可能无法彻底清除病灶,需扩大视野。
- 治疗逻辑:控制感染是种植成功的前提,为避免术后种植体周围炎,牺牲部分微创性以彻底清创是必要的。
医生技术或设备条件限制
并非所有医疗机构都具备数字化导板、3D打印等设备,部分医生仍依赖传统手术方式(徒手种植),徒手种植需通过较大切口暴露骨面,依靠医生经验判断植入位置,创伤相对较大,对于复杂病例,经验不足的医生可能更倾向于选择传统翻瓣,以确保操作安全性。

影响种植方式选择的关键因素
是否采用微创种植,需综合评估以下因素:
| 影响因素 | 说明 |
|---|---|
| 骨条件 | 骨量充足(高度、宽度足够)→ 优先微创;骨量不足 → 需植骨,可能非微创。 |
| 缺牙位置与数量 | 前牙区(美观要求高)→ 微创即刻种植;后牙区(咀嚼力大)→ 需评估骨稳定性。 |
| 全身健康状况 | 糖尿病、骨质疏松症患者 → 骨结合慢,可能需传统翻瓣确保初期稳定。 |
| 口腔软组织条件 | 牙龈厚度充足、形态正常 → 微创切口易愈合;牙龈萎缩 → 需翻瓣调整。 |
| 医生技术与设备 | 具备数字化设备、经验丰富 → 可微创;条件有限 → 传统方式更稳妥。 |
微创是趋势,但“适合”才是关键
种植牙的“微创”并非绝对,而是技术发展的方向——通过精准、低创伤的手术,让患者在更舒适的状态下完成治疗,对于骨条件良好、无复杂解剖变异的患者,微创种植能显著提升就医体验;但对于骨量不足、存在感染或解剖风险的病例,适当扩大切口、彻底清创或植骨,反而是保障种植成功的必要手段,患者在选择种植方式时,需与医生充分沟通,通过CBCT、口检等全面评估,制定个体化方案,而非盲目追求“微创”概念。
相关问答FAQs
Q1:微创种植牙一定比传统种植好吗?
A:不一定。“好”需结合患者具体情况判断,微创种植优势在于创伤小、恢复快,但适用范围有限;传统种植虽创伤较大,但在复杂病例(如严重骨缺损、解剖结构异常)中能更直观操作,安全性更高,选择哪种方式,关键在于“适合”,而非单纯比较优劣。
Q2:所有缺牙患者都能做微创种植吗?
A:并非所有患者都适合,微创种植对骨量、口腔软组织条件、全身健康状况有要求,牙槽骨严重吸收需植骨者、存在未控制的牙周炎或根尖炎者、下颌神经管位置异常且无法通过导板规避者,可能需选择传统翻瓣或其他治疗方式,具体需通过专业检查后由医生评估。
